——李德义/文 河南省人民医院规培生
学习追踪到底
我是河南省人民医院内科基地的一名规培医师,现在消化内科轮转,自从跟随梁宝松主任学习后,不仅学会了用套路看病,而且遇到一些有意思的病例,梁主任还让我们开阔思维,开动脑筋,锻炼我们的临床思维能力。他一再强调,对于我们的患者,应该追踪到底,转科的患者,需要了解转科后的治疗和转归,对于出院的患者,需要随访,只有完整地了解患者诊治的全过程,才能知道自己哪些地方想对了,做对了;哪些地方出了思维错误,治疗失误。只有这样做,才能更好更快的提高自己的水平。梁老师不光是这样要求我们,他自己也是以身作则,争取了解到每一个患者的诊治结果。

前段时间,我写过一个“分段治疗,可以一次治愈吗?”的科普文章,大致情况是:一个患有“抑郁症”的中年女性,误服“洁厕灵”,导致“腐蚀性胃炎、幽门管狭窄”的病例,由省医张海辉主治医师行胃镜检查发现:1、食管瘢痕 2、腐蚀性胃炎 3、幽门管狭窄 4、内镜下鼻肠管置入术。因患者食管及胃粘膜大面积损伤、水肿,幽门严重狭窄,无法一次治愈,于是给予留置胃空肠营养减压一体管,一期给予胃肠减压及肠内营养,等待患者全身情况好转,二期评估患者身体恢复,再行内镜下扩张手术治疗,这样可以增加患者治疗的安全性。

本来嘱患者出院后继续补充营养,2月后来院复查,评估恢复情况。然而,患者出院10余天后又出现了新情况,在输空肠营养液的时候,会有少量营养液从减压管内引流出来,所以再次过来住院。按照梁主任平常的教导,遇到问题应该多方位思考,发现问题要一追到底,这个病人到底是出了什么问题呢?为什么营养液会出现在减压管内呢?
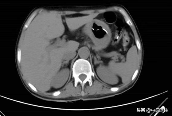
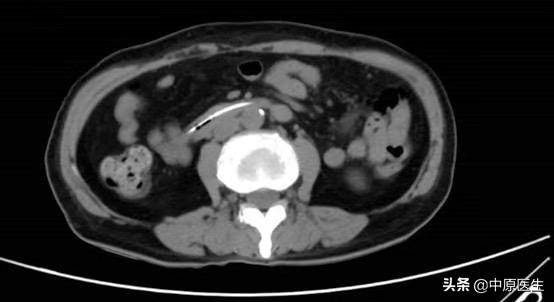
经过思考,我们认为可能与下列因素有关:1、因为是突然出现,是不是空肠营养管脱出?或者是空肠远端梗阻?立即完善胃镜及腹部CT检查,结果未发现空肠营养管脱出,也未发现明显的梗阻;2、难道是导管发生了破损,导致营养液漏到胃内?向空肠营养管内输注少量亚甲蓝,减压管内也引流出了蓝色液体,进一步完善小肠造影,结果回示:营养管瘘,同时也未发现肠道远端梗阻;根据这样的检查结果,我们考虑胃空肠营养减压一体管破损,于是立即行经胃镜给予更换管路。

为了发现究竟是哪里出现了破损,在更换管路后,我们对换下来的管路试验了密闭性,结果却未发现明显破损。那么问题究竟出在那里呢?明明更换的管子没有漏,可是在更换胃空肠营养减压一体管后,减压管内却未再引流出营养液!

问题虽然解决了,我的心里却仍有疑问,梁主任也很关注这个病人,当我把这个病人的情况告诉梁主任以后,梁主任从前向后分析了这个患者,提出有没有可能是输注营养液的速度过快,营养液从空肠逆流到了胃内。但是患者也调整过输液速度,引流液并没有见明显减少。

具体是什么原因呢?虽然患者经过第一次治疗体重增加了2公斤,整个身体恢复向好,但是这漏液问题依然萦绕在我的心头,后来我们小组集体讨论,认为这次的营养液外漏,可能和营养管插的深度有关,也可能和滴注速度有关,如果以后的临床工作过程中再遇到这种情况,我们的思考就可以更全面一些!
虽然,我们不敢确认漏液的真正的原因已经找到,但是,我相信,我们距离问题的真相应该是更近了!临床工作,真的是需要思考追踪,永无止境