初学超声时总是看见老师描述子宫的前平后位,那超声到底是怎么来判断的呢?
今天我们一起来学习下:
根据子宫的倾向不同,子宫位置主要分为: 前位(包括前倾前屈) 、 水平位 、 后倾位 、 后倾后屈位 。

图源:实用经阴道超声诊断学
在搞懂位置之前,我们先来了解下, 什么是前?什么是后?
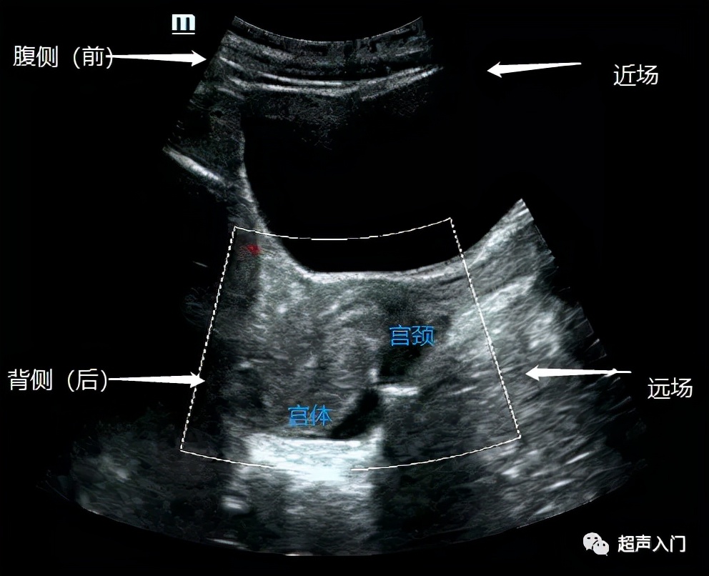
超声中的前后也是根据人体解剖学姿势来定的,前、后是指距身体前、后面距离相对远近的名词。
身体腹侧面近者为前,而距身体背侧面近者为后。

图源:系统解剖学(第9版)
搞懂了解剖的前后,我们再来认识超声图像的前后!

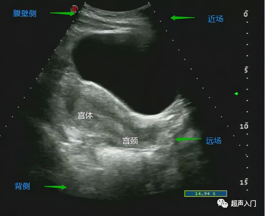
前位子宫(经腹纵切面)
通过上图我们可以看出,宫体靠近腹壁侧(人体前方),因此上图为前位。
明白人体和超声的前后,我们就可以对子宫的位置进行描述了:
前位: 即整个子宫向前倾斜,子宫长轴与阴道长轴之间形成一个向前开放的钝角,略大于90°。
前屈是指子宫体与子宫颈部在一条直线上,两者间形成一个向前开放的钝角,约170°。

前位子宫(经腹纵切面)

前位子宫(经阴道纵轴切面)

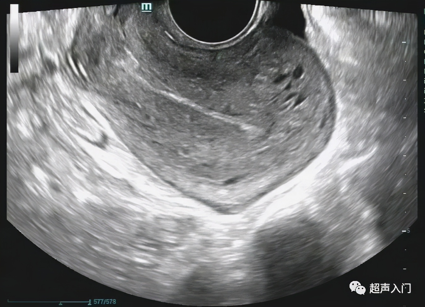
早孕,前位子宫(经阴道纵轴切面)

前位子宫(前倾前屈,经腹纵切面)

前位子宫(前倾前屈,经阴道纵切面)
平位子宫: 纵切面子宫呈水平位,宫体宫颈之间的角度几乎消失。

平位子宫(经腹纵切面)

早孕,平位子宫(经腹纵切面)

平位子宫(经阴道纵轴切面)

平位子宫(经阴道纵轴切面)
后位: 整个子宫沿纵轴向后移动,子宫体在子宫峡部水平向后弯曲,致使子宫颈与子宫体形成向后反屈角度。

后位子宫(经腹纵切面)

后位(经阴道纵切面)
后倾后屈位: 纵切面宫体向后反屈,可见有折叠线,宫颈高于宫体,子宫体后壁紧靠子宫颈后壁。

后倾后屈位子宫(经腹纵切面)

后倾后屈位子宫(经阴道纵轴切面)
以上就是不同子宫位置的超声表现,其实子宫有较大的活动性,膀胱和直肠的充盈程度都可影响子宫的位置。除此之外,还和操作者的力道有关系,如果手劲较大,前位也可能被压成平位,在做阴道超声时,在操作过程中子宫被探头推挤,后位也可能变前位。
尽管子宫的位置多变,但对子宫的位置描述也并不是一无是处,对于即将进行宫腔操作的女性是很有意义的,妇产医生如果在操作之前了解了患者的子宫大致位置,在进行操作时,会特别注意进入宫腔的方向(高手除外),避免不必要的损伤。
欢迎关注:超声入门