◎本刊主笔 季天也
放射性医疗也称核医疗,它让人又爱又恨,因为其放出的电离辐射既能“治病”又能“致病”。对此,有的人谨小慎微,生怕因为辐射落下病根,但是却有可能贻误了体内更大的病情隐患;有的人心很大,每年来来回回做放射性医疗检查,说不准没病也给辐射出毛病了。那么,常见的放射性医疗手段都有哪些?它们带给人的辐射剂量是否安全呢?

使用CT设备诊病受到的辐射较高,应慎重权衡诊断的风险与收益。
所谓的核医疗,就是利用原子核的“放射性”属性来诊病治病的医学技术,具体分为核医学、放射源治疗、放射免疫分析以及放射诊断学。
-
把辐射吃进肚里的体检
“核医学”是医学和医学影像学(医学成像)的一个分支,目的是利用原子核的特性来反映细胞或亚细胞层面的生理状态。它的原理和操作听起来比较恐怖:把带有放射性核素的药物以口服、吸入或静脉注射的方式送入人体,过一阵它们会结合到某种人体内具有特定作用的物质上,这种物质被称为“示踪剂”。当出现某些病理反应时,示踪剂在体内的分布或代谢就会比较反常。继而用专门的探测仪在体外对放射性物质所发出的电离辐射(一般为γ射线,其特性详见《环境与生活》2016年6月号《十面埋“辐”你知多少》一文)进行扫描,获得患处的影像和数据,以此分析病情。当然,这个放射性核素的含量极少,只需要满足探测要求就够了。
我国国家药品标准收载的36种放射*药性**品全都由14种放射性核素制备,分别是磷-32、铬-51、镓-67、碘-123、碘-125、碘-131、碘-132、铯-131、氙-133、镱-169、金-198、汞-203、锝-99m、铟-133m。

放射性碘化钠-131胶囊,用于治疗甲状腺癌。
-
放疗后患者自带辐射?
“放射源治疗”即平时所说的放疗(香港也称“电疗”),就是通过放射线照射病灶或肿瘤细胞。它治癌的机制和“致癌”一样:因为放射线能量很高,比原子核同周围电子的结合力还要大,使一些电子摆脱了原子核的束缚而逃离,这个过程叫做电离。人和其他生物的基本组成单位都是原子。放射性的电离作用可以破坏体内各种生物大分子的结构,特别是细胞膜、DNA、重要的代谢酶、关键蛋白质等具有重要生理功能的物质。
这个原理对正常细胞和肿瘤细胞都是一样的,只不过肿瘤细胞的扩张速度十分野蛮,受到的*伤杀**也就更大。射线摧毁它的DNA,也就切断了它的繁殖和生长。

肺癌的近距离治疗示意图
放射疗法有近距离治疗(体内)和远距离治疗(体外)之分。近距离治疗是将放射源放在肿瘤病灶处,以便近距离高强度“扑杀”肿瘤。由于辐射量衰减很快,所以瞄准的肿瘤细胞会受到最强的辐射,而周围正常组织的受照剂量会相对安全,符合辐射安全原则中“不必要的照射越少越好”的理念。这招被广泛应用于治疗宫颈癌、前列腺癌、乳腺癌和皮肤癌。远距离治疗是用放射线治疗仪在距离人体10厘米以上的位置,集中照射病变部位,放射线经皮肤穿入体内,适用性广。绝大多数放疗都是远距离治疗。

远距离治疗(体外)是用X射线在距离人体10厘米以上的位置,集中照射病变部位。图为体外放疗治疗脑部肿瘤

远距离放射性治疗所用的设备
需要注意的是,如果是采用“永久性近距离治疗”,放射源在治疗后仍然会停留在人体内一段时间。当然,这种辐射量通常只能影响到放射源(肿瘤部位)附近几毫米远的组织,并且辐射水平随着时间推移快速下降。为了保险起见,部分接受永久性近距离治疗的患者会被告知在治疗后的短期内,不要近距离接触小孩或孕妇。如果是短期近距离治疗和远距离治疗,治疗结束后没有放射源存留在体内,同时辐射是一种即时能量,离开放射源就会随之消失,患者就不会因此对身边的人造成额外的辐射。
-
辐射单位要认准希沃特
“放射免疫分析”则是将放射性同位素标记在抗原或抗体上,通过免疫反应对超微量物质进行体外检测的技术。说白了就是用放射性同位素给待测的微量物质——如激素、蛋白、抗原及抗体等打上标记,相当于给它植入了*位器定**,就可以在体外靠免疫反应技术来追踪和分析待测微量物质的活性和含量了。由于这种检测技术并不会让患者直接接触到电离辐射,在此就不展开介绍啦。
“放射诊断学”应该是大家最熟悉的了,它的代表就是我们经常接触的X光片。X射线在物质中的穿透力具有“欺小怕大”的特点,材质的密度越大、组成该材质的原子个头越大,穿透力就越差。人体软组织密度轻,几乎全部由较小原子组成,对X射线的阻挡能力微乎其微,而富集钙的骨骼结构密度相对大,阻挡能力就强一些。X射线透视检查就是利用这一点,让我们看到了一副“清秀”的人体骨架和乘客箱包里的秘密。
有人把核医疗比作金庸小说中的奇功“七伤拳”——既伤敌又损己。那么为了打死某个敌害值不值得“损己”呢?值得损多少“己”呢?了解各种放射性诊疗手段的辐射剂量是很有必要的。
先来认识一下放射防护标准所用的防护评价量——全身有效剂量,其国际制单位用符号Sv表示,它是核科学家Sievert英文名字的缩写。至于它的中文译名,我们平时会见到N多种版本,比如希/希沃特、希伏、西弗……但据环保部官网资料,希沃特才是官方唯一“正版”译名,简称“希”,这一点从1980年就已经确定了。
希是个很大的单位,短期内只要受到0.4希的电离辐射就会出现皮炎、脱发、白细胞减少等急性放射性中毒症状,超过2希就有致命危险,8希就达到“司命之所属”的明确致死剂量了。所以为了计量方便,常用的单位是毫希、微希(1希=1000毫希;1毫希=1000微希)以及雷姆(rem,1雷姆=10毫希)。
由于宇宙射线和天然放射性元素几乎无处不在,我们每天都会暴露在天然本底辐射之下,人一年下来接受天然辐射的剂量之和平均是2.4毫希,外加0.6毫希放射性医学检查的辐射剂量。国际放射防护委员会指出,除了这些剂量外,普通公众(非辐射相关工作人员)额外受到的全身有效剂量,每年不应超过1毫希。
CT辐射最高 胸透基本取消
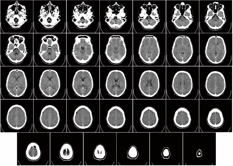
在我们日常能接触到的放射性检查中,CT(计算机断层扫描)类成像的辐射剂量最高。CT是一种三维放射线医学影像,主要通过单一轴面的X射线旋转照射人体。由于不同的组织对X射线的吸收(阻挡)能力不同,可以用电脑的三维技术重建出断层面影像,将所有断层影像层层堆叠,就形成了立体影像。这种技术优点在于影像分辨率高,可以全面而完整地观察到患处的情况,但也带来了不容忽视的受照剂量,个个都是“毫希级”的。一次盆腔CT带给人体的有效剂量达20毫希,心血管CT为9~12毫希、结肠镜CT为6~11毫希、胸部CT为7~8毫希、头部CT为1~2毫希。除了头部CT外,其他都已经明显超出了一年的平均剂量。

一次脑部CT成像大约贡献1~2毫希辐射
“核医学科”的检查项目,如各种SPECT(单光子发射计算机断层成像)以及知名度极高的PET-CT(正电子发射断层成像),由于需要通过放射*药性**物从体内发射γ射线来成像,单次辐射剂量也可达到毫希级。其中PET-CT可达20~25毫希,但好处是明显提高诊断的准确性、灵敏度及特异性。和这两大类相比,普通X光片的辐射剂量往往是“微希级”,比如手臂X光片和骨密度检查为1微希,牙齿X光片为5微希,乳腺X光片为400微希。
这里要留意,胸部X光片和胸透并不是一回事儿。X光片每次用时0.15~0.3秒左右,只是拍一张静态照片,辐射剂量大约为20~40微希。做完后,医生会出一张黑白阴影的X光胶片,患者需要花二三十分钟等这张胶片成形后取走。而胸透是用同样的X射线采集患者胸腔内实时的动态图像,可以看到呼吸起伏和心脏跳动,中途还可能需要患者调整站姿方位来确保观测清晰,每次持续照射十几秒到几十秒,对患者的有效受照剂量可超过1毫希,是胸部X光片的几十倍。
简单来说,胸透是让患者在X射线下来回检查,可以在透视的情况下看到病人的呼吸起伏、心脏跳动。做胸透没有胶片,医生会直接根据看到的透视情况写一段文字描述病情,一般立刻出结果。因为胸透的辐射剂量较大、影像效果清晰度有限且无法保留,并不利于后期治疗的诊断参考,北京的三甲医院基本已经取消了这个项目,更多的是使用基础的X光片和深度的CT检查。
值得注意的还有,核磁共振(MRI)和B超是没有辐射的。

超声检查不属于放射性诊疗设备,没有电离辐射。
-
辐射检查要有“正当性”
电离辐射对生物体的伤害有随机性效应(Stochastic effect)和确定性效应(Deterministic effect)两种。
随机性效应是指辐射效应的发生几率(非严重程度)与剂量相关,对电离辐射来说主要指致癌效应和遗传效应。就是说只要有辐射就存在这两方面的健康风险,没有确切的安全剂量——辐射剂量越高,癌变和致畸/致突变的概率就越大,但它们的严重程度却又和辐射剂量的多少无关。
确定性效应是指辐射造成损伤的严重程度取决于所受剂量的大小。这种效应的特点就是有一个明确的剂量阈值,超过这个值就必然能见到有害效应,而且剂量越大越严重,如放射性皮肤损伤、白内障、造血功能障碍以及不育,而低于该值则不足以造成这种危害。
在不同的医院进行相同操作的放射性医疗检查,给病人造成的照射剂量有可能会有很大不同。照射时长、设备新旧(技术老旧的仪器辐射量可能更高)以及对患者的防护措施都是重要的影响因素。
医生在开出放射检查单时应该特别慎重,按照国际上电离辐射防护的基本原则,需要考虑到接受电离辐射照射的正当性和防护最优化。这里的正当性是指:在没有替代诊断方法时,选用放射性检查给诊治带来的好处要大于危害;防护最优化是让病人在最优化的防护状态下,以尽可能小的受照剂量得到最好的检查效果。

装有放射*药性**物的静脉注射液
-
用量少、效果好是趋势
随着CT断层扫描检查等新技术的使用日益普及,公众接触医疗辐射的机会和剂量都在逐年增加。重视公众及患者的辐射防护,防止和减少放射检查技术被滥用,不仅是医生和医院管理工作者的重要职责,我们每一个人也应该对各类核医疗手段的辐射水平心中有数,加强防护意识。

做放射性诊疗时,医护人员和患者都需要穿戴厚重的铅衣,以屏蔽不必要的辐射。
今天的核医学领域采用的放射性装置,大多是通过β射线、γ射线和X射线进行诊疗,而很少采用α放射源。这是因为α射线(即氦原子核)的电离能力极强,它带给生物体的有效辐射剂量相当于等量γ射线和X射线的20倍。但在还没能量产X射线和γ射线放射源的20世纪早期,用α放射源诊病治病是普遍现象。随着技术的进步,以更少的辐射实现同样甚至更好的诊疗效果,是核医疗领域的大势所趋。(转载请注明转自《环境与生活》杂志)
责编:季天也
网编:吴燕芳