
(邵奇 徐旭 王玉)近日,哈医大一院神经外科二病房主任王宁教授团队和耳鼻喉科一病房李慧军教授团队联合为一名复杂性颅内外沟通病变患者,成功完成学科间协作手术,术后复查核磁印证术中肿瘤全切,术后患者恢复良好,无神经功能缺失。
患者于2年前突发头面部的电击样疼痛,给她带来了极大的痛苦,患者及家属多地求医问药不能确诊,曾就诊于外院行伽玛刀治疗,但是术后疼痛仍不缓解,而且出现头晕、呕吐等症状,随后又进行神经阻断治疗,术后面部疼痛稍缓解,但是又出现面部的感觉障碍,额纹消失等症状,最后经多方打听慕名就诊于我院神经外科二病房王宁教授。
患者如期入院,在王宁教授的带领下,邵奇主治医师,房宇龙住院医生协助患者顺利完成了术前相关检查及会诊,确诊为颅内外沟通型占位性病变,为患者找到了真正的病因。

颅内外沟通病变是指通过先天或被破坏的颅骨间隙,同时分布于颅内外如颅腔与眼眶、鼻窦或鼻腔等部位的肿瘤。此类病变多位于颅底,侵犯范围广泛,常包绕或毗邻颅内大血管或重要神经组织,解剖关系复杂,血液供应丰富,诊疗涉及多学科知识,属医学难题之一。以往对此类病变的手术治疗,对组织损伤大,影响面容,有的还需分次手术,且费用昂贵。
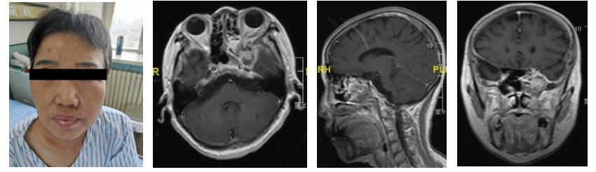
该患者发病时间较长,病变涉及范围广泛,浸润的结构较多,累及海绵窦、蝶窦、筛窦、上颌窦及翼腭窝,周围毗邻重要的血管及神经包括斜坡旁、海绵窦段颈内动脉、III- V颅神经、翼腭神经节及颌内动脉,手术难度大,稍有不慎将造成无法挽回的后果。
术前神经外科王宁教授团队与耳鼻喉科李慧军教授团队一同制定了周密的手术计划,手术如期顺利进行,先由耳鼻喉科王启威副主任医师内镜下行筛窦、上颌窦开放,并切除侵及相关区域病变。然后神经外科王宁教授及邵奇主治医生内镜下进行了侵及翼腭窝、蝶窦、海绵窦病变的切除。术后进行磁共振检查显示肿瘤全切,困扰折磨患者已久的典型三叉神经痛症状消失,恢复满意出院。

王宁教授介绍,复杂型颅内外沟通病变仍然是神经外科领域高难度的手术之一,它需要多学科协同合作,相互配合,才能顺利治愈疾病。通过内镜处理此类病变的优势在于其视角大,可以直观范围较大的病变;可以抵近观察,清晰地显示病变;经鼻处理某些位于颅底的病变,更直接、更安全。
王宁教授提醒,的临床表现主要是根据病变发生的部位,前颅底病变可出现嗅觉改变、视力下降等,中颅底病变可出现复视、面部麻木等,后颅底病变可出现听力下降、耳鸣、面瘫、呛咳、声嘶等。出现以上症状需及时就诊。