(文中含手术标本展示,请谨慎点击阅读)
手术病例分享:

某A,女性,57岁,其于12年前曾因“子宫内膜癌”行手术治疗,此后每年均规律体检复查,前段时间复查时发现右肺实性结节,报告示“右肺中叶胸膜下类结节灶,较前新见,转移可能,建议随访复查”。我们来分析一下这样的病例怎么来进行临床决策与考虑。
图片展示:

病灶出现,边缘稍偏糊

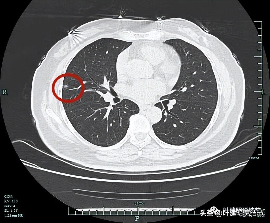
病灶有胸膜牵拉,但力度弱(蓝色箭头);轮廓较清(红色箭头);边缘有少许模糊磨玻璃影(绿色箭头);有血管走向病灶,但感觉没有进入似的(桔色箭头)。

病灶密度稍不均,与胸膜有关系,但牵拉力不太明显(蓝色箭头),病灶边缘较为光滑(红色箭头)。

病灶有磨玻璃成分(绿色箭头);表面比较平直,没有膨胀性(砖色箭头);有血管走向病灶(桔色箭头)

病灶有胸膜牵拉,力弱(蓝色箭头);边缘相对平直(砖色箭头);有血管进入(桔色箭头);整体看内部的密度感觉略低于周围(黄色箭头)。

胸膜牵拉处似乎更像毛刺(蓝色箭头),而且这毛刺显得不锐利;边缘相对平直(砖色箭头)。

微血管进入(桔色箭头),有毛刺征(紫色箭头),但毛刺略糊,不是锐利的感觉。

靠胸壁侧线条状的不太像血管,而是纤维条索样的更符合。

蓝色箭头所指确实是纤维条索的感觉,绿色箭头示边缘略偏模糊

2021年9月时此处没有异常
影像印象:
右中叶这个病灶,虽然有毛刺、血管征、胸膜牵拉等偏向恶性的征象,但却边缘相对平直、边上有条索状、密度不均而灶内中间的密度偏低,一年前此处没有异常病灶。总体上感觉更符合良性结节,恶性虽不能除外,但可能性小些。
病灶性质可能性分析:
1、良性肉芽肿性炎或慢性炎:这个最为符合,从影像特征上,从发生发展的病史上来讲,肉芽肿性炎都能解释得通。我与家属沟通时是说,此概率为6-7成;
2、原发性早期肺癌:这种可能性小些,因为影像上看缺乏膨胀性,毛刺不太锐利,有的边过于光滑。而且一年前没有的,真恶性,则是恶性程度较高的肿瘤,那样的话,应该密度更高,收缩力更强,恶性特征更典型些。所以此种概率约2-3成许;
3、子宫内膜癌转移:由于前次肿瘤手术后已经12年,随访复查均正常,现在肺内出现转移,似乎不太能够解释。而且转移瘤一般多发,圆形或类圆形实性,有时也可囊腔样结构。但毕竟有恶性肿瘤的病史,这种可能性不能完全排除。但概率应该小于10%。
是否需手术干预的利弊分析:
1、如果不手术:需要PET-CT检查或穿刺活检,但穿刺一是病灶较小,二是穿了是炎性,仍不能除外肿瘤;是恶性仍要手术,个人不太推荐,这么周围的部分,还不如直接单孔胸腔镜下切除更干脆、方便、简单。而且因为病灶实性,又有肿瘤病史,需不断随访复查,也承受较大的思想压力;
2、如果手术:假定最后结果是良性的肉芽肿性炎,手术去除病灶,解除思想压力,不必定期复查动态对比,兼具诊断与治疗双重作用;假定最后是原发早期肺癌,手术干预是最好的治疗手段;假定最后是子宫内膜癌转移,孤立性的转移灶,如此优势,方便局部切除的部位,手术同样是非常值得考虑的选择,而且能明确诊断,并指导后续全身性的综合治疗。我的想法是不论最后是什么,手术都是利大于弊。
3、手术创伤的考虑:如果术中病理是良性或转移性,均楔形切除就够,手术时间5分钟(胸内操作时间),切口2-3厘米,不需要放置胸管,术后1-2天即可出院,住院费用在2万左右,对肺功能几乎没什么明显影响;如果是原发早期肺癌,需要肺叶切除并清扫淋巴结,那也是最佳的治疗方案,微创单孔切除,恢复也快,风险也小。
最后结果:
经过与患者本人以及家属的充分沟通,同意手术治疗。手术组经过术前准备,为其进行“单孔胸腔镜下右肺楔形切除(视术中情况可能升级肺叶切除加淋巴结清扫)”。术中发现病灶处胸膜皱缩非常明显。术前觉得6-7成是肉芽肿性炎,术中觉得几乎可肯定是恶性的,就如下图这样的表现:

表面皱缩如此明显,说明病灶质硬,收缩力并不弱而是强的。所以术中我觉得9成以上恶性的,早期肺癌,原发的。但剖开标本后,又再次颠覆我的想法了,因为它是如下面这样的:

切面灰白,感觉比较湿润,关键是灶内黄色箭头所指处有干酪样物质(干酪样坏死),这一般就是肉芽肿性炎,也与术前影像上病灶中间的密度感觉偏低些是符合的。最后病理报告如下:

后续问题:
术前某A做了头颅MRI平扫,有下面的结论:

左侧枕叶小结节状异常信号影,转移待排,建议增强MRI进一步检查。其实回头来看,如果肺内病灶是转移性的,那么头颅内的异常信号也真要同样考虑转移性的可能性大;而现在肺内是肉芽肿性炎,那么颅内病灶也不太可能是转移瘤。肺叶病灶的明确诊断,也有助于颅内病灶的定性的。当然增强做下也是可以的。
感悟:
1、有肿瘤病史者,肺内新发现病灶,是否要考虑为转移一是要与病史长短相结合;二是与病灶影像特征相结合;三是有否多发病灶相结合。综合来评估考虑;
2、肺结节是否要干预,我一直强调的是以风险大小来考虑,而不要过于纠结最后病灶结果。如此例,虽然术*考前**虑良性可能性更大,但一旦落在可能性较小的恶性范畴内,随访显然是要延误病情的,而即使良性,单孔楔切的创伤,同时去除了病灶,也是利大于弊的;
3、病理为王永远是王道。此例术*考前**虑良性可能性大,术中见到病灶的样子后考虑恶性可能性大,剖开后又考虑良性可能性大。说明良恶性即使肉眼直接观察也是难以认定的,有一定风险的或可能存在较大风险的结节,取得病理结果才是最佳的。

(此处已添加医疗卡片,请到*今条头日**客户端查看)