这又是一例混合型颈椎病的患者,就诊患者大多数会有不同类型的颈椎病,只是主次不同。例如,本例患者初诊时以头晕为主,同时伴有走路不稳症状,我们在诊断时是分析其哪种症状治疗较易,就先治疗哪个。

普及下病例的头晕症状,它主要是由于交感神经刺激椎动脉后引起,根据我们在临床治疗中的经验,其恢复速度相对较快。但该患者同时还合并有脊髓受压情况,所以要先解决头晕症状,要使相应节段的交感神经受压和椎动脉痉挛情况最大程度得以缓解,极大地改善椎动脉的供血情况,增脑部血供脑部血液供应,从而更好地减轻或消除头晕症状,从而达到较好的治疗效果。
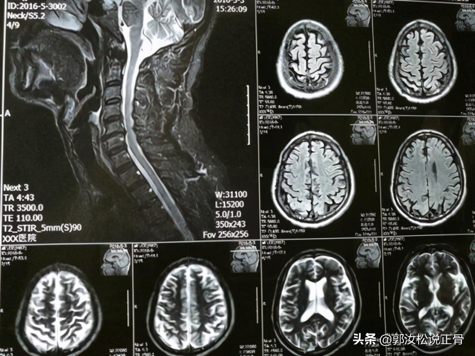
患者: 男,51岁,公司经理
主诉: 头晕伴走路不稳1年余
现病史: 1年前患者开始出现颈部不适,伴有头晕,发作时无天旋地转感,无恶心呕吐,无胸闷心慌,无耳鸣,走路时有不稳感,无四肢麻木,无四肢无力,随到当地医院就诊,给予颈椎MR及头颅MR检查提示:颈椎退行性变,C5/6椎间盘突出,相应层面硬膜受压,脊髓轻度受压,脊髓未见明显变性;头颅未见明显异常。当时诊断颈椎病,给予药物治疗,疗效不佳,后建议患者手术治疗,患者拒绝,随来我院我科就诊:颈部酸痛,头晕,走路不稳感,无恶心呕吐,无胸闷心慌,无四肢麻木。
查体: 颈部肌肉紧张,C2/3、C5/6椎旁压痛明显,旋颈试验+-,霍夫曼症+-,四肢肌力正常,肌张力正常,余无特殊。




/ / 诊断:混合型颈椎病 //颈椎和头颅MR
处理: 首次治疗给予颈椎定点扳法(针对颈椎上段C2/3),同时中药包热敷后枕部(10min/次,2-3次/天)。3天治疗一次。
注意事项: 颈椎禁忌做旋转运动,避免低头动作过多,避免看电视看电脑手机时间过长,低枕平卧睡眠为主,侧卧睡眠时枕头高度与肩部同宽,注意颈部保暖,暂不做头部运动。
多次复诊过程
第一次复诊: 患者头晕症状缓解,颈部酸痛,走路仍不稳,劳累明显,查体颈部肌肉紧张,C2/3间隙压痛明显,余体征同前。
第四次复诊: 患者头晕基本消失,颈部酸痛仍有,走路不稳,余体征同前。
第七次复诊: 患者头晕消失,颈部酸痛少许,走路不稳,余同前。根据患者病情变化。
第八次复诊: 治疗时手法选用颈椎提拉旋转扳法,治疗部位以C5/6为主,热敷颈肩部肌肉为主,治疗频率每周1次。
维持此方案治疗10次后,患者走路不稳现象改善五成,头晕未出现,颈部酸痛偶有发生,余无特殊。
头晕症状消失后,通过岭南林氏的传统手法,来整体调整颈椎的失衡状态,使其恢复一种新的平衡,从而最大限度地改善椎管狭窄部位。
脊髓型颈椎病患者在治疗时间上比较长,所以建议大家尽量规范身姿,爱护好自己的身体。
我们依旧先针对以下问题提出自己的认识,后面我将会针对大家所说的,进行纠正,并告诉大家如何正确地就医及养身;
1.得了混合型颈椎病您会选择哪种治疗方式? 2.平时如何预防颈椎病? 3.怎样识别自己得了颈椎病?
专业问题,医学生可以解答:
- 针对颈部合并多个问题的患者,手法如何选择?如何手法操作时出现并发症?

温馨提示:如身体有不适,请到医院就诊,并由医生诊断出结果为准,我们不建议自行诊治的行为。