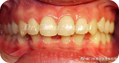
患者情况:E女士,24岁,下前牙先天缺失,存在散在间隙,覆合过深。
检查结果:下前牙从小存在间隙,影响美观。全口牙周情况良好,口腔卫生尚可。32,42缺失,41,31,43,33移位存多处散在间隙。咬合关系基本正常,前牙区深覆合

厦门种植牙医生陈松福

厦门种植牙医生陈松福

厦门种植牙医生陈松福
治疗方案:正畸种植联合治疗-联合治疗才是最佳方案
方案设计:行全口正畸治疗,31,41,33,43前移关闭前牙正中区间隙,预留33,43位置,改善前牙深覆合,33,43各种植一颗植体,完成最终修复。
方案优势:在纠正错误的前牙覆合关系的同时,让33,43代替32,42大大的缩短了正畸治疗时间,也能代偿牙量与骨量不协调所带来的修复缺陷。
治疗周期/过程:15个月
1、口腔检查确认方案
2、全口正畸治疗推出,33,43的种植修复间隙,调整覆合
3、十二个月后行33,43种植
4、十五个月后完成最终修复
5、佩戴正畸保持器

厦门种植牙医生陈松福

厦门种植牙医生陈松福

厦门种植牙医生陈松福
治疗效果:前后对比图片

厦门种植牙医生陈松福
案例总结:
1、正畸治疗开辟了合适的修复空间的同时,纠正了前牙不良的覆合关系。
2、良好的种植设计与种植修复恢复了可靠的修复效果。