专家简介:罗忠平,现任湘南学院附属医院神经外科主任、学术带头人、主任医师。郴州市抗癌协会神经肿瘤专业委员会主委,湖南省神经科学委员会理事,湖南省脑与脑健康委员会常委,湖南省健康宣教委员会委员,湖南省加速康复神经外科委员会委员,郴州市神经外科专业委员会副主委、郴州市外科专业委员会、微创外科专业委员会委员。国家执业医师考试考官,郴州市伤残鉴定、医疗事故鉴定委员会专家。擅长颅脑肿瘤、脑血管病、颅脑损伤、功能神经外科疾病的诊治。在脑、椎管肿瘤行显微手术,三叉神经痛、面肌痉挛行微血管减压手术,三叉神经痛行半月神经节球囊压迫术,颅内动脉瘤行开颅夹闭及血管内栓塞手术,脑干出血行开颅及穿刺手术等方面经验丰富。
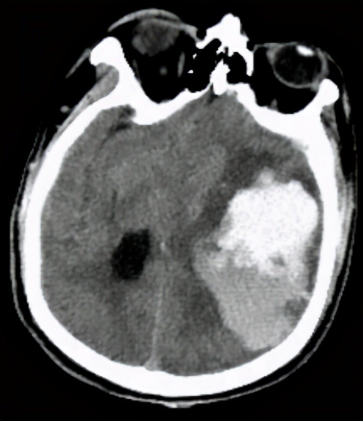
患者老年女性,63岁,既往高血压十年,偶尔服药治疗。一周前突然神志不清2小时,被紧急送到了湘南学院附属医院救治。入院检查,血压195/95 mmHg,头部CT示左侧基底节区脑出血。
神经外科罗忠平主任详细研究了患者资料,指出:颅内出血量大,神志昏迷,脑室中线受压明显,脑疝形成,有明确手术指征。决定行大骨瓣开颅+去骨瓣减压术。

术前
手术采用左侧额颞顶部直切口,劈开脑组织向下探查,找到血肿后用吸引器将其吸除干净,仔细止血后关颅。
关颅时,取下来的骨瓣不会放回去,这叫“去骨瓣”,相当于在原本密闭的颅骨上开了一个“减压窗”,它给出血后肿胀的脑组织找到一个泄压的去处。
由于术前准备充分,手术过程一切顺利,术中术后生命体征平稳,复查CT脑出血基本清除,达到手术目的。

术后
据罗忠平介绍,脑出血俗称脑溢血,一般指的是自发性脑实质内的出血。以高血压为最常见的原因,与高血压引起脑深部小动脉变硬、易破裂有关,又被称为高血压性脑出血。多见于50~70岁,冬春季易发,病死率高,是严重威胁患者健康的疾病。
脑出血往往骤然起病,多在情绪激动、过度用力、高度紧张时发生。基底节是常见的血肿部位,约占60%;其次是丘脑出血,约占15%;以后依次为大脑皮质、小脑、脑干。出血部位不同,临床表现不同。
多数病人发病时感到突然头痛、头晕,继而可能出现口眼歪斜、半身无力,严重时可出现神志不清,并出现呼吸急促、血压升高、频繁呕吐,部分病人可以出现肢体抽搐,大小便*禁失**等症状。
通过CT、CTA、DSA等检查,能够精确了解出血的部位、出血量、波及范围、有无脑室穿破以及血肿周围脑组织情况。出血少时保守治疗为主,包括绝对卧床、镇静与稳定血压,应用脱水药、止血药,保持水、电解质平衡。
出血较多时,需及时手术清除血肿,减轻血肿周围脑组织受压,挽救生命,进而促进神经功能恢复。手术方式有大骨瓣开颅血肿清除术、小骨窗开颅血肿清除术、锁孔开颅血肿清除术,神经内镜下血肿清除术、立体定向引导下颅骨钻孔血肿引流术等。
骨瓣开颅血肿清除术
传统的手术方法,创伤较大,是病人家属较为惧怕的一种手术,但是对于一部分出血量较多致病人脑疝的病例,该手术方式具有血肿清除彻底、止血效果好、有效减压等优点。
手术入路主要包括经颞叶入路、 经额颞区入路和经外侧裂入路血肿清除几种方式。适用于出血量大,中线移位严重,脑疝形成,病情重且昏迷程度深的患者。