原创: 谢莎莎 肾上线
一位因慢性肾小球肾炎而导致尿毒症的男性患者,今年49岁,透析已22年。
但是,他遇到了一个非常苦恼的问题。咱们一起来帮他看看好吗?
这是他最近手的一张照片,有看出什么问题吗?

放大看一看,伸出自己的手对比一下。有没有发现他的指头那个地方特别短,缩在一起。

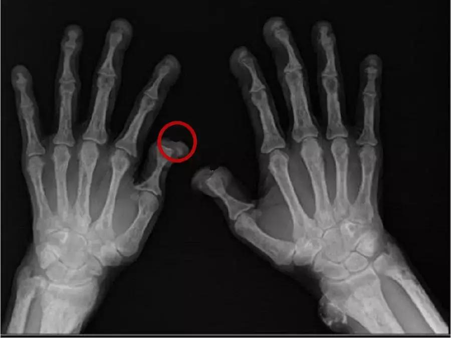
X线很清楚的显示,他的手指骨头出现了“溶解”样的改变,特别是两只手的大拇指,大拇指远端关节几乎完全溶解了。

对比正常的手部X线,大家能明显看出区别,左边是这位患者的,右边是正常人。

不仅是手的骨骼,他全身其他多处骨骼呈现了类似这样的骨质溶解,导致他的身高缩短了22厘米。也就是说,本来1米7的个子,缩短到不足1米5。

难道他中了传说中的“化骨绵掌”?一种能把人全身骨骼变得细软如棉、寸寸断裂的阴险武功。
好吧,不要YY,这当然不是什么武侠小说里的桥段。
这是真实发生在肾友身上!而且对于慢性肾病患者而言,这其实是一个常见又非常值得大家重视的问题---肾性骨病,由于慢性肾脏病导致的骨骼形态改变,尤其是血肌酐高肾功能不全的肾友,千万要高度重视。

为什么肾病导致骨骼缩短?
肾脏病导致骨骼异常的生理机制很复杂,涉及到一系列的反馈回路,肾上线尽量简化通俗一点。
众所周知,肾脏是排泄废物的主要器官,每个人的肾脏有200万左右的肾单位,由于肾脏病的原因,一些肾友的肾单位“阵亡”了不少,这导致肾脏排泄废物的能力减弱,磷酸盐是诸多废物中的一种,肾不好,太多的磷堆积起来排不出去。
这时候调控磷的内分泌器官---甲状旁腺就不乐意了。甲状旁腺不是甲状腺,虽然两者位置挨在一块,名字只差一个字,但是功能完全不同,甲状腺负责神经、智力发育、生长、能量这块。甲状旁腺(下图中四颗“小豆豆”似的东西)是专门负责“钙、磷”平衡的老大。如果你是老大,你看到手底下的兵在体内到处乱窜,是不是也不乐意?

甲状旁腺也是,看到磷在体内堆积起来,于是就发信号给肾脏:“喂,肾老兄,你帮我多排点磷出去行不行?现在血磷有升高趋势了啊!”肾脏虽然有苦难言,但接到信号以后也会想办法让磷重吸收少一点,多排一点出去。如果磷又高起来,甲状旁腺又会不停的发信号催促。
刚开始,因为身体有这种本能的代偿机制,钙磷的平衡可以维持。

但是,任何调节都是有代价的。
它的代价就是甲状旁腺得不停的发信号,甲状旁腺不会说话,它的信号不是语言,而是一种内分泌激素,医学名为甲状旁腺激素。甲状旁腺通过多分泌一些甲状旁腺激素(PTH),甲状旁腺素(PTH)升高↑让肾脏知道信号来了。起初,调节是适宜的。
但时间久了,甲状旁腺被逼得越来越变态,越来越激进,腺体不断增生,释放太多的甲状旁腺激素,医学上把这种现象称为“继发性甲状旁腺功能亢进”,让钙和磷水平彻底乱了套。
钙和磷是维持骨骼健康的重要组成,甲状旁腺功能亢进让骨骼跟着遭殃,出现各种各样的骨骼症状。

而开篇这位患者的骨骼异常,就是由于这样的情况。他化验检查:
甲状旁腺激素(PTH)高达1758 pg/ml,是正常的几十倍,正常值约为12-65 pg/ml;血磷1.84 mmol/l(正常为0.81-1.78 mmol/l);血钙2.10 mmol/l(正常为2.00-2.75 mmol/l);超声证实:甲状旁腺增生。
对于PTH重度持续性升高的患者,可采取手术,切除甲状旁腺,甲状旁腺手术可以有效缓解大多数甲状旁腺功能亢进引起的相关症状。
这位患者最终切除了甲状旁腺,术后12小时,PTH和血磷全部恢复正常。PTH水平为46.8 pg/ml,血钙为1.77 mmol/l,血磷为0.87 mmol/l。手术对他骨骼的影响,还需要进一步密切监测。

肾友,尤其是肾功能不全的肾友
要高度重视血钙、磷、PTH
这位患者已经是很严重的地步了,持续的高磷血症、甲状旁腺功能亢进,他数年没有控制好,引起了这么严重的骨骼问题,最终还要手术。
他的经历也告诉我们其他肾友:肾病可以引起非常严重的骨骼问题,一定要早点重视。
那怎么重视呢?
根据国际指南的建议:

从慢性肾脏病3期开始,也就是肾功能不全的肾友,肾小球滤过率低于60ml/min/1.73m2开始,就要定期复查这些指标:血钙、血磷、甲状旁腺激素(PTH)、维生素D即25(OH)D(也称骨化三醇水平)
医生需要根据患者具体情况来指导饮食方式,必要时开始使用药物。
不严重的情况是可以内科保守治疗的,手术是情况比较严重时的一个选择,希望咱们肾友都不要等到非常严重才开始重视!
参考文献:
Extreme manifestations of hyperparathyroidism in a hemodialysis patient .Kidney International (2018) 94, 1028

