三叉神经痛的微创手术治疗
原创 脑博士 脑博士FN 今天
患者男性,53岁,因“反复左侧头面部疼痛半年,加重1天”于2020-4-15入院。患者于入院前半年开始无明显诱因出现左侧头面部疼痛,主要表现为左侧额部及面部闪电样刺痛,呈阵发性,每次数秒钟,发作无规律,漱口,吃饭,说话等动作可诱发疼痛,曾到当地医院就诊,查头部CT及MRI提示“未见明显异常”,拟诊“左侧三叉神经痛”,予口服“卡马西平 1片 3次/日”,治疗后仍反复出现头面部疼痛不适,自行调整为“卡马西平 1片 5次/日”。入院前一天患者左侧头面部疼痛症状再发且明显加重,口服“卡马西平”不能缓解,拟进一步诊治,来我院就诊,收入我科。既往患者有“高血压”史,一直口服“氨氯地平”和“贝那普利”治疗,血压控制尚可。
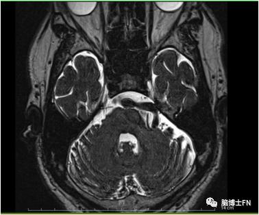
入院查体:神志清楚,血压150/90mmHg,生命体征平稳,病理征未引出。入院后常规检查提示无异常,查头部MRI+3D-TOF提示“椎基底动脉迂曲,左侧椎动脉、基底动脉迂曲增粗并压迫三叉神经根部”,查头部CTA提示“椎基底动脉走形迂曲延长明显增粗,并向左偏移”。
头部MRI+3D-TOF

头部CTA


经予充分术前准备,并与患者及其家属沟通后,于2020-4-19在全麻下行微创锁孔左侧三叉神经微血管减压术,手术顺利。


术后复查CT提示“术后改变”。术后当日患者左侧头面部疼痛即消失,并于术后五天(2020-4-24)痊愈出院。
术后CT

患者出院时照片

术者介绍
