导语:鞍结节脑膜瘤的发病原因还不太清楚,此病一般会出现骨质增生,以及视力障碍,垂体障碍等。病因一般认为和环境因素,以及病毒感染等有关。治疗方法主要是手术治疗。

一、鞍结节脑膜瘤,主要的病因是什么?此病的发病机制如何?
1、发病原因
鞍结节脑膜瘤的发病原因不明。这一现象被认为与内部环境的改变和基因变异有关,但是并不是单一的因素导致,病毒感染,自身免疫,放射治疗等都可能导致此病。
2、发病机制
鞍结节膜瘤以球形为主,与脑组织边界清晰。肿块呈浓密的灰色或暗红色,有时呈砂状。恶性肿瘤以出血、坏死为主;蝶坪上的鞍结节及邻近的骨质增生,有时鞍背骨变薄或吸收。
二、鞍结节脑膜瘤,主要的早期症状有视力,视野障碍,以及头痛等
1、视力、视野障碍
最常见的症状为鞍结节膜瘤。近80%的病人都有视力和视野的改变,并有80%以上的病人是首发症状。视网膜损伤进展缓慢,持续数月或数年。单侧视觉损害占55%,单侧视觉损害占55%,后对侧视神经压迫和视交叉损害占45%,其中双眼视觉损害和双眼视觉损害占45%,最终导致失明。但是,双眼视力或视野的变化往往是不对称、不规则的,少数病人一眼失明,另一眼正常。这类病人通常首先诊断为眼睛。另外,由于视神经、视神经交叉受压,眼底的原发性视盘经常萎缩,高达80%。后期,由于颅内压升高,还会出现继发性眼底水肿。

2、头痛
通常在早期出现这种症状半数以上有头痛史。大多数病人有额颞眶区域间歇痛,但不严重。头颅压升高,头痛加重,并伴有呕吐,常在夜间和清晨发作。
3、垂体和丘脑下部功能障碍
垂体内分泌功能紊乱和下丘脑损伤的症状是罕见的,但当肿瘤长大后压迫垂体时,还可以出现垂体功能紊乱的症状,如衰弱、阳痿或闭经;在目前丘脑受累的情况下,还会出现多饮、多尿、肥胖和嗜睡。
4、邻近结构受累症状
嗅道受影响时,嗅道的一侧或两侧就会消失。前额叶受累时,可出现精神症状,如嗜睡,失忆,焦虑。海绵窦受压可导致眼动麻痹和眼球突出。

5、颅内压增高症状
到了肿瘤晚期,由于肿瘤扩大或肿瘤进入第三脑室,导致室间孔梗阻,导致脑积水。其主要症状是头痛,呕吐等,
6、其他
由于缺乏特异症状和体征,早期很难检测到鞍结节脑膜瘤。所以,当成人出现进行性视力障碍,单侧或双侧颞偏盲,头痛,眼底原发性视神经萎缩,或福斯特肯尼迪综合征时,应该考虑到鞍结节脑膜瘤的可能性。影像学检查是诊断的主要依据。

三、鞍结节脑膜瘤,主要的检查方法有CT检查,以及头部DSA检查等
1、头部CT检查
在鞍区附近表现为均匀的、略微高密度或等密度肿块,边界清楚,底面宽,与硬脑膜或颅内板相连,局部颅内有增生。
2、头部CTA(CT血管造影)检查
明确肿瘤血肿与双侧颈内动脉,脑中动脉,脑前动脉的关系。
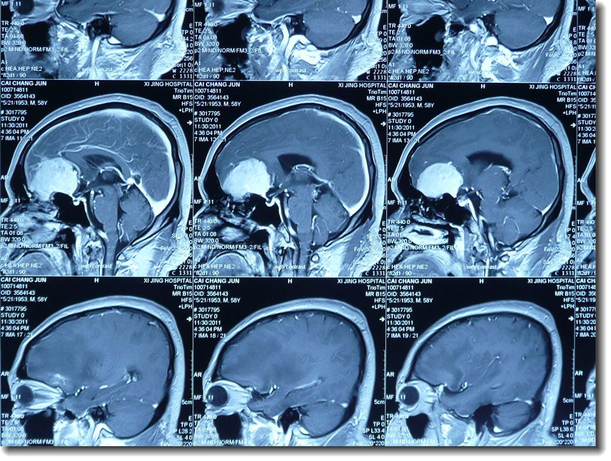
3、头部MRI(磁共振成像)检查
T1WI为等或略低信号,T2WI为等或略高信号。强化扫描显示,多数病灶鞍区、颈内动脉周围及大脑中动脉均有明显强化。该肿瘤附在蝶窦平台,视交叉沟和硬脑膜鞍结节上,且基底较宽。鼠尾征有特征性,可见于硬脑膜。

4、头部DSA(数字减影血管造影)检查
前、后视镜下有典型的日晒征象,血供动脉多为眼动脉分支筛后动脉,颈、脑前动脉常受压移位。
四、鞍结节脑膜瘤,主要的诊断方法有哪些?需要和哪些疾病进行鉴别诊断?
1、诊断方法
出现以上典型症状或长期头痛,成人癫痫,精神障碍,眼底视乳头水肿者,应考虑本病可能发生。
2、鉴别诊断
鞍结节脑膜瘤与下列疾病的鉴别
(1)垂体腺瘤
主要症状为垂体内分泌失调。超过70%的患者有内分泌紊乱,超过50%的患者以此为首发症状。早期视神经受压,视野缺损是主要原因,视力无明显改变。大约有97%的病人出现了蝶鞍增大,变形和骨质破坏。

(2)颅咽管瘤
在所有病人中,有66%~74%病人鞍部和/或鞍部钙化,尤其是蛋壳钙化,具有较高的诊断价值。
(3)视交叉部蛛网膜炎
视觉减退缓慢,症状常减轻,视野异常,鞍区正常,鞍结节附近无骨质增生和破坏, CT扫描未见肿块影。
(4)球后视神经炎
急性起病,双眼常失明,进展快,多向心视野狭窄,非手术治疗效果显著。在 CT检查中无蝶鞍肿大,内分泌紊乱,蝶鞍占位。

3、并发症
(1)视神经、视交叉损伤
该病为鞍结节脑膜瘤的常见并发症。除了直接的损伤外,视网膜的血管损伤也是造成术后视力丧失甚至失明的原因。手术切开显微镜下观察,仔细鉴别视神经、颈内动脉及动眼神经,并加以保护。
(2)颈内动脉及其分支损伤
如果是直视下手术,如怀疑有脑血管痉挛,脑梗死,早期应用尼莫地平可以起到一定的防治作用。
(3)动眼神经损伤
在动眼神经与肿瘤相邻时,神经的分离和牵拉常导致手术后暂时的动眼神经瘫痪。
(4)垂体柄及丘脑下部损伤
如有暂时或永久的尿崩症或其他内分泌疾病,应酌情给予垂体后叶素、长效尿崩症等激素治疗。
(5)癫痫发作
手术后应用抗癫痫药物,特别是术前。

4、治疗方法
(1)手术治疗
术中主要采用单侧额入路或双侧翼内侧入路。电凝硬脑膜可向肿瘤供血,并与硬脑膜分离;肿瘤切除后,可从肿瘤中心向外减压;肿瘤沿蛛网膜间隙与周围分离。
(2)术后注意事项
颅底重要血管的包扎、压迫及移位等。放射治疗是立体定向手术的最佳选择。

结语:此病的病理类型主要为血管内皮细胞、成纤维细胞、砂粒细胞等。恶性肿瘤及脑膜肉瘤不常见。最近,分子生物学研究证实,最常见的脑膜瘤是染色体上22个基因缺失。此病的主要治疗方法是手术治疗。