(文中含手术标本展示,请敏感者谨慎点击阅读)
手术病例分享:


前言 :肺部实性病灶无创的检查手段来判断是否为恶性,主要是CT增强与PET-CT最为要紧,但今天分享的这个病例有些奇怪:PET检查说考虑肺癌伴两侧肺门纵隔淋巴结转移,而增强CT显示病灶伴钙化,这到底是癌不是癌?要不要手术?还能不能手术?影像的诊断总是要与临床相结合才能发挥更大的作用。
患者某A,男性,65岁,病史信息如下:

反复咳血,肺部CT示肺部占位,但局部伴钙化;PET示考虑恶性病变,纵隔及肺门多发淋巴结,葡萄糖代谢增高,不除外转移;CT引导下穿刺因肺气肿明显合并气胸,穿刺病理极少量异型上皮细胞。未能明确病理类型或确诊。这个病例开始叫我会诊时,我一看PET说已经两肺门与纵隔淋巴结转移,而且肺功能也不好,肺气肿厉害,考虑没有手术机会,所以建议穿刺明确后保守治疗。但穿刺致气胸,病理又未明确,后续的治疗就陷入僵局了。要么重新穿刺(患方也不愿意),要么气管镜(但一是这位置做不到,二是他本身容易咳血,镜子一进去就出血,也不考虑)检查。再经全院MDT讨论后,我们认为:一是病灶位置还行,比较靠边上,单孔胸腔镜能楔形予以切除;二是有过气胸,至少说明胸腔不粘连,单孔楔形切除方便,不至于要粘连分老半天或中转开胸(因为肺气肿明显,肺质地欠佳,肺叶切除吃不消或术后生活质量影响明显);三是不单去除病灶,能送免疫组化以及必要时基因检测,而且局部控制肯定好于其他如SBRT或消融的方法;四是若两肺门与纵隔淋巴结真的转移,原发灶切除后再今年术后化验结果决定术后辅助治疗能更有依据,并全面通盘考虑。五是回头仔细分析来看,肺门纵隔的淋巴结并不一定是转移的。如果转移到对侧肺门去,那肿瘤恶性程度要很高,一般同侧应该肺门与纵隔多发淋巴结并相互融合才符合,基本以他处会有远处转移的病灶。病灶并大,灶内有钙化,同侧淋巴结没有融合,也不是特别大颗,说居然转移到对侧纵隔与肺门,这不太能够解释。反倒做PET时两肺有多发病毒性肺炎的表现,炎症导致到肺门与纵隔淋巴结肿大,并有葡萄糖代谢增高更为可能些。而若确实不是转移,病灶难说仍可能是早期,或者为鳞癌,那更不容易远处转移,鉴于肺功能不佳的妥协性左上叶部分切除还有治愈的概率和机会。所以当肺穿刺没能确诊后,单孔胸腔镜下左上叶部分切除成为了可选且优选方案。
我们先来看他的影像表现与分析:

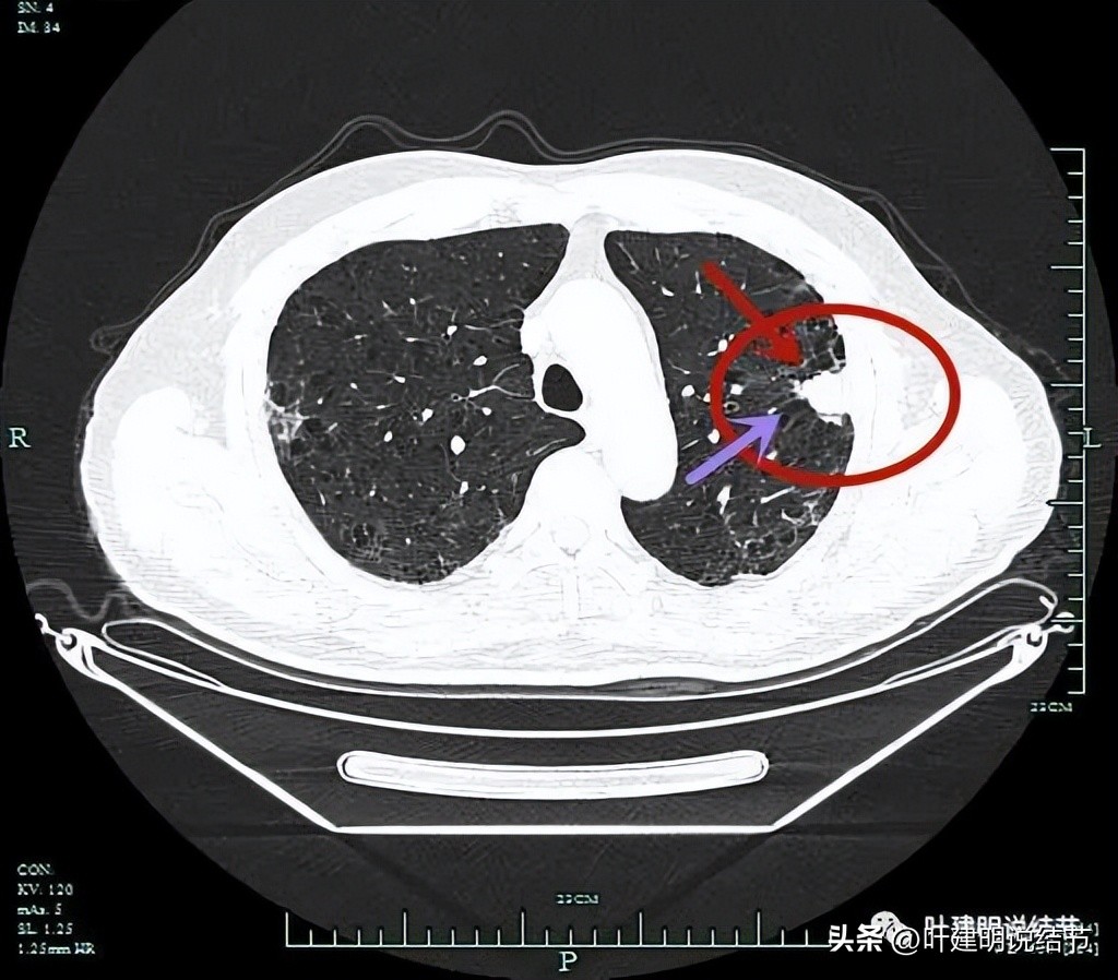
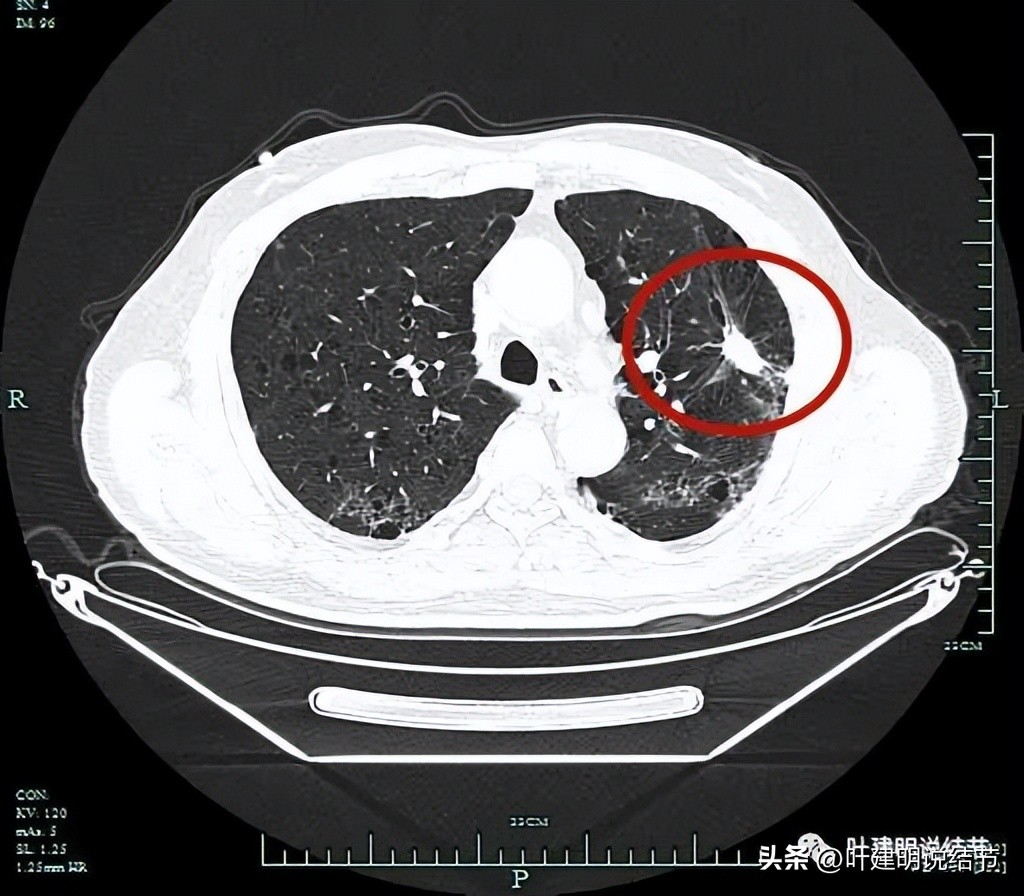
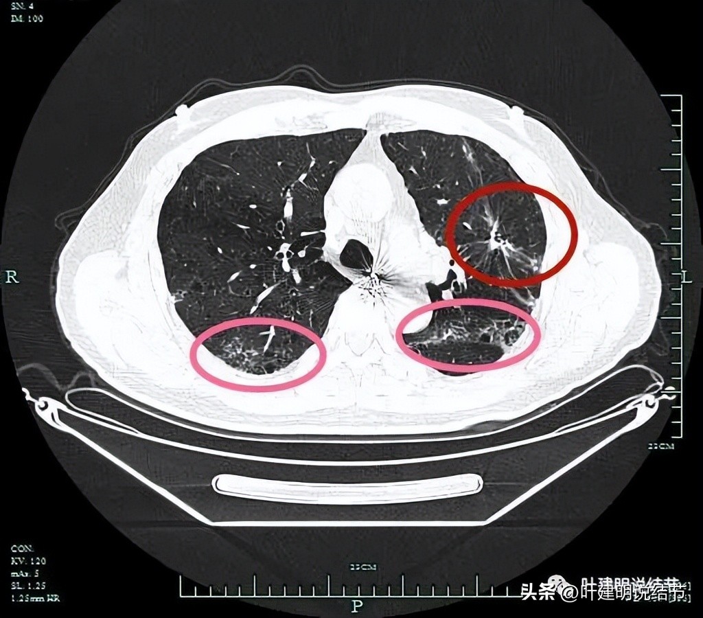
左上病灶开始出现,周围伴慢性炎的表现(红色圈起来部位);其他余部分有多处炎性改变(粉色圈起来的)。

病灶实性,边上条索状并有局灶肺气肿的样子(纹理稀疏)。

病灶实性,有一定膨胀性,表面不平滑。

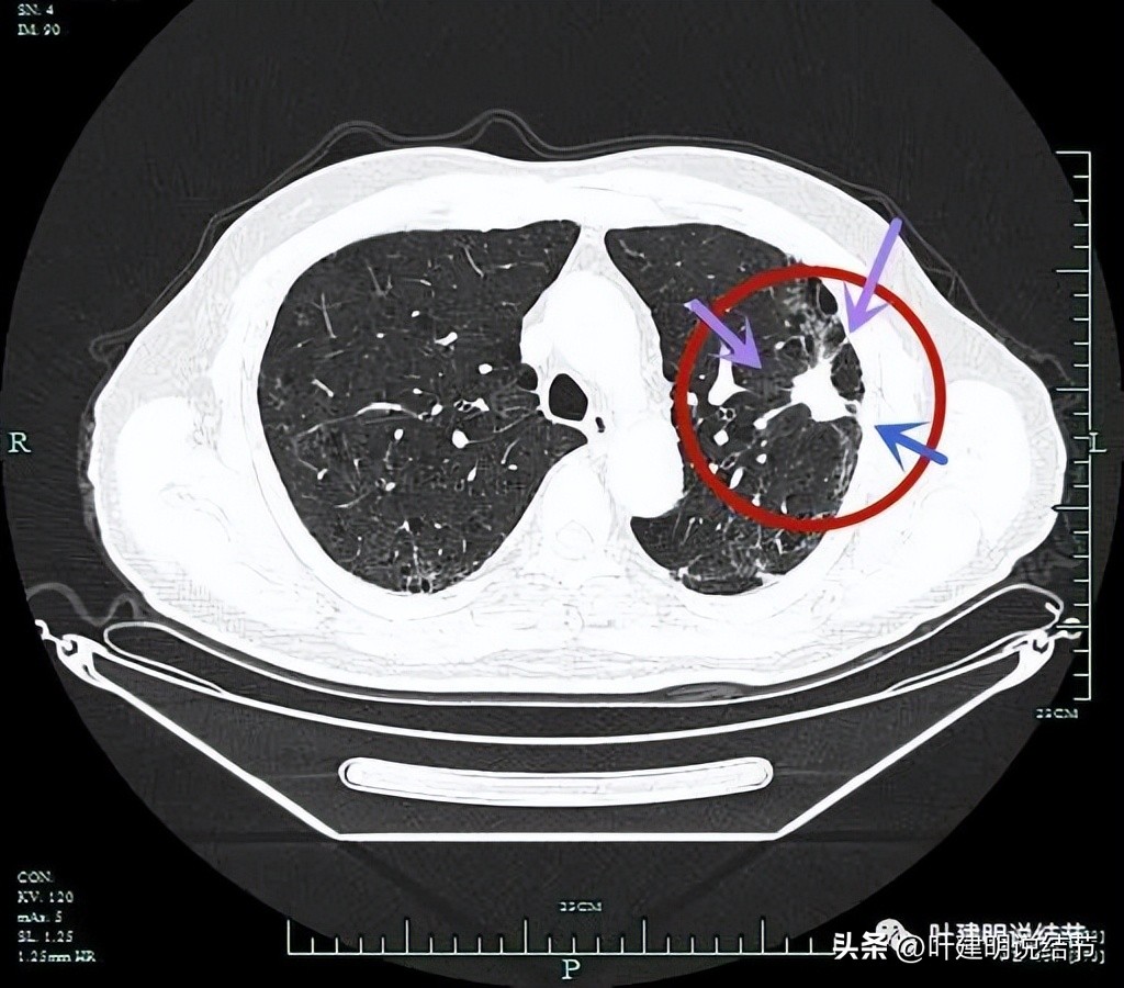
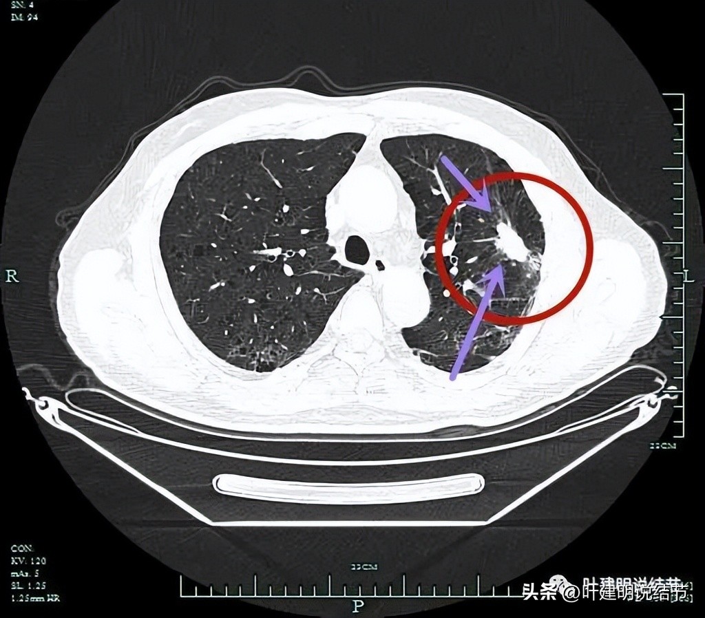
局部有细毛刺(紫色箭头)。

表面不平,分叶状。

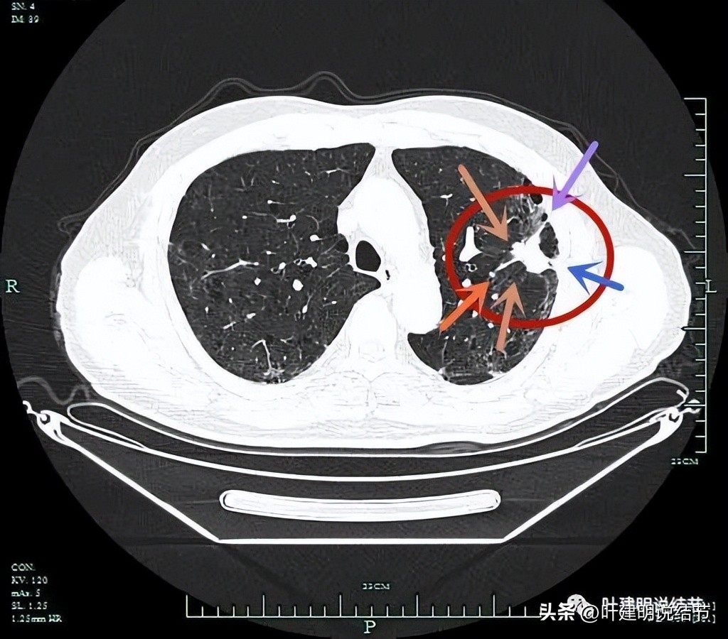
分叶征(砖色箭头);毛刺征(紫色箭头);胸膜牵拉(蓝色箭头);病灶有膨胀感(红色箭头)。

上图层面明显明显的收缩力、分叶、胸膜牵拉以及血管进入(桔色箭头)。

病灶实性,有纠集感;有胸膜牵拉;有毛刺征;有血管征。

毛刺与牵拉。

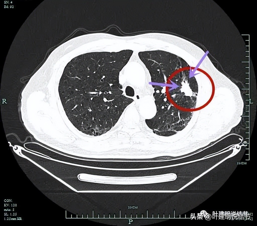
靠前侧的连续细毛刺与不平,明显的恶性影像特点(紫色箭头)。

边缘细毛刺。

病灶实性,边上有炎性改变。

此层显得毛刺较长。

余肺多处间质性炎症或新冠后没有吸收的表现。

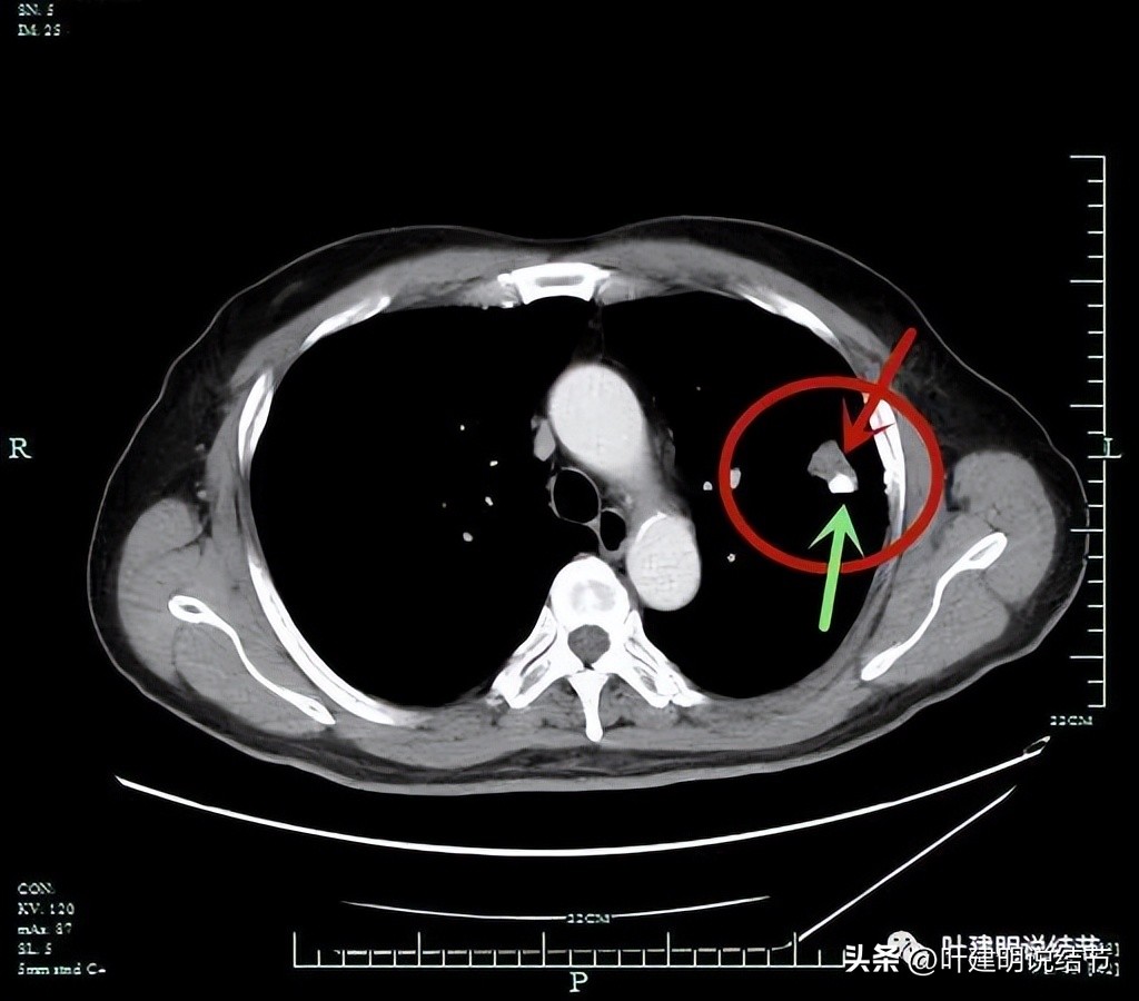
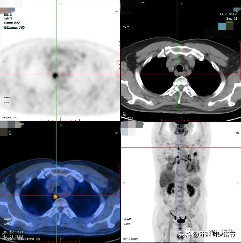
平扫纵隔窗见病灶伴有钙化(绿色箭头)

上图是非左上病灶层面的多发炎性影像表现(后来考虑是不是与肺门纵嫩淋巴结肿大并葡萄糖代谢相关)。

增强CT见病灶处的样子。
有钙化是不是考虑良性的呢?一般来说病灶伴钙化容易是良性,但这个病例恶性的影像太多太明显,所以再来看PET影像:

病灶处

右侧给隔淋巴结

右侧肺门淋巴结

左侧淋巴结

痰找抗酸杆菌未找到。


肿瘤指标部分偏高

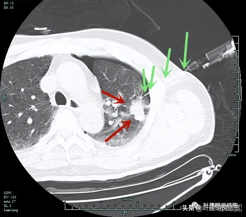
肺穿刺:红色箭头示病灶;绿色示穿刺针。

穿刺致气胸。

穿刺未能确诊。
影像考虑:
左上病灶虽有钙化,但葡萄糖代谢增高,有诸多恶性影像表现的特征,仍需要考虑恶性可能性大,至少要取得病理以确定或排除肺癌。肺门与纵隔淋巴结的肿大与葡萄糖代谢高摄取,结合两肺炎性改变的表现,以及肿瘤的生物学行为,转移不容易解释,炎性的容易解释。
最后结果:
经过与患者及其家属的充分沟通,并告知手术的利弊以及鉴于肺功能情况欠佳,不管最后病理是什么,仅决定单孔左上叶部分切除并加淋巴结采样,不行根治性左上叶切除与系统性淋巴结清扫(如果淋巴结非转移性,则采样确定炎性也够了;如果确实是转移,对侧都有了,也达不到根治,局部切了主要是为明确诊断与原发灶解决,后续仍要全身性治疗的)。

上图是标本的样子,可见肿瘤边上有钙化灶,其实是不连的,肿瘤刚好紧挨着钙化灶长。


病灶是鳞癌,同侧淋巴结采样阴性的!
感悟:
这个病例其实非常有意义,也有经验可供总结:
1、病灶伴钙化并不总是良性;
2、PET示两侧肺门与纵隔的淋巴结转移并不一定完全准确,而是要与临床相结合来考虑,能不能解释得通,有时需要二元论来考虑。如果此例穿刺取到了病理,是不是按晚期肺癌治疗了呢?想想还是后怕,幸好穿刺没能确诊。
3、周围型能楔形切除的肺占位,单孔胸腔镜的手术切除创伤小,恢复快,还能淋巴结采样,对传统不能耐受开胸手术或肺叶切除的肺功能欠佳的病人提供了新的思路。针对病灶局部的控制手术完全切掉了肯定优于SBRT或消融,而对肺功能的要求并不是太高。
4、这个病例是鳞癌,鳞癌相对不容易远处转移,现在淋巴结也不是有确切转移,还可能基本上是没有转移的(没有系统性清扫,不能断定)。是不是切缘阴性,实际上大楔形切了很可能治愈了?这种可能性是存在的!

(此处已添加医疗卡片,请到*今条头日**客户端查看)