
(原文首发【 好的牙 | ID:haodeya_DX 】公众号)


疫情的影响,大部分的人宅在家,但口腔问题却依旧会找上门来,后台收到朋友的诉苦,“我早上刷牙的时候,看到门牙牙龈间有黑东西,怎么刷也刷不掉,该不该去医院啊?”
当下是疫情防控的关键时期,如果因为一些并不紧急的情况外出,反而有些添乱了,况且,几乎所有的口腔诊所都陷入被动停摆期,非急症项目已经不开诊了。
如果我们发现两颗牙齿之间的牙龈有黑东西,刷牙刷不掉,不痛也不痒,可能需要听我们聊聊近年来审美界的颜值担当——“红白美学”。
简单地说,“红白美学”是指牙齿的形态和颜色以及牙龈的健康对于美学的影响。每个牙都是有生命的,让每个牙以最和谐、自然、健康的状态存在口腔内,这是多少人向往的完美口腔状态。

可好好的红白美学,却出现了一个异类,破坏这个美感!这个异类让你远看像牙齿没清洁干净,近看像龋齿;不仅让你说话漏风;还特!别!容!易!塞!牙!
- 红白美学中的异类是谁? -
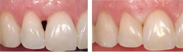
这个异类就是「黑三角」。
黑三角(black triangle)亦称开放性龈楔状隙,是指邻间龈乳头不能完全覆盖龈楔状隙,在两颗牙齿之间出现了一个黑色的、空洞的三角形。

区区一个小三角,有多可怕?
大部分人害怕“黑三角”,是因为它特别难看。但“黑三角”真正可怕的是,它不但无法自我修复(不可逆),反而可能会越来越严重。
- 为什么会出现黑三角? -
国内外学者对黑三角成因进行了研究,发现黑三角的发生是一个多因素作用的结果,但最主要的因素是牙齿邻接点到牙槽嵴顶的垂直距离。
我们先来认识两个东西,一个是牙齿邻接点,一个是牙槽嵴顶,大致就是如下图所示。

我们从图片简单可知,两者的垂直距离越远,黑三角越明显!那么具体多远才是关键?我们来听听专业学者怎么说!
Tarnow等学者分析了牙龈乳头的存在与牙齿邻接点到牙槽嵴顶垂直距离间的相关性,研究发现:
· 当牙槽嵴顶到接触点的垂直距离≤5 mm时,是几乎没有黑三角的;
· 当这个数值约6 mm时,将近一半患者会出现黑三角现象;
· 当数值≥7 mm时,大多数患者将被黑三角袭击。
纵观相关的研究得出,牙槽嵴顶到邻接点的距离为5~6 mm间是决定黑三角发生与否的关键;并且牙槽嵴顶到邻接点的垂直距离每增加1 mm,黑三角的发生率就会上升78%~97%,涂慧娟等的研究也得出了相似的结论。
由此可见,相邻牙齿之间接触点过高、牙槽嵴顶的高度降低是导致黑三角产生的两大重要因素。
我们想要绕过黑三角这道坎儿,了解影响这两者距离的其它因素就是我们的有利*器武**。
- 黑三角容易形成的情况是? -
NO.1牙周病
牙周炎会导致牙龈萎缩、牙槽骨吸收,且由于长期不良的口腔卫生,会导致牙结石、牙菌斑在龈缘、牙缝间堆积,不断刺激牙龈,造成牙龈红肿、口臭、牙松动,牙龈也会慢慢萎缩,露出牙根。

NO.2年龄
Chang的研究指出,患者年龄和黑三角有相关性,随着年龄的增长,牙龈乳头高度每年平均降低0.012 mm,黑三角的发病率随之增加。

所以说,越长大,口腔清洁越不容忽视!
NO.3牙冠形态
黑三角多发生于前牙区,后牙区很少。这是因为牙冠唇面形态可以分为方圆形、卵圆形和尖圆形,方圆形的牙齿发生黑三角的概率相对最少,而尖圆形的牙齿比较长窄,相信牙齿接触点相对较高,更容易有黑三角发生。

NO.4牙列拥挤
如果牙列拥挤,牙齿里的软垢及牙结石就很难清洁干净。牙龈便会一直处于发炎状态,龈乳头就会退缩。而矫正后牙齿排列整齐了,相邻牙齿间的缝隙就暴露了,就产生了黑三角。

以上都是黑三角容易形成的情况。黑三角形成的空洞,不易清洁,给细菌营造了一个良好的生长繁殖环境,对牙周健康的影响可想而知。
- 拿什么拯救你,我的黑三角 -
- 牙周治疗:有很多人出现黑三角是因为有严重的牙周炎,所以尽早进行牙周治疗,缓解牙龈萎缩、牙槽骨吸收,预防黑三角的出现。再通过再造龈间乳头,填补黑三角间隙。

- 片切治疗:主要针对切牙牙冠呈三角形的人,两牙之间的接触点高,我们可以通过邻面去釉改变牙冠形态。从点接触变成面接触,增大接触区面积,同时配合正畸关闭间隙,从而减少黑三角的发生。

- 正畸治疗:针对牙根分散,正畸治疗纠正了分散的牙根角度,做到尽可能的平行,并且将分散的牙根聚集到了一起,以降低黑三角发生的可能。

- 全面的口腔护理:黑三角的产生有很大一部分原因是牙齿清洁没有做到位,继而产生了菌斑、牙结石,让牙龈进一步萎缩,注意清洁牙齿可以有效减少黑三角产生。

总之呢,黑三角是个可防却很难逆转的家伙,但如果已经出现不可逆的“黑三角”,要尽快寻求专业口腔医生的建议,进一步诊治;日常要加强清洁,防止它继续恶化下去。
还没出现“黑三角”的仙女们,为了预防这个讨人厌的异类出现,要定期洗牙,坚持使用牙线。在注意口腔卫生的同时,如果牙周有小毛病,可别拖拖拉拉不治疗,当心黑三角不请自来,记得防范于未然鸭!!