这几天,看了3例儿童肺炎病例,感触很深,和大家分享一例。
这一例小朋友的家庭,也是我们的会员,彼此很信任,生病了就会第一时间和我说,但是由于离诊所比较远,是跨区的那种,所以也常常在当地医院化验检查。
小朋友,女孩,3岁,咳嗽发热5天,小朋友早期表现主要是晚上咳嗽,有温度,体温也不是很高,大概38度的样子,白天和正常人一样。发病当天,小朋友妈妈就和我说了一下病情,我给的建议是,目前小朋友精神情况也挺好,可以继续观察一下。
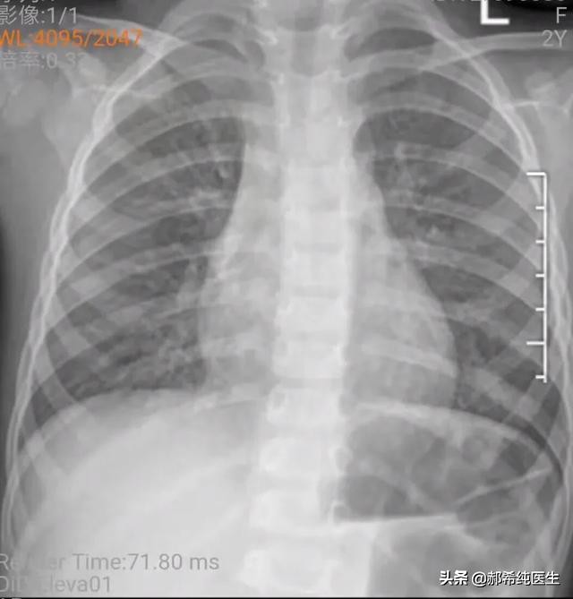
第三天的时候,白天开始出现了一次发热,体温38.5,妈妈还好,可是外婆忍不住了,说发热都3天了,怎么可以不吃药,还说她女儿是不是亲妈啊,自己才是亲外婆[允悲],结果愣是跑到医院去了,你们也知道的,到了医院,当地医生,一般都是一个套路,抽血加拍片。


好在小朋友妈妈第一时间把片子传我了,我说,目前来看,病毒性原因仍然要首先考虑,尤其是这个年龄段的孩子,肺部感染首先需要考虑病毒性的,当然我说的病毒,不一定是流感病毒啦。
我说,直接回家吧,不用去配药了。还好有特别好的信任,孩子妈妈把孩子抱回家了。
今天和我说,小朋友已经没有发热了,咳嗽也几乎没有了。
其实我想说,对于2-5岁的儿童肺炎,有几个知识点需要我们知道:
1. 首先要考虑病毒性原因。
2. 病毒性原因,一般只要对症支持治疗就好了,也就是退热,多喝水,休息就可以了。当然如果高度怀疑是流感性肺炎,那需要另外评估。
3.儿童肺炎,门诊其实不一定需要拍片抽血的,医生完全可以凭借自己听诊器和眼睛,还有问诊得出诊断的。
4.当然儿童肺炎的治疗,如果是细菌性的,首选也是阿莫西林,大剂量,也就是90mg/kg,分多次服用。能口服的完全就可以口服。
5.当然区别肺炎是细菌性和病毒性的,有时候不那么容易,细菌性的往往中毒症状比较明显,也就是发热,精神软,这种,病毒性的往往不明显,听诊也有些不同,还有发病的过程,细菌性,往往突然发病,病毒性的往往渐渐发病,在上呼吸道感染的基础上发病。经验丰富的临床医生往往可以鉴别。
我觉得这其中,医患信任很重要,医疗模式需要慢慢改变,回归到医疗本质上面去。
这也是为什么,我们在努力的把会员的事情做好,最终的目的,其实就是创造一种互相信任的关系。