前言:都说,眼睛是心灵的窗户。
“观察眼神,洞若观火。”
“别听他说得口若悬河,天花乱坠,你要看着他的眼睛。”
中国古代的孟子曾曰:“存乎人者,莫良于眸子。眸子不能掩其恶。胸中正,则眸子瞭焉;胸中不正,则眸子眊焉。听其言也,观其眸子,人焉廋哉?” ,翻译过来就是:“观察一个人,再没有比观察他的眼睛更好的了。眼睛不能掩盖一个人的丑恶。心中光明正大,眼睛就明亮;心中不光明正大,眼睛就昏暗不明,躲躲闪闪。所以,听一个人说话的时候,注意观察他的眼晴,他的善恶真伪能往哪里隐藏呢?”
意大利文艺复兴时期画家达芬奇的人物画把“眼睛是心灵的窗户”这句话的含义发挥得淋漓尽致。
通过跟一个人交流,注视他的眼神就可以看到一个人内心的活动,这个在心理学尤其是犯罪心理学中应用很广,从医学角度来说,眼睛是大脑的窗户,通过对眼底的观察了解大脑也是在不断进步。
英国伦敦大学学院等机构的研究人员在《细胞死亡和疾病》(Cell Death & Disease)杂志上报告,通过使用了特殊的荧光标记,它们会附着到视网膜中状态异常的细胞上,再用专门的激光测眼仪检查视网膜,就可得到细胞死亡的规模和情况,并以此推断出大脑神经系统的状况。 通过这种简单方便的眼睛检查,来判断大脑神经系统的健康状况,从而有助于对各种神经性疾病的诊断和治疗。
我今天所说的,没那么高大上,却非常实用。我们都知道,颅内病变可能表现为颅内压增高(Intracranial hypertension,IH),其临床表现有三联征:头痛、短暂性视物模糊和波动性耳鸣。患者常因视觉症状首诊眼科时发现双侧视乳头水肿、视野缺损。晚期患者视力严重受损,视神经萎缩。尽早明确颅高压的诊断能够积极有效地最大程度保存患者视功能。我们能做的就是通过观察眼底来帮助判断颅内疾患,尤其存在颅高压时,眼底可能出现视乳头水肿等表现,眼底检查必不可少。
颅高压分为特发性颅高压(Idiopathicintracranial hypertension,IIH)和继发性颅高压,因特发性颅内压增高临床表现中视乳头水肿异质性很强,本次文章先特别提出,让大家有个了解,我们再慢慢讲别的内容:
IIH导致的视乳头水肿多为双侧对称性,但不除外由于视盘解剖结构的差异出现的双侧不对称性表现。IIH病程的不同时期视乳头水肿的表现及程度有很大差异。
早期:视盘边界模糊、视乳头抬高、表面充血、色红【图1】。由于该阶段疾病的临床表现尚不充分,诊断困难,需要结合很多辅助检查明确各种导致视盘水肿(disc edema)的病因。

图1 早期轻度颅高压双侧视乳头边界不清、略抬高、表面血管充血。
中度:视盘周边360度边界均不清、视盘扩大、表面血管部分被遮蔽、视盘周围同心圆样视网膜皱褶【图2】。

图2 中度视乳头水肿:双侧视乳头环形隆起、边界不清且扩大。视盘表面血管部分被遮蔽
重度:视乳头整体隆起、血管消失、伴有大量出血、渗出、静脉迂曲。棉绒斑的出现表面缺血。黄斑渗出时可有视物变形【图3】。

图3 视乳头水肿极期:双侧视乳头明显隆起、盘周出血、渗出,静脉迂曲。双侧黄斑星芒状渗出
慢性期:视盘呈“香槟酒瓶塞”样环形隆起,表面出血减少,覆盖白色轴浆渗出与胶质增生。由于慢性缺氧缺血视盘表面可以出现新生毛细血管以及静脉侧枝循环【图4】。

图4 慢性期视乳头水肿:双侧视乳头呈“香槟酒瓶塞”样,表面出血减少,覆盖白色轴浆渗出与胶质增生
晚期:视盘隆起消退,继发性萎缩,颜色苍白,表面血管变细,白鞘形成。视网膜仍可见陈旧性渗出【图5】。

图5 晚期视乳头水肿:视盘隆起略消退,颜色苍白,表面血管变细,白鞘形成视网膜仍可见陈旧性渗出
如患者在该时期首诊,确诊颅内压增高较困难,需要结合其他临床表现及影像学中空蝶鞍等间接征象。
客观评价IIH视乳头水肿的程度可以使用Frisen量表。该分级标准结合了眼底镜下表现和OCT检查,用于IIH疗效的评估。
假性视乳头水肿(pseudopapilledema)是由于视盘先天发育异常如拥挤、倾斜视盘、表面或埋藏的玻璃疣等使视乳头外观貌似水肿。出现在视盘周围的有髓神经纤维及Leber遗传性视神经病的急性期视乳头的充血也易被误诊为视神经缺血或视神经炎的视盘水肿【图6】。与真性视乳头水肿最关键的鉴别点在于荧光血管造影中视盘无明显渗漏。其他特征:视盘的边界清晰、表面血管无遮蔽、缺乏中心凹以及伴有视网膜血管异常的表现均有助于鉴别。

图6 假性视乳头水肿:(A)视盘埋藏玻璃疣;(B):视盘周边有髓神经纤维;(C):Leber遗传性视神经病患者急性期假性视乳头水肿;(D):先天性拥挤、倾斜视乳头貌似视乳头水肿
OCT可以客观评价视乳头水肿及视网膜损害的程度。
附: 典型病例
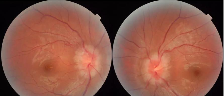
患者,女性,40岁,因双眼短暂性视物模糊频繁发作1年来诊。既往患多囊卵巢,服用激素类药物治疗。查体:BCVA右眼0.8,左眼1.0。眼底:右侧视盘边界欠清,色淡,表面胶质增生,血管变细;左眼视乳头环形隆起、呈“香槟酒瓶塞”样,视盘中心大血管遮蔽,周围完整晕环【图7】。

图7 眼底双侧视乳头边界均欠清,但水肿程度不一致:右眼轻度隆起,颜色白,动脉血管变窄。左眼明显环形隆起,呈“香槟酒瓶塞”样,视盘表面大血管被遮蔽
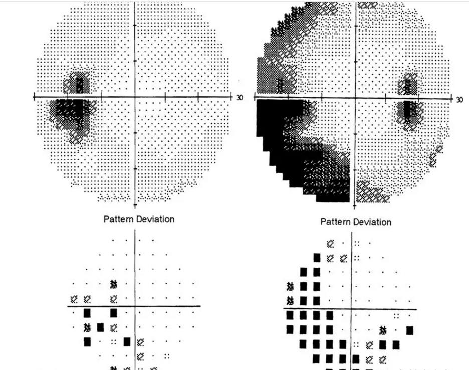
Humphrey视野显示右眼除生理盲点扩大外还伴鼻下方弓形视野缺损;左眼生理盲点扩大【图8】。

图8 Humphrey视野显示右眼除生理忙的扩大外还伴鼻下方弓形视野缺损;左眼为生理盲点扩大。与图7眼底表现相对应。
头颅MRI未见颅内占位病变。腰穿脑脊液压力大于330 mmH2O。诊断:特发性颅内压增高。给予醋甲唑胺25mg,Bid 口服。医嘱注意副作用,定期复查血常规。1月后随访,一过性视物模糊症状明显缓解。6个月后复查腰穿脑脊液压力降至250mmH2O。视力及视野随访稳定。
结语:神经内科和眼科是紧密联系的两个科室,除了颅内病灶造成视乳头水肿可以通过眼底来判断,常见的如脑血管动脉粥样硬化,糖尿病性眼底出血、蛛网膜下腔出血等,少见的如多发性硬化、视神经脊髓炎、MOG脑脊髓炎等中枢神经系统脱髓鞘疾病都可以在眼科有所表现,罕见的如尼曼-匹克病、戈谢病、唾液酸沉积症、婴儿型黑矇性痴呆等出现的眼底樱桃红斑、脊髓小脑性共济失调SCA7的视网膜色素变性等等,别的神经系统疾病出现眼部表现的如MG(交替性眼睑下垂)、CPEO(缓慢进展的双眼睑下垂)、Leber(视力下降)、MELAS(视力下降甚至失明)、阮蛋白病(CJD)(皮质盲)、肝豆状核变性(角膜K-F环)、毛细血管扩张性共济失调(眼球结膜暴露部分毛细血管扩张)等等不胜枚举,有条件的医院可以神经科和眼科合作以便共赢。

田国红,副主任医师,医学博士,复旦大学附属眼耳鼻喉科医院神经眼科。美国哈佛大学眼耳医院神经眼科访问学者。1992年毕业于第四军医大学,曾在北京同仁医院从事神经眼科疾病的诊疗多年,2013年作为复旦大学特殊人才引进专门从事神经眼科专业工作,长期从事与神经眼科相关疾病的临床诊疗。擅长视神经炎、缺血性视神经病、Leber遗传性视神经病等视神经疾病及复视、眼肌麻痹的诊疗。
赵桂宪,临床医学博士,复旦大学附属华山医院神经内科工作。2000年本科毕业于西安交通大学临床医学院。2008年博士毕业于福建医科大学。长期工作于临床一线,擅长“中枢神经系统多发病变的诊断和鉴别诊断”,专长多发性硬化、视神经脊髓炎、中枢神经系统脱髓鞘病变的等中枢神经系统免疫性疾病,同时进行多发性硬化(MS)的临床及科学研究,对周围神经病和神经遗传变性病也有一些自己的体会。
本文章来源——赵桂宪大夫