甲减是一种与甲亢完全不同的甲状腺疾病,甲减通常伴有皮肤干燥、记忆力减退、头晕、耳鸣、便秘等症状。很多甲减患者在发病初期都会感觉有懒散无力的状态,经过调整和休息会有所改善,殊不知这是一种对疾病认知的匮乏,很可能会导致病情的延误。

很多人在拿到甲减的检测报告后,心理都存在一个疑问,我得了甲减会影响寿命吗?还能活多久,一般来说,甲减不会减少寿命年限,但是如果诊治不及时很有可能会诱发其他疾病,对生命构成威胁。甲减常常会诱发以下疾病:

高血脂
甲减一般会引起高血脂症状。 正常的甲状腺激素分泌量,不仅可以促进肝脏胆固醇的合成,还能促进胆固醇及其代谢产物从胆汁中的排泄。因此,甲状腺激素影响血清胆固醇的产生和降解。当甲状腺激素分泌不足时,身体的代谢速率明显会下降, 胆固醇的合成速率降低,并且它的排出速度也会降低,对于糖、脂肪、蛋白质的代谢会产生堆积,自然会引起血脂代谢紊乱,高血脂就来了。

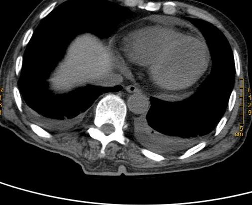
心包积液
甲减导致的心包积液又被称为黏液性水肿心包积液,由于甲减患者的甲状腺激素分泌不足,身体代谢降低,心脏器官代谢也随着降低,这时心包膜血管通透性增加,血管内液体和黏蛋白漏出,就会引发心包积液,从而导致甲减性心脏病。

甲减危象,粘液性水肿
在临床上,出现粘液性水肿时并无什么症状,多数患者会感到身体乏累。当按压身体的时候也会出现像肾病一样向下凹陷的症状,但甲减引起的粘液性水肿与肾病水肿有区别,肾病引起的水肿手指按压下去短时间内难以复原,由甲减引发的粘液性水肿用手指按压后在短时间内恢复较快。另外,甲减危象的患者病亡率较高,所以患者一定要及时进行规范的诊治。甲减危象、粘液性水肿等都是甲减患者不得不防的一些并发症。

呆小症
临床上甲减引起的呆小症是由于母亲患有甲状腺疾病或妊娠期间服用了抗甲状腺药,会使甲状腺先天发育不良。如果小孩子在成长过程中缺少甲状腺分泌激素,会影响到孩子的脑组织和骨骼发育,治疗不及时不但生长发育会低于同龄儿童,还会引起呆小症。

临床上甲减诊治不及时除了会引起高血脂、心包积液、甲减危象、粘液性水肿、呆小症外,还可以引起甲减性肌病,表现为肌无力、肌酶谱增高等。患者在面对甲减疾病时,一定要积极配合医生进行专业规范的治疗,才能早日康复。
甲状腺相关问题,欢迎关注评论