退变性腰椎滑脱(degenerative lumbar spondylolisthesis)是指在退变的基础上,出现上位椎体相对于下位椎体的滑移,不伴椎弓峡部的缺损,由Newman在1955年提出。

图:腰椎滑脱示意图
有研究表明,退变性腰椎滑脱是腰痛的常见原因,影响约11.5%的美国人口。
最近的一项有关亚洲人口大样本研究(3259例下腰痛患者)发现,退变性腰椎滑脱的发生率8.7%。

图:腰椎滑脱示意图
退变性腰椎滑脱的特点是小关节退变、前滑脱和受累水平椎间盘高度丢失,导致椎管中央、侧隐窝和椎间孔狭窄。
有症状的退变性腰椎滑脱患者首先可接受保守治疗,包括疼痛药物、硬膜外类固醇注射、经椎间孔注射、以及物理治疗;
保守治疗失败的有症状的患者,宜进行外科手术治疗。但最佳手术策略仍存在争议。

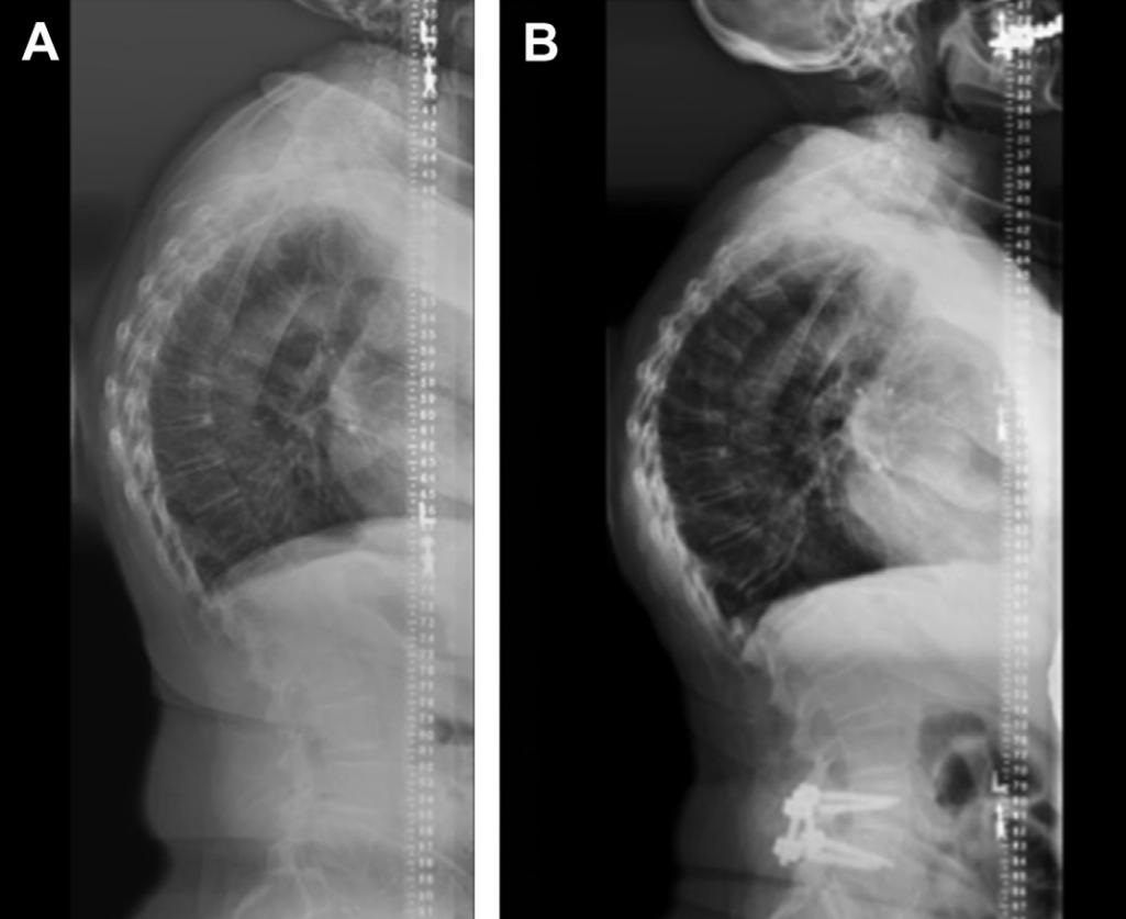
图:75岁妇女,术前(A)L4-5退行性腰椎滑脱,下肢放射性疼痛;融合手术后(B)症状缓解。
2019年,Andrew K. Chan等的文章《Summary of Guidelines for the Treatment of Lumbar Spondylolisthesis》(腰椎滑脱治疗指南)总结了有关退变性腰椎滑脱手术治疗的最新文献,将循证证据归纳为指导方案,发布在《Neurosurg Clin N Am》。
方法
在PubMed数据库检索关键词为“腰椎滑脱”“腰椎退行性椎体滑脱”筛选出46项相关文献,并将其中37篇用于循证证据。

图:证据等级
手术治疗VS保守治疗
证据等级:*级A**
在脊柱患者研究试验(Spine Patient Outcomes Research Trial,SPORT)中,Weinstein等发现:
74.1%患者手术后症状显著改善,非手术治疗只有24.1%
3个月随访中,手术患者ODI( Oswestry Disability Index)改善比保守治疗更明显;
2年随访中,手术患者SF-36(Short Form-36)和ODI改善更明显。

图:手术治疗L4-5退行性腰椎滑脱
SPORT提供了I级证据,证明手术治疗退变性腰椎滑脱效果优于保守治疗。
单纯减压VS减压+融合
证据等级:C级
Ghoga-wala等指出,椎弓根螺钉固定VS椎板切除术,术后3个月到4年的SF-36更高、ODI更高、生活质量改善更明显,再手术率低(14% vs34%),为固定融合治疗效果优于单纯减压提供了I级证据。
Chang等的前瞻性研究(426患者)发现,融合手术可能比单纯椎板切除手术治疗效果更好。

然而,Försth等认为融合手术和单纯减压患者临床结果没有显著差异;Thomsen等指出,腰椎滑脱患者的临床结果与是否加做融合无关。
尽管有随机的(I级)和前瞻性的(II级)证据支持滑脱手术时增加融合,但也有I级证据表明融合手术治疗效果并不突出。因此,长期随访和高质量的RCT(randomized controlled trials,随机对照实验)、前瞻性研究是必要的。
内固定融合VS非内固定融合
证据等级:C级
Fischgrund等的前瞻性研究发现,固定融合手术融合率为82%,非内固定融合手术融合率为45%;内固定组融合比例较高,但融合率与临床效果无关。
Thomsen等发现,内固定融合患者满意度为82%,非内固定融合为74%,但差异不够大,不足以提出内固定使用的建议。
Kimura等指出,内固定可能在治疗腰椎不稳和腰椎后凸(>3mm)患者更有利。
以上研究表明,内固定融合治疗退变性腰椎滑脱有更高的融合成功率但与临床预后无关;内固定融合治疗腰椎不稳/腰椎后凸效果显著。
开放手术VS微创手术
证据等级:B级
Mummaneni等通过回顾性研究分析发现,MIS(minimally invasive surgery,微创手术)和开放手术在12个月时治疗效果无明显差异;MIS患者失血量更少、2节段患者腿痛显著改善。

图:MIS-TLIF治疗退变性腰椎滑脱
Parker等的研究发现,MIS和开放手术后患者3个月和2年随访中再手术率、并发症、VAS评分、 ODI和SF-36等并无显著差异,但MIS患者住院时间短、返回工作的时间短、成本低。
Kotani等研究发现,MIS患者失血量较少,术后2周到24个月随访中ODI和Roland-Morris问卷得分高;两组在手术时间、融合率和并发症发生率方面均无差异。
研究表明,MIS和开放手术的临床预后没有显著差异,但术后失血量少、住院时间短、成本低;MIS对需要两个节段融合的患者特别有利,但病态肥胖等解剖因素及需要广泛双侧减压手术的患者可能限制其使用。

图:退变性腰椎滑脱治疗建议和证据推荐等级
目前,临床上腰椎滑脱融合手术术式主要有后路椎体间融合(posterior lumbar interbody fusion,PLIF)、经椎间孔腰椎椎体间融合术(transforaminal lumbar interbody fusion,TLIF)、前路腰椎椎体间融合( anterior lumbar interbody fusion,ALIF) 、侧方腰椎椎体间融合(lateral lumbar interbody fusion,LLIF)根据本文献总结,各自的优点如下:

PLIF
1944年由 Briggs和Milligan 报道,腰椎传统后路开放术式,椎体间植骨融合,骨融合较高,但存在术中对硬膜及神经根有一定牵拉,入路对肌肉损伤等问题。
ALIF
1933年Burns最早用此术式治疗腰椎滑脱,适用于L4/L5和L5/S1节段,主要适用于后者,能直接减压,增加椎间孔容积和椎间隙高度,融合率高,更易于恢复脊柱的前凸和矢状位平衡。
TLIF
1982年由Harms和Rolinger报道,能维持脊柱的稳定性,矫正畸形,增加椎椎间孔容积,且手术创伤小,对椎管内硬膜及神经根干扰小,术后并发症少
LLIF
2001年由巴西籍医生最早报道,椎间高度恢复更好,增加椎间孔容积,恢复腰椎前凸,融合率高,手术时间短,术中出血量少。
手术入路选择
椎间融合器可增加椎间隙高度,间接神经根减压。但患者该如何选择尚未形成统一认知。

图:综合考虑解剖学和临床因素,椎间融合术临床路径
作者认为,不同节段、病情不同的患者建议手术术式各有不同:
L2-4
1.需增加椎间隙高度/恢复腰椎前凸:
有腹部手术史,建议做TLIF;
没有腹部手术史,则建议做LLIF。
2.不需增加椎间隙高度/恢复腰椎前凸,建议直接做TLIF。
L4-5
1.需增加椎间隙高度/恢复腰椎前凸:
有腹部手术史建议做TLIF;
没有腹部手术史,则建议做ALIF。
2.不需增加椎间隙高度/恢复腰椎前凸:
需扩大椎间孔容积,建议做LLIF;
不需扩大椎间孔容积,建议行TLIF。
L5-S1
需增加椎间隙高度/恢复腰椎前凸,首先建议做ALIF;
不需增加椎间隙高度/恢复腰椎前凸,建议做TLIF;
如患者有腹部手术史,建议做TLIF。
结论
腰椎滑脱的治疗手段日趋多样化,要严格把握手术适应证,根据病人病情,综合分析临床疗效及并发症等,选择合适的手术方式。
对于不同手术技术优劣得比较有赖于更多前瞻性、随机化分组、多中心大样本的长期随访研究。
病例展示
患者老年女性,60+岁
症状
1.腰部剧烈疼痛
2.间歇性跛行严重,只能走50米
VAS疼痛评分:7分;ODI残疾指数:70%
影像

诊断
1.退变性腰椎滑脱(L4-5)
2.腰椎管狭窄症
术中

术后
1.疼痛缓解
2.基本可以正常行走
VAS疼痛评分:1分;ODI残疾指数:20%
影像

参考文献:
1.Andrew K. Chan……Summary of Guidelines for the Treatment of Lumbar Spondylolisthesis,Neurosurg Clin N Am 30 (2019) 353-364.
2.陈仲强……脊柱外科学,372—383.
3.胡庆柱……退变性腰椎滑脱症的手术治疗进展,医学综述 2019 年 4月第25 卷第 7 期,1343—1347.
4.Ralph J. Mobbs……Lumbar interbody fusion: techniques, indications and comparison of interbody fusion options including PLIF, TLIF, MI-TLIF, OLIF/ATP, LLIF and ALIF,Journal of Spine Surgery, Vol 1, No 1 December 2015.