磁共振弥散加权成像(Diffusion Weighted Imaging, DWI),是唯一能够活体检测水分子扩散情况的无创影像检查技术,而且也是临床应用最多的一个磁共振功能监测技术。
弥散序列(技术)不仅在磁共振的临床诊断中应用广泛,在科研论文中也是相当普遍,每年的各种影像大会,弥散相关的论文也是最多的。


图1-2:DWI每年相关论文都是最多的
弥散序列对临床和科研都这么重要,那么做好弥散就非常的必要。如何做好弥散呢?
要做好弥散,我们先应用了解什么是弥散序列,弥散序列的特点有哪些,哪些参数决定了弥散图像的对比度等图像质量。
一、弥散的概述
弥散,英文Diffusion,可以翻译为:弥散、扩散。弥散、扩散运动是指分子(磁共振中主要是指水分子)在温度的驱使下无规则、随机的、相互碰撞的过程,即布朗运动。

图3:水分子的弥散运动示意图
磁共振中水分子的弥散运动遵循什么规律(规则)呢?爱因斯坦提出了一个方程:<X>2=2DTd。方程中,分子弥散或者叫扩散位移的距离(大小)与弥散的时间(测量时间)和组织弥散系数成正相关。D大约为10-3mm2/s,Td为50ms,x=10μm,即自由水的弥散距离大约为10μm,这与人体的很多结构是同一个数量级的。当然,弥散还会受到温度大小的影响。但是在活体磁共振检查中,这个因素可以相对不考虑。
弥散技术可以检测活体水分子的弥散情况,来评估组织情况和推测反映微观形态及结构特点。
了解了弥散的基本原理后,我们应该知道弥散序列是怎么构成的,它和其他传统的加权序列有什么区别?
二、DWI序列原理
和常规的加权序列相比,弥散序列由于要检测水分子的弥散情况,所以在传统序列的基础上,施加了一个弥散梯度场。
这个弥散梯度又叫双极梯度。什么意思呢?就是这个梯度的相关是相反的,通过这个双极梯度,可以检测水分子弥散情况。

图4:DWI序列原理及双极梯度示意图
正常情况下,静止的组织(质子)在经过两叶双极梯度的影响后,质子间的失相位刚好抵消,在TE时刻采集信号,达到同相位,信号最大,不会下降。
而运动的组织(质子),由于在经历了两次双极梯度的时间中,本身也在运动,质子的失相位不能完全补偿,信号降低。而且运动速度越快,质子的失相位越不能得到补偿,信号降低得越明显。
通过双极梯度,可以很容易的检测出静止组织和运动组织。
双极梯度可以和自旋回波序列结合使用,也可以和梯度回波序列结合使用。

图5:DWI序列情况
如果和SE自旋回波序列联用,两个双极梯度的叶片一般是放在180°重聚脉冲两侧。这样的话,两个双极梯度的方向是同向,因为180°重聚脉冲会反转质子的相位位置,然后经过同相位的双极梯度刚好失相位得到补偿。
而如果是和FFE梯度回波序列联用,由于没有180°重聚脉冲,双极梯度的方向是相反的,这样一正一负,才能补偿静止质子的相位差。
另外一个特点就是,弥散序列一般是采用EPI方式读出的,这样扫描时间快。

图6:EPI读出方式
DWI采用EPI方式读出,最大优点是速度快,对大体运动伪影不敏感。当然,EPI方式读出也会产生很多特有的缺陷和伪影。
首先是,EPI通过正反梯度切换快速的读出信号,容易积累相位差,导致图像的变形(distortion);而EPI序列,如果回波链多了EPI factor也会导致EPI伪影和变形加大;另外,EPI序列没有采用多个180°重聚脉冲聚集信号,对磁化率敏感,容易产生磁化率伪影。
三、DWI序列特点及参数
DWI序列,临床常用的是SE-EPI,即有一个自旋回波,然后后面采用EPI方式去快速读出信号,而且多以single-shot单激发为主。
什么叫单激发,就是一次射频脉冲激发,就要采集完一幅图像,TR时间理论上为无限大。
由于基本上是采用单激发做的,就不能要求分辨率过高(矩阵过大),因为不能在一个TR内采集完所有的相位编码线(如果分辨率过高的话)。
这样导致,临床DWI序列及图像有以下特点:
1.分辨率受限;
2.图像有变形(而且变形发生在相位编码方向);
3.化学位移也发生在相位编码方向(传统序列化学位移发生在频率编码方向);
4.对磁化率敏感,易产生磁敏感伪影;
5.序列扫描过程中,梯度震荡,频率高,噪音大。
针对这些特点,不同厂家为了改善弥散序列,想了不同的办法,后面我会讲。
除了这些,弥散序列最重要的一个参数,大家都听过,叫做弥散敏感度,又叫B值。
这里问问大家,这个值为什么叫B值,为什么不叫C值,D值呢?这个据说是为了纪念弥散序列的开创者法国人Denis Le Bihan,所以叫B值。

图7:弥散序列的开创者,Denis Le Bihan
大部分使用DWI序列的老师都知道,B值越高,弥散序列检测的敏感度越大,但是信噪比越低。再问问为什么呢?很多人可能就不完全知道了。
首先,我们来看看B值的定义。

图8:B值的意义
B值的公式,如上图所示。B值反映了施加的弥散梯度的大小(效能)。公式中,G代表弥散梯度的幅度,δ代表了一个梯度施加的持续时间,Δ代表两个弥散梯度之间的时间。
那么我们知道B值越大,反映的应该是弥散梯度越猛。B值和G,δ及Δ成正相关。
那么我们可以通过上面方法增大B值呢?
首先是增大G,即增大弥散梯度的梯度场(幅度),当然这个方法不能无限制的增大B值,因为受制于物理因素,弥散梯度场不可能无限制的增大,当梯度场达到一个最大值的时候,这个时候就不能通过G来增大B值了;
其次,通过δ来增大B值。这种方法是可行的。当弥散梯度场达到最大值的时候,可以通过持续时间的增大,来达到增大弥散梯度效能的作用;
第三,可以通过增大Δ来实现。
好了,到了这一步,我们就不难理解,为什么B值越大,图像的SNR(信噪比)越低了。如果你还不明白的话,在看看示意图。

图9:B值大小与TE及SNR关系
由于弥散梯度场的大小是有限制的(最大值),所以,当B值不断提高的时候,一般是通过增大弥散梯度的持续时间或者两个梯度的时间间隔来实现的。
这样,为了增大弥散梯度持续时间或者两个梯度间时间间隔,我们的TE采集时间就得延长。
当其他因素不变的情况下,TE延长,信噪比当然下降,这也是为什么B值越大,SNR越低的物理原因解释了。
另一个重要的参数叫做EPI factor。翻译过来可以叫做EPI因子。什么意思呢?由于临床中大部分使用的DWI序列是单激发的,也就是在一次采集就要完成整个K空间的填充,所以理论上TR值不变。完成一幅图的时间不会变化。
如果我们做的分辨率越高,采集的点和相位编码步级越多的话,一次激发要采集的回波个数就越多,这个EPI因子肯定就越大。
前面我们说了,如果EPI因子过大的话,会导致相位累积错误的加重,造成图像的变形。
所以,在DWI序列中,要改善图像质量,一个很重要的因素就是要尽最大可能的降低EPI factor。
那么,如何降低EPI factor呢?
1.可以降低分辨率(矩阵),这样的话相位编码步级少,EPI factor就低(这也是为什么DWI序列分辨率不高的原因);
2.使用并行采集技术,SENSE技术,这样可以减少相位编码线采集;
3.使用半扫描技术,Halfscan技术,这样可以减少相位编码线采集。

图10:EPI factor如何影响图像质量

图11:分辨率越低,EPI factor越小,图像变形越轻
为了做好DWI序列,我们要考虑降低EPI factor,还要防止DWI序列相关的伪影。
另外,DWI序列一般都要做脂肪抑制。因为脂肪和水有化学位移,弥散序列又容易变形。如果不抑制脂肪组织,则DWI序列的化学位移伪影和图像变形会更严重,影响图像诊断。
四、DWI序列相关的伪影
DWI序列由于其序列特点及原理,容易产生很多伪影。首先是图像变形,如上面我们说的。另外还有一些弥散序列特有的伪影。
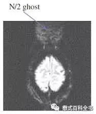
N/2 ghost伪影:这种伪影目前在新型机器上很少出现了。原因是由于采用不足造成的,DWI-EPI序列中,双极梯度快速切换,采集信号,导致相位信息不能精准。

图12:N/2 ghost伪影
磁化率伪影:由于DWI序列采用EPI读出,180°重聚脉冲很少(或没有),导致对磁敏感非常敏感,在组织交界区,磁敏感变化区形成很重的磁敏感伪影。
化学位移伪影:普通序列中,如果是非压脂序列会有化学位移伪影,但是一般比较轻,而且是出现在频率编码方向;但是在弥散序列中,由于分辨率低,又采用EPI读出。化学位移伪影发生在相位编码方向,会导致体素的移位,影响图像的观察和ADC值的精准测量。
五、DWI序列和ADC值的临床应用和注意事项
为什么不能只看DWI图来判断弥散受限,还有结合ADC图
六、DWI的临床应用
目前DWI序列应用在全身各个部位,使用最多的是头颅、腹部,盆腔。
在头颅中的应用比较简单,采用传统的SE-EPI序列,15-40秒可以完成头颅的2D全脑扫描,然后生成ADC图,根据DWI图和ADC图判断有无弥散受限和信号异常。
在腹部的应用中,由于肝脏会上下移动,前后翻滚。所以,做腹部DWI的时候,我们会考虑如何冻结呼吸运动。
磁共振扫描如何冻结呼吸运动
腹部DWI序列,根据不同厂家,不同医院的习惯,有几种方法:
1.采用BH,分段屏气扫描的方法来做腹部弥散,这种方法在GE的用户使用较多。优点是:扫描快;缺点是:图像质量不稳定,有时候比较差。
2.采用RT,呼吸触发的方式来做腹部DWI。将DWI序列结合RT技术,采用呼吸触发,在呼气末平台期采集信号。这种方法优点是:如果病人呼吸均匀,图像质量好;图像变形少;分辨率高;缺失是:扫描时间长;如果病人呼吸不均匀,有时候效果也不好。一般很多飞利浦的用户推荐用这种。
3.完全自由呼吸扫描。DWI序列,由于采用EPI序列来做,采集时间非常快,对大体运动伪影不敏感。在有时候,腹部DWI中,可以完全采用自由呼吸(什么呼吸补偿技术都不用)的情况下扫描DWI。优点是:扫描速度比呼吸触发快;图像质量比屏气扫描好。缺点是:分辨率不会太高;有时候也会有较明显的伪影。这种情况下,一般飞利浦,西门子的1.5T用户使用这种方法比较多。
另外,为什么自由呼吸扫描腹部DWI也不会引起太大的运动伪影呢?目前有观点认为是,总体的呼吸运动主要影响一个体素内的不相干运动(IVIM),而不会影响氢质子弥散运动所致的失相位。
七、DWI序列如何选择B值
不同部位,使用的B值不同。
头颅扫描,我们一般使用的B值是1000。当然,B值越高,对弥散运动越敏感,但是SNR下降。所以,在头颅中,高于1000的B值,虽然可能能够再对更不敏感的病变提高检出率,但是相对于信噪比的下降,提供的效能已经不明显了,所以,目前国内,大部分医院统一的标准是头颅DWI使用1000的B值。

图13:腹部DWI,B值800,扫描时间2分10秒,呼吸触发,图像清晰。
体部中,在腹部中,目前,国内大部分医院,达成的共识是:
1.5T中,腹部使用两个或3个B值,最高B值为600,中间可以设置一个20或50的B值。即3个B值:0,20(50),600;
3.0T中,腹部常规使用两个或三个B值,最高B值800,中间可以设置一个20或50的B值。即3个B值:0,20(50),800。
有人可能会问,一个20或者50的低B值意义何在。

图14:小B值弥散的意义
小B值,由于B值小,SNR高,基本上含有很重的T2权重。而又由于有弥散梯度的作用(即使B值很小),可以导致肝内的小血管信号流空,被散掉了,这样可以判断一些微小的病灶,突出肝内的对比度。
盆腔中,目前临床比较推荐高B值的DWI作用。特别是前列腺。笔者做了很多前列腺弥散,发现在3.0T中,如果B值小于1500,很多时候膀胱的信号都不能完全下去,这样比较影响观察。所以,部分医院,前列腺DWI采用三个B值:0,1000,2000。当然,我们前面讲了,B值越大,SNR越低。2000的B值,信噪比不够,只能提高NSA激励次数,去拉信噪比了。另外,如果考虑综合信噪比,扫描时间和弥散敏感度,可以考虑使用1200-1500的高B值。

图15:前列腺DWI,三个B值,分别为:700,1000,2000。可以发现,B值2000的时候,前列腺正常腺体的信号均被压下去,对小病灶的检测敏感度增加。
另外,也有医院常规做脊柱DWI扫描的,采用矢状位。推荐B值为500-800这个范围,这样能够权衡信噪比和敏感度。

图16:笔者扫描的一例,腰椎DWI,从左到右,B值分别为0,800。矢状位采集,图像变形小。在3.0T,飞利浦Ingenia上面做的。
除了这个,还有一个特殊的应用,全身弥散成像。某公司又把这种技术叫做类PET。当然,本人觉得这样叫,有点不严谨。因为,毕竟磁共振全身弥散DWIBS和PET的原理千差万别,这样叫多了,怕引起自己人和临床医生歧义。
全身背景抑制的弥散DWIBS,可以用来做全身弥散扫描,筛查肿瘤及有无全身转移灶。

图17:DWIBS全身背景抑制弥散
八、针对DWI序列特点,有哪些技术创新的改进
前面讲了,常规的DWI序列,由于大部分是单激发的EPI采集,会导致图像变形,分辨率低,对磁敏感伪影敏感。那么如何通过技术来改进弥散序列呢?
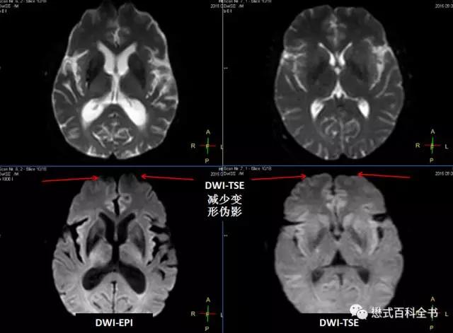
飞利浦公司创新的DWI-TSE序列是一个突破性的改进。我们知道DWI序列一般是采用EPI采集的,结合了EPI采集。而飞利浦可以使用TSE(快速自旋回波)序列做成DWI序列。
TSE序列,由于有多个180°脉冲重聚,所以图像变形小,对磁敏感伪影不敏感。

图18:传统的DWI-EPI弥散序列 vs 飞利浦创新的DWI-TSE弥散序列
由于采用了TSE读出,所以图像变形非常小,而且对磁化率伪影不敏感。
这样的最大优势是用在磁化率敏感区,比如:桥小脑三角区,颈部等部位。
传统上,由于这些部位含有大量气体,导致磁敏感加剧,普通弥散序列变形大,伪影大,根本无法满足临床诊断;而使用飞利浦的DWI-TSE则可以轻松搞定这些部位。



图19-21:DWI-TSE序列减少弥散图像变形,消除磁敏感伪影,对桥小脑三角区和颈部弥散有非常实用的临床意义
除了飞利浦,西门子公司采用Resolve技术,Resolve技术采用在读出方向,分段读出,减少EPI factor的方法。

图22:西门子Resolve DWI序列示意图及原理
改序列在读出方向上使用串联的节段,采用读出梯度方向分段读出,这样可以减少EPI factor,减少图像变形。
GE公司,在DWI序列上,使用Propeller技术,可以消除大体运动伪影,提高图像质量。
另外,为了提高DWI序列的分辨率,三家公司(GPS)都在小视野DWI上做文章。小视野不是目的,目的是为了减少体素,提高分辨率。
相关阅读:
小视野≠高分辨
飞利浦最新的技术有Zoom DWI,可以保证在使用很小的视野做DWI序列的时候,不用加过采样,不会导致图像卷则。由于视野小了,又没有加过采样,相对的,如果矩阵不变的话,等于体素缩小,分辨率做高,提高了DWI的分辨率。

图23:Zoom DWI,小视野高清弥散,提高分辨率
西门子的小视野DWI技术叫做,ZooMit。
GE的类似小视野DWI技术叫做FOCUS。
九、DWI序列的创新及演进
传统DWI序列采用单激发DWI-EPI序列,由于序列原因,有诸多不足,为了克服这些不足,序列设计师想了很多办法。
单激发由于EPI factor太大,容易产生图像变形,那么我们采用多激发呢?采用DWI-EPI Multi-shot多激发。
然而,采用多激发后,图像变形确实小了,但是多激发的扫描时间比单激发长太多,而且图像对运动伪影敏感,容易产生运动伪影,所以这条路走不通。
于是大家又想,要减少EPI factor,除了把单激发变多激发外,就只能通过加速了,而且是那种减少相位编码步级的加速。
比如:并行采集技术SENSE,半扫描技术。
但是这些技术,加速效果是有上限的,到一定程度就会产生伪影。所以,为了再提高DWI图像质量,这条路也有终点。
于是,飞利浦从序列入手,你不是EPI读出容易产生图像变形,相位累积错误吗?我就采用TSE读出。
西门子从单纯的读出入手,你不是一次读出容易导致EPI factor大吗?我就采用读出方向分度读出的方式,分段K空间采集技术来减少EPI factor。
另外,传统的DWI是基于单指数模型。通过最简单的2个B值,就可以计算ADC值,来测量表观弥散系数。
实际上,这种最简单的模型,考虑的模型太过理想化。
没有考虑弥散的各向异性,方向性。把这个加上去吧,于是有了DTI;
没有考虑多个指数模型的情况。把这个加上去吧,于是有了双指数模型的IVIM和拉伸指数模型;
没有考虑组织机构的复杂性,我们传统弥散模型考虑的都是高斯分布情况,没有考虑非高斯分布。把这个加上去吧,于是有了DKI;
如果在考虑方向的复杂性和结构的特殊性,方向的分散度等,我们还有DSI,我们还会有NODDI。
由于再往后写,就涉及科研的范围了,已经超过我临床应用培训范围了,我就不准备再写了,收住步伐了,适可而止了。
以后有机会在和大家讨论弥散模型。
来源: 懋式百科全书
【版权声明】本平台属公益学习平台,转载系出于传递更多学习信息之目的,且已标明作者和出处,如不希望被传播的老师可与我们联系删除