
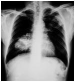
51岁患者陈某因咳血、气喘、行动不便等症状赴港求医,结果检查后发现肺部有两个6公分大的肿瘤,且已扩散到脑部、肝脏和骨骼,病情加重后,行动不便,需要使用轮椅。医生为他进行肿瘤基因测试,结果发现,肿瘤出现EGFR基因突变,更带有exon 19 deletion缺损,因此为他安排接受脑和骨扩散的放射治疗的同时,服用阿法替尼。约一个月后,他的病情明显受到控制,可以不再用轮椅,第二个月后,主要的肺内肿瘤明显缩小,脑部肿瘤消失,而肝脏肿瘤则缩小至只有一公分。他至今仍然服用阿法替尼,体重正常,享有接近无肿瘤征状的高生活质量。

在我国,肺癌是头号癌症杀手,而且病例持续增加,有专家曾经估计,在不久的将来,我国将成为全球肺癌第一大国。有香港的肿瘤科专家指出,吸烟虽然是导致肺癌的主要原因,但即便没有吸烟的习惯,亚洲人也特别容易患上EGFR或ALK基因突变型肺癌。以前,这些病例的治疗相当困难,目前医学界已经研发了针对性的靶向药物治疗,去年,香港已经引入了第二代EGFR靶向药物,对EGFR或ALK基因突变型肺癌的疗效非常理想。
近年,我国对肺癌的关注程度提升,不少人开始戒烟及留意空气污染问题。不过,香港临床肿瘤科专科张文龙医生指出“基因突变是无法预料及预防的,健康人士也可能会出现。现时,医学界发现多种基因突变,其中EGFR基因突变最为常见,而且最常见于亚洲人。”


(临床肿瘤科专科医生 张文龙)
张文龙医生透露,EGFR基因突变型肺癌的患者的年龄相对年轻,而且女性较多。过往,基因医学尚未发展成熟,医生一般只能以化疗治疗扩散性个案,但由于治疗欠缺针对性,因此副作用多,疗效不佳。直至约10年前,医学界研发出针对EGFR基因突变型肺癌的第一代靶向药物,能够直接堵截接受肿瘤生长讯号的受体,令肿瘤无法生长。目前,第一代药物已于国内广泛被应用。
去年,香港引入针对EGFR基因突变型肺癌的第二代靶向药物“阿法替尼(Afatinib)”,由于它能同时不逆转地堵截多个受体,因此其成效较第一代更为理想,是首款有研究证实能为这类患者延长整体存活期的药物,比用化疗优胜。“在EGFR基因突变病例中,其实还有细分的类别,其中一种出现了exon 19 deletion。针对这些病例,若能采用阿法替尼,其效果会更好。因此,若然患者出现exon 19 deletion,阿法替尼是不二之选。”
张文龙医生引述在另一个研究(LUX-LUNG 7)指出,“相比起第一代靶向药物,阿法替尼缩小肿瘤的能力大大增加,有助尽快缩小肿瘤,从而舒缓因肿瘤而带来的痛苦和并发症,也可明显减低肺癌恶化的风险。”
至于副作用,张文龙医生指出,只要适当地及时应用辅助药物,阿法替尼的副作用并不严重。“患者可能会出现一些皮疹,但我们可以通过教育病人和预先为患者处方一些药膏,减轻问题;此外,患者亦可能会有腹泻问题;但只要适当地服用止泻药及减少进食纤维,情况亦能明显改善。最重要的是,一旦出现副作用,患者应向医生反映,便可透过多方面应变,舒缓情况。”
张文龙医生表示,阿法替尼的另一个好处是只须口服,即使内地患者赴港接受治疗,也非常方便,国内的会诊医生也能轻易跟进。最后当肺癌产生了新的exon 20的T790m基因变异时,还可以使用第三代的EGFR标靶药(AZD9291, osimertinib)去重新控制病情。目前,内地尚未引入阿法替尼和AZD9291,有需要的患者可考虑赴港求医。