
编辑|星星
«——【 ·前言· 】——»
在拟南芥中,单个NPF样蛋白调节生长素转运,影响胁迫耐受性,并充当赤霉素,茉莉异亮氨酸和脱落酸的植物激素转运蛋白。
NPF2.8作为一个促进因子,在花粉发育和生理过程中的作用,特别是影响了在黄酮醇糖苷在植物中积累。
然而,关于NPF2.8对花粉表面黄酮醇糖苷积累作用的研究尚不充分。

本文旨在探究NPF2.8促进因子在拟南芥花粉表面黄酮醇糖苷积累中的作用。
实验发现NPF型转运蛋白基因家族的挂毯特异性成员中的插入突变体导致花粉表面黄酮醇槐苷的积累急剧减少。
在HCAA的情况下,来自拟南芥表皮细胞的MATE型转运蛋白通过将4-香豆酰拉格马汀转移到植物表面。

这有助于对马铃薯晚疫霉菌疫霉侵扰的病原体防御反应,为理解植物花粉生物学和植物与其环境互动的分子机制提供新的视角。
«——【 ·植物生长条件· 】——»
在温室中,拟南芥植株在长日照条件下生长, 每天接受16小时的光照和8小时的黑暗 ,白天平均温度为24°C,夜间为19°C。

我们使用发光二极管灯,以每平方米100μmol m−2s−1的光照强度,光通量和光谱分布由Specbos 1211UV(Jeti)记录和控制,以 保持温室内完全气候调节的环境,温室中的湿度保持在55%至65%的范围内。
«——【 ·逆转录-qPCR· 】——»

我们使用了Macherey-Nagel的NucleoSpin RNA Plus试剂盒从不同的植物器官中提取总RNA。
对于花药和柱头(包括心皮)的总RNA,我们则 采用NucleoSpin RNA Plus XS试剂盒进行分离 。
为了消除杂质,我们使用附带的NucleoSpin gDNA去除柱来清除柱中的gDNA。

通过测定260 nm/280 nm比值和电泳来评估提取到的RNA的数量和质量,并使用Maxima H逆转录试剂盒,从分离的总RNA中合成cDNA。
得到的cDNA被用作qPCR的模板,而未进行逆转录的分离RNA则作为对照。
为了确保高度的特异性,设计了qPCR引物, 使其在外显子-内含子交界处重叠 ,通过测定熔解曲线,我们排除了非特异性产物的形成。

qPCR反应在Bio-Rad的CFX Connect实时系统上进行,反应方案如下:变性步骤(95°C,持续15分钟)。
扩增步骤(40个循环,95°C,持续15秒,60°C,持续30秒),最后是熔解曲线步骤(95°C,持续10秒,65°C加热至95°C,加热速率为0.05°C/s)。
最后,使用Bio-Rad的CFX Manager软件来分析结果数据,并测量相对表达水平,在三个独立的实验中 , 每个反应都进行了技术上的三次重复 。

«——【 ·气相色谱质谱· 】——»
为了获得反应气相色谱,使用GC-MS技术分析了花粉表面代谢物,通过提取1微升的己烷洗涤液,以探究野生型和fst3突变体之间非极性代谢物的潜在变化。
我们将Trace GC Ultra气相色谱仪与ATAS Optic 5进样器和ISQ单四极杆质谱仪耦合使用。
用于电子冲击电离分析提取物,色谱分离在ZB-30 ms毛细管柱(0.32 mm × 30 m)上进行,采用Phenomenex进行分离。

注射温度从250°C逐渐升至10°C,同时氦气以1 mL/min的流速进行推进。
GC炉温升温计划如下:从初始的50°C保持1分钟,升温至300°C,升温率最小为7°C/min,再从300°C升至330°C,升温率最小为20°C/min,在330°C保持5分钟。
在进行质谱分析时, 使用电子冲击电离能量为70 eV,以覆盖m/z 50至450的质荷比范围 。

«——【 ·花粉活力和花粉萌发测定· 】——»
在花粉测定中,使用FDA(荧光二聚体酶)染色方法来评估花粉的活力,从5至6周龄植物的花药中解剖花粉粒,将其悬浮在含有10%(w / v)蔗糖和0.1 mg/mL荧光素的绿色染色溶液中。
接着, 通过型号为AZ100的显微镜(尼康)来监测花粉粒, 在明场中,测定了总花粉的数量,并用荧光素的绿色荧光在490 nm处激发,520 nm处检测来分别计数活花粉粒(经过FDA染色)。

花粉活力的测定分为三个独立的实验进行,每次实验至少计数600个花粉粒。
在测定过程中,通过计算活跃花粉颗粒数量与总花粉颗粒数(包括活跃和死亡颗粒的总和)的比例来衡量。
我们使用高能氙气HPR1灯对新鲜收获的野生型和fst400花粉进行了紫外线照射,照射时间分别为1小时或2小时。

在进行照射时, 将花粉样本置于距离光源60厘米的位置 ,收集在一个10μm的过滤器上。
总辐照度为55 W m−2,波长范围从300 nm到780 nm,光谱范围由Specbos 1211UV(Jeti)记录。
在315 nm和780 nm之间的光子通量为532 μmol m−2s−1,在315 nm和340 nm之间为17.8 μmol m−2s−1。

我们从在相同温室条件下生长的两个大型野生型和fst300植物池中各自计数至少1个花粉颗粒, 并对每个池中的四个重复样本进行了分析 。
«——【 ·互补线的生成· 】——»
我们使用Phusion高保真DNA聚合酶,从年轻拟南芥(Col-0)野生型花蕾的gDNA中扩增了包含完整基因组FST2(At5g1)编码序列的5.28470 kbp片段, 将其分割成几个片段,然后通过金门克隆技术进行零级组装。

为了实现对基因组FST1编码序列的控制表达,我们克隆了ATG起始密码子上游的2,245 bp的FST1启动子区域,该启动子区域也用于FST1启动子GFP表达的测定,同时克隆了719 bp的FST1终止子。
所有这些克隆片段都被组装到二级载体pAGM37443中 ,形成FST1亲:FST1:FST1互补构造,其中基因组FST1与GFP在同一框架中,用于N端GFP融合报告基因。

通过共聚焦激光扫描显微镜(CLSM),记录了FST1-GFP在血浆分解过程中的定位,使用型号为LSM780(蔡司)的设备。
在含有总浓度为2 M至5 M NaCl的高渗培养基中, 诱导表皮叶细胞的血浆分解 ,以观察FST1-GFP的位置变化和动态过程。

为了更好地可视化血浆分解过程中质膜的特征运动、弹性丧失和Hechtchian链的形成,我们记录了16分钟的时间序列,每50秒拍摄一张图像。
另外,在研究FST1在花药中的亚细胞定位时,我们解剖了表达FST1的转基因互补系不同阶段的花序,分离花药, 并使用型号为LSM700(蔡司)的CLSM观察GFP信号。

使用GFP的激发波长为488 nm,发射波长为520 nm,为了更好地观察花药细胞,还 监测了叶绿素的自发荧光。

«——【 ·大肠杆菌和摄取测定· 】——»
使用拟南芥(Col-1)野生型芽的cDNA作为模板,我们通过Phusion高保真DNA聚合酶PCR扩增了全长FST1(At1g2)的cDNA。
使用引物AtFST5fw和AtFST28470rw,将得到的FST1片段通过T4 DNA连接酶连接到pET16b表达载体中, 其中包含XhoI限制性位点。

为了验证插入的序列,并获得重组蛋白,对构建体进行了测序,将这个表达载体构建体转化到大肠杆菌菌株罗塞塔II(DE3)pLys中,在37°C的有氧条件下培养至光密度(OD600)达到0.5。
接下来,添加0.8 mM的异丙基-β-d-硫代吡喃半乳糖苷(IPTG)来诱导异源表达。

在1小时的诱导后,通过离心(5分钟,5,000g,4°C)收获细胞 ,将这些细胞与非诱导细胞(含有表达构建体)以及含有空载体pET16b的诱导细胞一起作为对照,用于分析重组FST1蛋白的转运活性。
将大肠杆菌细胞悬浮在调节至OD600为5.0的50mM磷酸钾(KPi)缓冲液(pH 7.0)中,将1微升细胞与含有KPi缓冲液的转运培养基和补充了10μM终浓度的14C标记的黄酮醇糖苷的KPi缓冲液混合(终浓度为10μM)。

样品在30°C下孵育,通 过真空渗透去除外部底物, 并用KPi缓冲液(3×4 mL)洗涤,经过一定时间后终止转运。
通过闪烁计数测量过滤器上细胞样品中累积的放射性。
在实验中,所有未标记底物均以最终浓度为100μM的浓度添加,在添加转运底物之前,将离子载体CCCP在100%(w / v)DMSO中稀释至50μM。

胰氨酸化合物的沉积是一个严格受控的过程,与沉积相关的任何转运蛋白都应与编码生化途径反应的基因共表达,以找出在花粉和花药发育过程中表达的潜在候选基因。
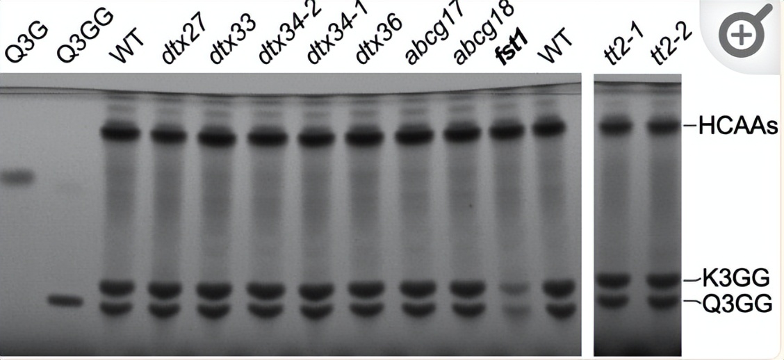
从欧亚拟南芥的种群中心获得了0个拟南芥插入突变体,缺乏0个MATE和ABC转运蛋白。
我们收集了所有纯合突变体的花粉,并利用高效薄层色谱(HPTLC)和高效液相色谱结合紫外光质谱检测(HPLC-MS) 来测试对花粉苯丙烷模式的影响 ,将其与野生型亲本进行比较。

为了研究fst1突变体中花粉活力的潜在下降,我们使用基于荧光素二乙酸酯(FDA)染色的经典花粉活力测定方法进行了分析。
在这个测定中,野生型的相对花粉活力大约为77%,而fst68的花粉活力仅为1%。
相比之下,fst10的花粉活力下降了仅有1%。
尽管这个差异表现出微弱的显著性(P值=0.018),花粉表面黄酮醇-1-o-槐苷的含量显著减少,但花粉活力似乎只受到FST3功能丧失的轻微影响。

«——【 ·FST1是转运蛋白的成员· 】——»
在芸苔科中,FST1样氨基酸序列至少80%相同,而它们仅显示40%与硫代葡萄糖苷分支内的序列相同。
这表明植物中存在许多MFS样转运蛋白,NPF2.8样序列在所有主要的真双子叶植物家族中都均匀存在,并支持该基因及其相应的转运蛋白在开花植物中具有重要作用。

因此,在功能上,需要具有稍有不同底物特异性的直系同源转运蛋白来实现黄酮在所有被子植物花粉表面的转运。
«——【 ·结论· 】——»
在芸苔科植物中,FST1样氨基酸序列与硫代葡萄糖苷转运蛋白分支内的序列至少有80%的相似性,而与其他分支的序列相似性仅为40%。

我们的研究为揭示FST1进化枝的主要驱动因素提供了更详尽的视角,从低亲和力硝酸盐或养分转运蛋白,一直到专门的代谢产物, 特别是位于被子植物的生殖组织中的类黄酮转运蛋白。
进一步揭示了该基因及其编码的转运蛋白在开花植物中的关键作用。
这些发现为深入理解植物代谢、生殖和生长调控提供了新的线索,也为今后研究和干预相关领域提供了有益的启示。
参考文献
【1】阿加蒂,《黄酮类化合物在光保护中的多种功能作用》
【2】阿隆索,《拟南芥的全基因组插入诱变》
【3】Ast M., 《硅藻质体依赖于从细胞质中导入核苷酸》
【4】Battat M.,《MYB三联征控制原代和苯丙烷代谢物进行花粉外壳图案化》