本内容由国家中医药管理局中医药名词术语成果转化与规范推广项目审核认证。
小叶是一个25岁的年轻姑娘,刚结婚2年。第1年小夫妻俩享受二人世界采取了避孕措施,第2年才在父母的催促下开始要宝宝,可准备了1年多小叶也没有怀孕的迹象,体重却因为幸福的生活从原来的70公斤涨到了现在的80公斤。小叶的月经从13岁第一次来潮以来,一直也不怎么规律,周期最短半个月,最长2个月,近1年周期最长3个月,月经量也时多时少,而且小叶身上明显多毛。最后夫妻俩一起去了医院。小叶丈夫挂号去男科进行了简单的精液常规,结果无异常。而小叶去看生殖医学科却发现了不少问题。


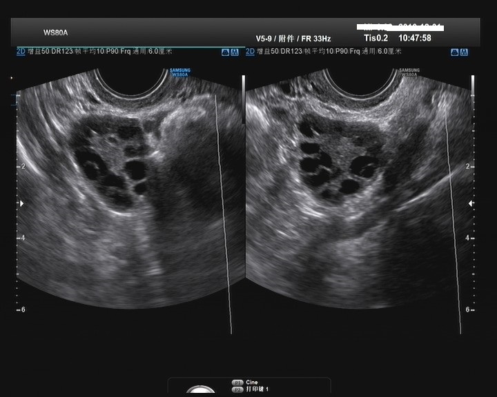
生殖科医生详细询问了小叶的病史,简单查体,并开了几项检查,妇科激素六项、空腹血糖及胰岛素以及经阴道B超。根据结果最后对小叶进行了诊断:多囊卵巢综合征PCOS。
多囊卵巢综合征是育龄期女性最常见的生殖内分泌疾病,是引起无排卵不孕和高雄激素血症的主要原因,其发病率高达5%-10%。病因学研究发现,PCOS的复杂临床表现和生化特征是遗传因素和环境因素共同作用的结果。多囊卵巢综合征具有明显的家族聚集性。PCOS的主要临床表现为:月经稀发或闭经、不孕、高雄激素征、卵巢多囊样表现。内分泌及代谢异常表现在血浆促黄体生成素LH水平增高,促黄体生成素/卵泡刺激素(LH/FSH)值增高、高胰岛素血症、胰岛素抵抗、肥胖以及异常脂质血症等。

PCOS患者无论有无生育要求,首先均应进行生活方式调整,主要为控制饮食、运动和戒烟酒,肥胖患者减重后就可能改变或减轻月经紊乱、多毛、*疮痤**等症状并有利于不孕的治疗。减轻体重至正常范围可以改善胰岛素抵抗,阻止PCOS长期发展的不良后果,如糖尿病、高血压、高血脂和心血管疾病等代谢综合征。PCOS主要的治疗原则是调整月经周期,降低高雄激素的表现,恢复排卵解决生育问题,预防远期并发症。

针对小叶的情况,医生详细向小叶解释了多囊综合征,并给出建议:减肥。减轻体重至正常范围后,监测卵泡试孕,根据情况适当促排卵治疗。多次促排卵无果也可选择辅助生殖技术。夫妻俩听完立即决定回家减肥了。
