helen榻跨 (Helen榻跨涓績)

智齿是不是非拔不可?

有些人觉得多长几颗牙不是挺好的嘛,没必要拔掉。

一般来说,如果智齿长的位置比较端正,也没有影响到其他牙齿,没有疼痛不适,那或许可以不拔,不过一般最终需要口腔医生临床检查确定。

Helen榻跨涓績,helen榻跨

图片来源网络

但有些智齿一定要拔,放任不管会带来很大的危害。比如以下几种——

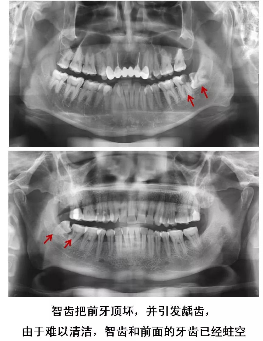
1、易患龋齿的智齿

智齿因为长在最里面,平时刷牙时容易被忽视,也很难清洁到位,经常会发生蛀牙,可能还会牵连邻牙。

Helen榻跨涓績,helen榻跨

图片来源:作者提供

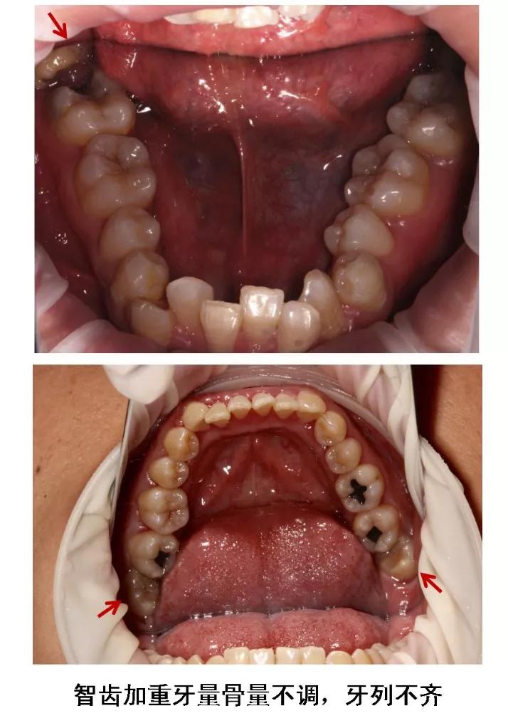
2、长歪的阻生智齿

当智齿没有足够空间生长,脱离“轨道”,与邻牙之间产生缝隙,容易嵌塞食物,滋生细菌,引起蛀牙。

Helen榻跨涓績,helen榻跨

图片来源:作者提供

或是智齿生长的方向正好顶住邻牙,时间久了不仅会把邻牙顶坏,龋坏进一步发展会造成牙髓炎。

Helen榻跨涓績,helen榻跨

图片来源:作者提供

3、无法完全萌出的智齿

智齿萌出不全,上面覆盖一圈牙龈,会形成一个无法清洁的“口袋”,叫做盲袋。

Helen榻跨涓績,helen榻跨

图片来源:作者提供

食物残渣和细菌会进入这个口袋,这样的智齿冠周一般有慢性炎症,临床上称为“智齿冠周炎”。严重的还可能引起“路德威式咽峡炎”危及生命!

4、经常会发炎肿痛的智齿

最好也要拔除,尤其在女性备孕前,需要及时处理,怀孕期间黄体酮升高,牙龈炎症会急速进展,严重会引起骨髓炎。

5、没有对颌牙的智齿

这种智齿不能与对颌牙齿建立正常咬合关系,长时间可导致颞下颌关节弹响、张口疼痛、夜磨牙等。没有对颌牙的智齿还会伸长,智齿和邻牙间容易食物嵌塞,并导致邻接面龋。

Helen榻跨涓績,helen榻跨

图片来源:作者提供

6、牙齿需要矫正,以及在12-16岁做过矫正的小朋友,需要根据正畸医生的建议,及时拔除智齿,以获得完美的牙列和脸型!

Helen榻跨涓績,helen榻跨

图片来源:作者提供

大家惧怕拔除智齿,是因为听说过程很恐怖,扳子钳子刀子剪子榔头都要用上,而且脸会肿很大,还会“血流不止”。

其实现在有无痛麻醉、微创拔牙等,基本不影响正常的工作和生活。

拔牙后有什么注意事项?

从我工作开始,我的每一位拔牙患者,都是留院观察30分钟后,由我或护师,取出纱布,观察伤口出血情况,宣读拔牙后注意事项,并做相应处理之后才可以离开医院。严格地说,纱布不可以让患者吐出,吐纱布的过程,难免会带出伤口内血块,影响伤口愈合,甚至引起感染和干槽症!

拔牙后注意事项

  1. 拔牙后半小时把纱布取出,注意,不可以吐出。
  2. 拔牙后2小时可以喝水进食,吃凉软的食物,当日不用患侧咀嚼。喝汤时用勺子,勿用吸管。
  3. 48小时内建议含冰块配合冰敷,48小时候热敷。
  4. 拔牙当日不刷牙不漱口,不舔吮伤口,不用患侧咀嚼。
  5. 所有口水咽下,不可吐出。
  6. 当日避免剧烈运动,不喝酒不吃活血药。
  7. 如果伤口有缝合,一周后拆线。
  8. 如有必要服用抗生素,拔牙前半小时服用,首剂加倍,服满5天。
  9. 女性拔牙要避开生理期。

除上述阐述外,再强调下,我们多有术后喝汤进补的习俗,因为嘴巴疼,张不开,有人拿吸管喝,那是很错误的!会引起出血!所以喝汤请用汤勺!

本文为牙医Helen(黄璐医生)原创,如需转载请与作者联系,授权后转载需注明出处,违者必究。