作者丨小柯

美国纪念斯隆凯特林肿瘤研究所Scott W. Lowe、Michel Sadelain等研究人员合作开发出抗衰老CAR-T细胞用于逆转衰老相关的疾病。
相关论文于2020年6月17日在线发表在《自然》杂志上。
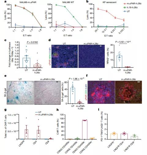
研究组测试了靶向衰老细胞的嵌合抗原受体(CAR)T细胞,它可以作为有效的抗衰老治疗剂。

研究组将尿激酶型纤溶酶原激活物受体(uPAR)鉴定为在衰老过程中被广泛诱导的细胞表面蛋白,显示出uPAR特异性CAR T细胞在体外和体内均能有效消除衰老细胞。

靶向uPAR的CAR T细胞延长了用诱导衰老药物治疗的肺腺癌小鼠存活率,而且,恢复了化学或通过饮食诱发肝纤维化小鼠体内的组织稳态。

这些研究结果揭示了衰老相关疾病CAR T细胞的治疗潜力。
据了解,细胞衰老的特征在于,稳定的细胞周期停滞以及一个调节组织微环境的分泌程序。
从生理学上来讲,衰老是一种肿瘤抑制机制,可防止癌前细胞的扩增,并在伤口愈合反应中发挥有益作用。
从病理上来讲,衰老细胞的异常积累会产生炎症环境,从而导致慢性组织损伤,并导致诸如肝和肺纤维化、动脉粥样硬化、糖尿病和骨关节炎等疾病。
因此,消除小鼠受损组织中的衰老细胞可改善这些病理症状,甚至可延长寿命。
相关论文:
https://www.nature.com/articles/s41586-020-2403-9
小柯报道:
http://news.sciencenet.cn/htmlpaper/2020/6/202062016291796757123.shtm