腮腺常见疾病影像诊断
- 腮腺混合瘤
- 腮裂囊肿
- 腮腺恶性肿瘤
颈部常见疾病影像诊断
- 血管瘤
- 颈动脉体瘤
- 淋巴结肿大性疾病
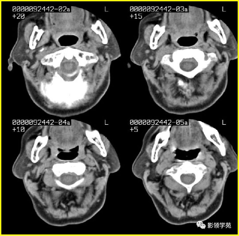
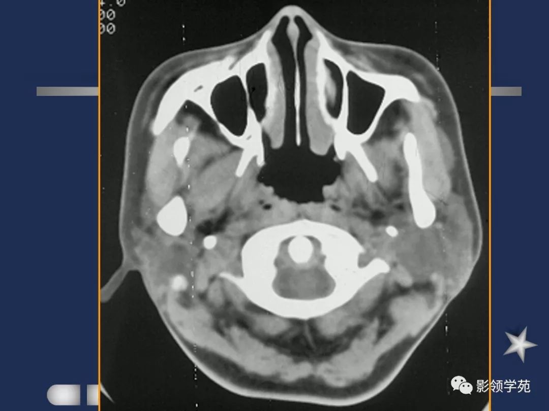
腮腺解剖
- 位于下颌骨后,胸锁乳突肌前,上致颅底,位于乳突尖和颞颌关节之间,下至下颌角,是茎突前咽旁间隙重要器官
- 腮腺是脂肪性腺体,CT呈低密度
- 腮腺内血管显示清楚



















































































MRI表现
- MRI上实性肿块在T1WI上呈等低信号,在T2WI上呈高信号,囊变区呈长T1长T2信号,钙化在T1WI及T2WI上均呈低信号。
- 甲癌晚期肿瘤常突破甲状腺被膜向周围侵润
- 在增扫时可见环状强化。
- 由于CT和MRI能增强扫描可以清晰显示甲癌的侵润范围和程度,以及显示淋巴结的转移情况
- 手术前分期,指导治疗计划
来源: 影领学苑
【版权声明】本平台属公益学习平台,转载系出于传递更多学习信息之目的,且已标明作者和出处,如不希望被传播的老师可与我们联系删除
喜欢本期内容的 求收藏 求转发
如果您有ct片问题也可以直接头条私信
想要知道更多的放射科相关内容可以微信关注放射沙龙公众号
或者直接在应用商店*载下**放射沙龙app与放射科医生在线互动学习