近日,巴彦淖尔市医院手足显微外科首例自主开展的扁平足矫形手术成功完成。

51岁的王女士两年前走路出现右脚踝疼痛,近日,她明显感觉疼痛加重,甚至连短短500米的路程也无法走完,备受疾病困扰的她来到巴彦淖尔市医院手足显微外科治疗。

经诊断,王女士患上了扁平足,这是一种以足内侧纵弓塌陷为主要表现的足部畸形。正常情况下,人的脚底是自然的弓形,但有扁平足的人,脚底基本是平的,没有明显的足弓,站立时脚底内侧会直接触地,这导致王女士足踝部多关节畸形病变、疼痛无法行走并丧失劳动能力。
因扁平足强烈的疼痛感已经影响到王女士的生活质量,必须通过手术矫正才能缓解病痛。2020年5月27日王女士在巴彦淖尔市医院接受了扁平足矫形手术,由手足显微外科副主任乔悾主刀,主治医师张立岳、木仁协助成功完成,也是该院手足显微外科首例自主开展的扁平足矫形手术。
术前无明显足弓

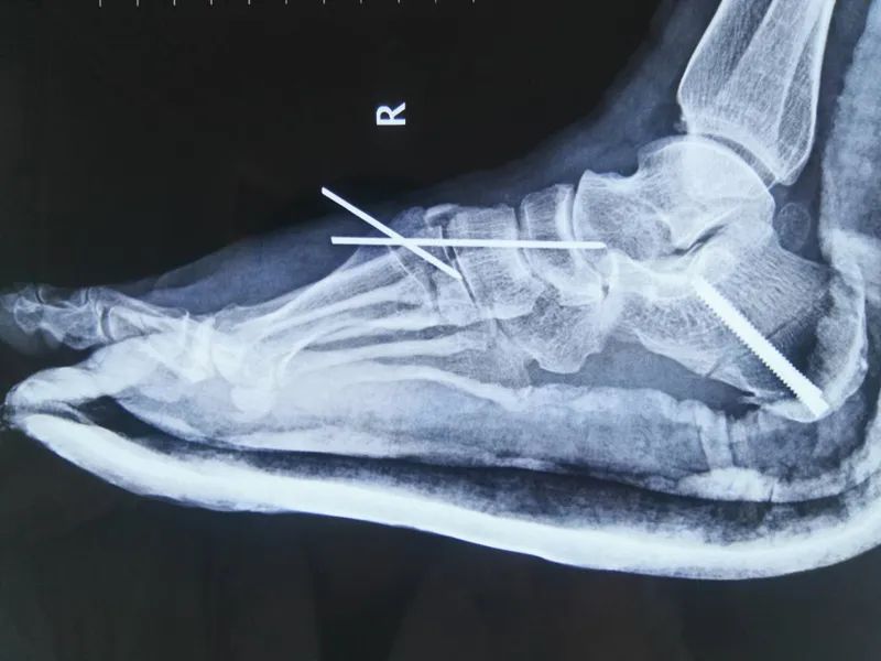
术后足弓恢复
据了解,该手术通过五个切口,六种术式进行,根据王女士的病情将她脚上的畸形骨头进行矫正固定,手术过程难度很大,包括了两个四级术式以及四个三级术式,其中跟骨截骨术、跗骨成形术为四级手术,并且是巴彦淖尔市医院手足显微外科的新技术项目,四个三级手术包括副舟骨切除、腓肠肌松解、胫后肌重建、髂骨取骨植骨术。扁平足和高弓足标准截骨的手术治疗是足踝治疗成熟的标志,该手术的顺利实施标志着巴彦淖尔市医院手足显微外科在足踝治疗领域已发展成熟。

目前,王女士的足弓恢复了,力线得到纠正,足踝部疼痛基本消失,经过一段时间的康复训练,走路也将恢复正常。
专家简介
乔悾,手足显微外科副主任、副主任医师、硕士研究生,毕业于内蒙古医科大学,现任中华足踝继续教育学院客坐教授,中华医学会骨科分会足踝学组青年委员,中华医学会手外科学分会华北地区手外科委员会青年委员;中国研究型医学学会足踝医学专业委员会青年委员;内蒙古自治区医学会骨科分会足踝外科学组委员;内蒙古自治区医学会手外科学分会委员。
内蒙古自治区自然科学基金项目主持人,巴彦淖尔市科技计划项目主持人,内蒙古自治区第九批草原英才,内蒙古新世纪“321”人才工程二层次人才,巴彦淖尔市第五批中青年学术带头人,巴彦淖尔市中青年科技突出贡献奖,发表SCI论文一篇,核心国家级期刊10余篇,曾在北京同仁医院足踝外科学习,师从国内著名足踝专家张建中、孙超教授。
擅长手足外科各种疾病的诊治,皮肤缺损显微修复手术。创伤修复与功能重建,断指(趾、肢)再植、皮瓣修复;对足踝部骨折脱位手术;踇外翻、扁平足、高弓足、马蹄内翻足、跟腱疾病、骨性关节炎等疾病的畸形矫正有较丰富的诊疗经验。