随着p16免疫组化(IHC)在宫颈癌前病变诊断中的应用越来越多,我们偶尔会发现鳞状上皮化生中p16阳性,缺乏“非典型鳞状上皮化生”或鳞状上皮内病变(SIL)的形态学特征。
我们的研究旨在调查具有转录活性的人乳头状瘤病毒(HPV)是否可以在这样的病灶中被识别出来,以及它们是否与鳞状-柱状交接(SCJ)细胞有任何关系。
我们选择了22例至少有一个p16阳性的温和鳞状上皮化生的宫颈标本。先进行HPV E6/E7mRNA原位杂交,然后对CK7(SCJ生物标志物)、Ki67和HPV16E2进行IHC检测。获得了随访资料。4例因组织不足而被排除。最后18例中,HPV E6/E7mRNA原位杂交均为阳性。9例>50%细胞呈阳性,13例上皮厚度为≥低三分之二。在进一步评估的15例中,CK7阳性14例,Ki67阳性10例,HPV16E2均为阴性。10例患者同时伴有高级别鳞状上皮内病变。随访时(持续时间:1-19个月),6例患者在组织学上显示高级别鳞状上皮内病变。我们的研究表明,宫颈鳞状化皮化生中p16阳性与转录活性高危HPV的存在相关,即使没有明确的异型增生的形态学特征。我们的研究结果表明,这些病变是早期的SILs或SILs,其中大部分来自SCJ,应该密切关注。
宫颈上皮内瘤变(CIN)的组织学诊断为观察者间重复性低,CIN 1的诊断和分级、CIN 1和CIN 2之间的区别,以及高级鳞状上皮内病变(HSIL)与其类似物(如反应性上皮异型性、未成熟鳞状上皮化生和萎缩)的鉴别,都有许多解释性问题。考虑到苏木精-伊红(H&E)形态学的这些局限性,许多研究提倡使用生物标志物,如p16和Ki67免疫组化(IHC),以提高宫颈活检解释的准确性和可重复性。2012年发表的下生殖道肛门鳞状上皮病变术语(LAST)项目建议详细介绍了p16作为生物标志物在人类乳头状瘤病毒(乳头瘤)相关病变的诊断和分类中的适当使用。
在LAST之后,p16IHC作为宫颈活检组织学评估的辅助手段的应用有所增加。尽管p16的强和弥漫性免疫组化表达在许多情况下可以作为高危HPV存在的替代物,但可能存在与其解释相关的问题。最近,RNA原位杂交(ISH)探针已被开发出来,用于检测福尔马林固定石蜡包埋组织中高危HPV类型的E6/E7mRNA转录本。据报道,RNA-ISH在描述肛门生殖器区域和头颈部HPV相关瘤变方面取得了有希望的结果。另一个最新进展是,鳞柱连接(SCJ)处细胞的独特群体参与了HPV相关宫颈肿瘤的发病机制。
在过去的几年中,我们的实践也见证了p16IHC在诊断和鉴定HPV相关宫颈病变方面的应用的增加。然而,随着p16使用的增加,我们偶尔会在鳞状化生上皮中遇到p16阳性(即强和弥漫性阳性),缺乏“非典型未成熟化生”(AIM)或鳞状上皮内病变(SIL)的形态学特征。在宫颈标本中存在这样的病灶可导致诊断困境以及报告和管理问题。这些病灶不能被自信地归类为SIL,因为它们缺乏其形态学属性。与此同时,我们也不确定它们是否可以被视为一种无关紧要的东西。
我们的研究旨在调查p16阳性的鳞细胞中是否能鉴定出转录活性的HPV子宫颈化生,这一发现的结果是什么,以及这些病灶与SCJ细胞(HPV感染的假定靶点)之间是否有任何关系。
Ki67免疫组化评分
Ki67阳性结果被定义为上皮厚度的上三分之二存在至少2个染色强烈的上皮细胞核簇。
CK7免疫组化评分
如果至少在上皮细胞顶端层的多个相邻细胞中出现强烈的细胞质染色,则认为CK7的表达为阳性。弱细胞质染色或局限于上皮细胞的下半部分或在上一半可见的孤立细胞染色被认为是阴性
HPV16E2免疫组化评分
以弥漫性核染色视为阳性。
临床及随访信息
病例的组织学取样(纳入本研究)的临床指征和患者的人口统计学信息均来自电子病历。还记录了该样本后24个月内的任何组织学和/或细胞学随访和高危HPV检测结果。

HR-RISH与Ki67的相关性
5例温和化生Ki67阴性。他们与HR-RISH染色模式包括:<10%细胞下一半的上皮,10%到50%细胞下一半的上皮(2例),10%到50%细胞≥低三分之二的上皮和>50%细胞≥降低三分之二的上皮细胞。
相比之下,10例阳性Ki67显示HR-RISH阳性>50%细胞≥低三分之二的上皮细胞在8情况下,10%到50%细胞≥低三分之二的上皮细胞在一个情况下,10%到50%的细胞下一半的上皮细胞在剩下的情况下。
在HSIL病灶中,所有9例均显示≥中50%的>细胞呈阳性,而≥则降低了三分之二的HR-RISH上皮细胞。他们的Ki67也呈阳性。
HR-RISH和Ki67IHC对p16阳性温和化生和任何伴随HSIL的结果见表3。图1和图2说明了一个例子。


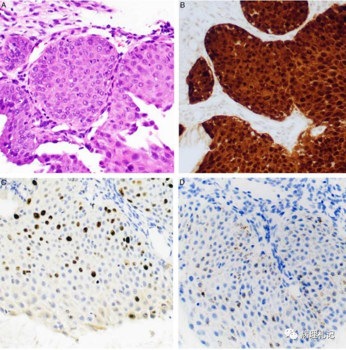
图1组织学上宫颈(A)鳞状化生(H&E)显示强烈且弥漫性阳性,p16免疫染色(B)和Ki67免疫染色(C).阳性HR-RISH阳性,涉及>50%的细胞,超过三分之二的上皮厚度(D).

图2图1所示的毗邻温和上皮化生的高级别鳞状上皮内病变(A)(H&E)的病灶,显示了相似的结果——p16免疫染色(B)和Ki67免疫染色(C).阳性的强烈和弥漫性阳性HR-RISH阳性,涉及>50%的细胞,超过三分之二的上皮厚度(D).
CK7免疫组化
15例CK7IHC检测组织充足。除1例外,其余所有温和化生灶均显示CK7全层阳性。与下半部分相比,上皮细胞的上半部分的阳性强度更强。1例温和上皮化生仅显示上半部分局灶性弱反应性,被认为为阴性。
9例患者也出现了HSIL。HSIL病灶显示CK7弥漫性阳性,与温和化生相比强度更均匀。
HPV16E2免疫组化
15例平淡化生患者有额外的组织可用于HPV16E2染色。其中9个也显示了HSIL。所有温和化生和HSIL病灶均为阴性。
CK7和HPV16E2IHC在温和的上皮化生和伴随的HSIL中的研究结果如图3和图4所示。
鳞柱连接细胞SCJ
在一个活检样本中,SCJ细胞位于温和化生和HSIL的病灶附近。这些细胞的p16呈弥漫性阳性,HR-RISH和CK7呈阳性。只有罕见的细胞核用Ki67免疫染色。本病例的发现与可识别的SCJ细胞和相邻的温和的上皮化生如图5和图6所示。
讨论:
p16INK4a(p16)肿瘤抑制蛋白是细胞周期蛋白依赖性激酶CDK4和CDK6的*制剂抑**,这些激酶参与了视网膜母细胞瘤蛋白pRb的磷酸化和失活。以其活性形式,pRb通过结合E2F家族来控制细胞周期的进程。在HPV相关的宫颈异型增生和癌症中,病毒致癌基因E7使pRb失活。pRb的这种简化功能产生了一个负反馈回路,使p16过表达。通过IHC检测到的p16的过表达已被用作高危HPV的存在和HSILs的诊断的有价值的替代物。根据LAST的建议,当H&E的形态学鉴别诊断是在HSIL及其模拟物之间,如未成熟的鳞状上皮化生、萎缩、修复上皮细胞的改变,以及切向切面。然而,也有一个值得注意的是,任何确定的p16阳性区域必须符合HSIL的H&E形态学标准,才能被重新解释。在这个越来越多的人使用p16免疫组化来描述宫颈癌前病变的时代,我们很少在组织学上温和的鳞状上皮化生中发现强的和弥漫性的p16阳性。本研究是为了了解这一发现的生物学意义,这可能有助于患者的临床管理。
通过对18种HR-HPV类型使用RNAISH,我们已经清楚地证明了在这些组织学上温和的鳞状上皮化生灶中存在具有转录活性的HPV。由于它们缺乏足够的核异型性、有丝分裂活性和结构异常,因此在形态学基础上不能将其归类为SIL。E6/E7mRNA转录本的检测与HPV16E2蛋白的缺失相结合。E2的表达与病毒的上皮状态和病毒复制的增加有关。HPVE2蛋白是E6和E7病毒致癌基因的转录抑制因子。将病毒DNA整合到宿主基因组中,导致E2开放阅读框的破坏,以及E6和E7病毒致癌基因的表达。然而,在我们的研究中缺乏HPV16E2的表达并不排除在这些温和的化生灶中存在表皮病毒,因为不能假设所有病例都存在HPV16。
在我们的研究中有10例在同一样本中同时与HSIL相关。所有HSIL病灶显示>中50%的上皮细胞有RNAISH信号,超过上皮厚度的三分之二,此外,Ki67阳性。在9例温和的上化生中发现了类似于HSIL的RNAISH模式,其中8例Ki67也呈阳性。这些发现表明,一些p16阳性的温和化生可能代表形态学上不明显的HSILs或是HSILs的直接前驱病变。重要的是,在我们的研究中,使用RNAISH的8例化生显示信号较少(仅限于<50%的上皮细胞)和/或仅限于上皮厚度的下半部分。在这8例患者中,有6例可采用Ki67进行进一步评估,其中4例为阴性。另外,8例中,7例伴有HSIL,3例为持续HSIL,1例在2个月内的组织学随访中未发现HSIL。这一数据表明,许多这些温和的化生体可能不是完全发展的HSIL,但可能有发展为HSIL的潜力。或者,这些区域可以代表一个消退的SIL。
Herfs及其同事最近的一项研究表明,宫颈SCJ处的一个独特的细胞群参与了早期SILs和晚期HPV相关肿瘤的发展。这些细胞表达的某些连接性生物标志物包括CK7、CD63、 gradient 2、鸟嘌呤脱氨酶和基质金属蛋白酶7。在与致癌性HPV相关的HSIL、原位腺癌和宫颈癌中也发现这些病毒呈阳性。在我们的研究中,除了1例p16阳性的温和上皮化生病例外,其余所有病例中CK7的弥漫性表达支持了这些病灶来自于SCJ细胞。事实上,在一个病例中,SCJ细胞显示为CK7阳性柱状细胞,与p16阳性化生和HSIL的病灶保持一致。SCJ细胞的p16和RNAISH也呈阳性,而Ki67仅呈罕见阳性,HPV16E2仅呈阴性。这些发现进一步支持了SCJ细胞在HPV相关宫颈肿瘤中的假设作用。
与我们的研究结果相似,Mirkovic和同事在10例CK7、p16ink4、HPV16E2和Ki67染色阳性的病例中发现了轻度化生异型性表面的SCJ细胞。他们确定了阳性并通过PCR证实了在这些病灶中存在E6和E7转录本。10例中有5例发现HPVL1弱表达。除了与轻度化生异型性相关的SCJ细胞外,他们还在21个SILs中的10个中检测到了SCJ细胞与非典型上皮细胞的直接连续性。后一种病例的SCJ细胞p16ink4阴性,但对HPV16E2具有免疫反应性。分离的HPV 16E2阳性被认为是HPV感染的早期阶段。
VanderMarel等人的研究主要关注AIM。使用激光捕获显微解剖结合聚合酶链反应,他们在AIM区域显示了较高的HPV阳性率-73%(29/40)HPV18,44%(4/9)HPV16和100%(1/1)其他HPV类型。他们还在少数未成熟的化生灶中发现了HPV阳性-21%(3/21)HPV18和11%(2/19)HPV16。此外,他们在他们的研究中报告了两个未成熟化生区域的p16和CK7均呈阳性。他们认为,未成熟化生细胞经高危HPV转化可能是CIN和宫颈癌发生发展的途径,其中AIM是关键步骤。
考虑到p16阳性的AIM代表HSIL,在宫颈样本中p16阳性但组织学上温和的鳞状上皮化生的临床意义是什么?考虑到55%的此类病变与伴随HSIL相关,2例患者在我们的研究中1-2个月内LEEP显示HSIL(之前未发现),我们建议这些病变应密切关注Pap和HR-HPV检测和阴道镜检查。我们不主张在宫颈样本中,任何组织学上温和的鳞状上皮化生都应该常规用p16免疫染色。值得注意的是,许多这些病灶可能并不代表完全发育的hsil,不加选择地使用p16来进一步评估它们可能导致对患者进行不必要的管理。
另一个问题是,如果我们在实践中遇到这样的p16阳性的温和上皮化生的发现,我们应该如何将其纳入病理报告?我们建议这种病变应报告为“p16阳性鳞状化生”。应包括一个解释性说明,说明样本中存在鳞状化生灶,对p16表现出强烈和弥漫性的免疫反应性,但不符合SIL的组织学标准,建议进行密切的临床随访。
我们的研究有几个局限性。在我们的研究中,我们只包括那些在病例诊断过程中显示p16阳性的温和化生灶。因此,存在选择偏倚的因素,根据我们的结果,很难评估HR HPV阳性患者宫颈样本中这一发现的真实发生率以及其确切意义。此外,我们的研究集中在组织学上温和的鳞状上皮化生,这可能很难与非典型鳞状上皮化生区分。要定义什么超过了“bland”鳞状上皮化生的界限可能是有问题的。然而,我们确保了3名妇科病理学家对纳入本研究的病例达成了共识。我们的研究涉及的病例数量有限,这反映了这一发现在病理学实践中并不常见的事实,而且我们对纳入的病例使用了严格的标准。
总之,p16阳性的组织学上温和的宫颈鳞状上皮化生具有转录活性的HR-HPV,尽管SIL的形态学变化并不明显。这些病灶可能来自SCJ细胞,并在大多数情况下表达SCJ生物标志物CK7。它们可与HSIL同时或随访相关。目前,如果单独发现,还没有足够的数据建议切除/消融这些病灶;然而,考虑到它们与HR-HPV和HSIL综合性的相关性,建议进行密切的临床随访。更大队列的研究可能有助于识别预测预后的其他生物标志物,进一步了解p16阳性的宫颈温和鳞状上皮化生的意义,并确定适当的管理。

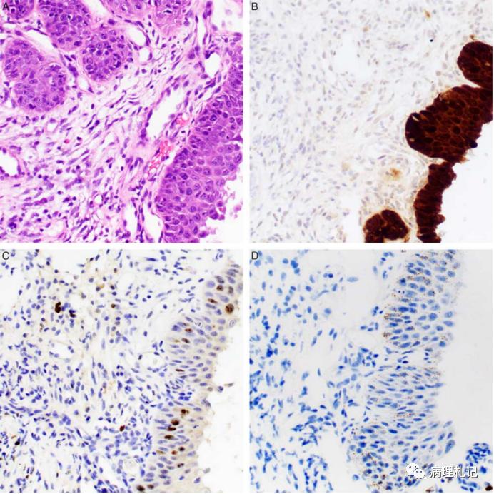
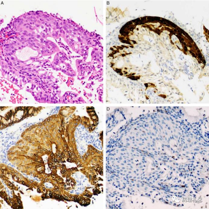
图3形态学上温和的鳞状化生(A)(H&E),p16(B)和CK7(C)染色阳性,免疫组化HPV16E2(D)染色阴性

图4图2所示,毗邻温和上皮化生的高级别鳞状上皮内病变(A)(H&E)的病灶,显示相似的结果:p16(B)和CK7(C)阳性,HPV16E2(D)阴性。

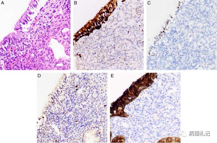
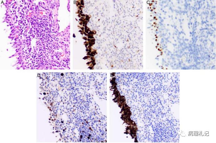
图5鳞状连接细胞SCJ(A)(H&E)免疫组化(B)显示强烈和弥漫的p16染色,HR-RISH(C)阳性,罕见的核Ki67(D)免疫反应,CK7免疫染色阳性(E)。

图6组织学上温和的鳞状上皮化生(A)(H&E)毗邻鳞状连接处细胞,表现出相似的结果:免疫组化(B)强和弥漫性p16染色,HR-RISH(C)阳性,罕见的核与Ki67(D)免疫反应,CK7免疫染色阳性(E)。