
最多跑一次:打造放心医院
我们都知道,心肌梗死非常危险!非常危险!非常危险!到底有多危险?
近年来媒体常有报道,有突发心梗被医生邻居及时发现被救了的;但是更多的却是不幸因心梗离世的,包括许多知名的公众人物……

急性心肌梗死是猝死率最高的急症之一,早一分钟开通堵塞的血管,就多一份生的希望。
抢救到底能有多快?3月16日上午,浙大四院“胸痛中心”仅用了32分钟,成功为一名急性心肌梗死患者开通堵塞的血管,创下了浙大四院胸痛患者救治时间最快记录!(低于国际标准要求的90分钟)
“绕开急诊,直接送手术室!”
3月16日上午,周六早上10:55,浙江大学医学院附属第四医院心血管内科执行主任夏淑东在“浙大四院胸痛中心微信联络群”发出了紧急指令,“患者绕行急诊,各部门周知!”。

(图为浙大四院胸痛中心微信联络群会诊记录)
两分钟前,大陈中心卫生院洪医生在群中上传了一位胸痛患者的心电图报告。夏主任通过报告确诊,患者是急性心肌梗死,属于前壁心梗。患者服用心肌梗死急救药后通过120救护车转运到浙大四院。

而就在这段时间内,浙大四院“胸痛中心”已经做好了一切准备,明确救治方案、为患者建档办好手续、启动“胸痛中心”绿色通道,放射科、检验科、心内科手术医生等相关医务人员、设施设备全部在导管室准备到位。
11:40,患者到达导管室,早已准备就绪的医护人员立即启动“胸痛中心”救治流程。
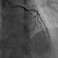
11:56,行冠脉造影检查,结果显示心脏冠脉左前降支最重处99%狭窄。和想象中的一样,患者血栓已经非常严重。
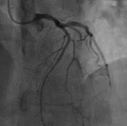
12:12,行心脏介入急诊PCI手术,放入支架,成功开通堵塞的血管。

术前血管被堵住

术后堵塞血管已经开通
胸痛中心优化流程 为生命争取时间
在过去,胸痛患者到达急诊胸痛中心后,需要建档、急诊医生问诊、抽血化验、必要检查、观察、心内科医生会诊、等介入治疗室手术通知等,而现在为了给患者争取十分宝贵的救治时间,此次浙大四院“胸痛中心”首次决定实行绕行急诊,直达导管室进行介入治疗,相比传统流程至少节约了二十分钟的时间。
从入院到开通血管总计用时32分钟,创下了浙大四院胸痛患者救治时间最快记录,远低于国际标准要求的90分钟。

“急性心梗的死亡率在30%,血管开通是它最主要的治疗手段。开通越早,死亡率越低,同时后期心律失常、心衰等并发症也越小,”浙大四院心内科执行主任夏淑东表示,绕行急诊流程经过多次模拟演练,目前各项流程工作均已完善。

如果病人在心梗发作一小时内,我们就开通血管,整体死亡率只有1.6%。如果拖延到六个小时才开通,死亡率会增加四五倍。
术后第三天上午,小编在心内科病房见到了陈先生。“感觉很幸运!”他回忆道。
当天上午他本来是到大陈中心卫生院体检,刚离开突然感觉胸口隐隐作痛,心电图医生查看报告后,立即在线通过微信群同浙大四院专家会诊,没过多久120救护车已经赶到,“好像给我开了VIP通道一样,一切都很快,手术室里我看到自己造影的血管完全被堵住了,现在已经没有什么不舒服了,还好捡了一条命。”
胸痛出现不能忽视
学会自救遵守两个120
浙大四院胸痛中心医疗总监、心血管内科执行主任夏淑东表示,胸痛症状一旦出现不能忽视,建议立即到就近医院做心电图检查,此外还要牢记两个120。
第一个120是指发病后及时拨打120急救电话。
第二个120是指急性心肌梗死的患者发病后,必须在120分钟之内及时开通堵塞的血管,有条件的患者需要及时送到有手术条件的医院。

夏主任表示,胸痛是一种常见而又能危及生命的病症,造成胸痛的原因复杂多样,包括急性冠脉综合征(ACS)、主动脉夹层、肺栓塞、气胸、心包炎、心包填塞和食管破裂等,其中ACS在这些严重危及生命的疾病中占比例最高。
目前,冠心病尤其是急性心肌梗死的发病率及死亡率逐年升高,并呈现年轻化趋势。市民要有预防意识,具备一定的“胸痛”知识,一旦发生急性胸痛,应尽早尽快到医院治疗。

TIPS:
预防此类疾病,平时要合理饮食、适量运动、定期体检,学会调整自己的心理状态,避免过度焦虑。有“三高”的朋友应将血糖、血压、血脂控制在目标范围;吸烟的朋友,戒烟;减少久坐,多走动,预防下肢静脉血栓。
建设胸痛中心协同救治网络
为生命争分夺秒
此次高效救治离不开基层医院精准判断,目前,浙江大学医学院附属第四医院“胸痛中心”与义乌14个基层社区卫生医院合作,形成了协同救治网络体系,通过上下联动、24小时在线微信会诊、开通绿色通道等方式提高地区胸痛患者的救治效率。
从2017年开始,为基层卫生医院提供了急性胸痛、如何转诊、如何建立区域协同的胸痛中心相关的培训,不断提高义乌地区胸痛、心梗患者的救治速度。接下来,协同和培训工作还将进一步深入,争分夺秒为患者争取生命的时间。
义乌市医学重点学科
浙大 四 院 心 血 管 内 科

浙大四院心血管内科是浙大一院心血管内科整体援建专科、浙大四院重点临床专科,长期有浙医一院心内科专家坐诊和手术,让浙中百姓在家门口就能享受到先进的省级医疗服务。
本学科被评为义乌市医学重点学科,是中国国家心衰中心、中国国家房颤中心会员单位,并有望成为义乌市首家通过中国国家胸痛中心评审的医院。
省内一流人才队伍
本学科拥有省内一流的人才队伍,目前拥有主任医师2人、副主任医师2人、主治医师5人、住院医师5人、技师3人;博士生导师1人,硕士生导师1人。
科室医师均毕业于北京协和医科大学、浙江大学、同济医学院等全国医学名校,100%具有硕士及以上学位,并在浙江大学各家附属医院工作或培训多年。

科室学科带头人朱建华教授,现任浙江大学医学部心血管教学委员会主任、国家临床重点专科心血管病学科带头人、浙江省医学重点学科心血管专业学术带头人、在国内外享有极高的学术威望。

科室执行主任夏淑东主任,医学博士学位,硕士生导师,2003年毕业于北京协和医科大学,擅长各种心律失常器械植入术(起搏器、ICD、CRTD、心电事件记录仪等)和各种心律失常的射频消融术(室上速、房扑、房颤、室早、室速等),以及冠脉支架植入、先心封堵等介入手术,多次荣获浙江大学先进工作者称号;主持国家自然青年基金项目一项、省科技厅项目一项、省卫生厅及教育厅项目各一项,主参浙江省科技厅项目二项,发表SCI杂志论文10余篇,科研成绩斐然。
科室技术与服务
本学科下设门诊(包括名医门诊、特需门诊、专家门诊、专病门诊、普通门诊)、病房(包括普通病房、心脏重症监护病房、日间病房(在建))以及介入导管室3个部门。
为高血压、冠心病、各类心律失常、心力衰竭、先天性心脏病、心肌炎及心肌病等心血管病患者提供全方位的诊疗服务,科室拥有目前国际上最先进的数字减影血管造影机(Philips FD20)、血管内超声系统(Boston Scientific)、心脏三维标测系统(CARTO3)、多导电生理系统(Bard Labsystem PRO)、主动脉球囊反搏泵(Arrow)等设备,能够全面开展冠状动脉造影术、冠脉内球囊扩张术、冠脉支架置入术、各类心律失常射频消融术、左心耳封堵、房颤一站式治疗、心脏起搏器植入术、埋藏式心律转复除颤器(ICD)植入术、心脏再同步化治疗(CRTP/D)、主动脉内球囊反搏术(IABP)、先天性心脏病封堵术等多种心脏介入手术。
供稿:浙大四院心血管内科 陆艺乐
审核:浙大四院心血管内科主任 夏淑东
编辑:南瓜
监制:石衣
来,送你一套“护肝锦囊”!超实用
浙大四院走进义乌市儿童福利院,让孩子们在健康快乐中成长!
温馨提示:最多跑一次“就诊免取号”
破记录!义乌96岁老人与死神对战 浙大四院为其安上心跳的“命门”
