
一、脐带水肿
脐带水肿很少单独发生,多是胎儿水肿的并发表现。超声显像检查除显示胎儿水肿外,可以发现胎儿脐带明显增粗。因为水肿主要发生在脐带血管外华通胶内,故超声显像检查显示脐带血管回声无明显异常改变,血管外的脐带间质明显变厚,脐带直径明显增大,羊膜表面张力增加。
二、脐带异常附着
在胚胎发育早期脐带几乎均附着于胎盘中心位置;在胎盘发育过程中,由于灌注的不均匀性导致蜕膜发育不同;脐带向营养充足的区域生长,引起脐带附着点偏移。90%以上的脐带附着于胎盘中心及其附近稍偏一些的位置。严重的脐带异常附着主要见于脐带边缘附着和脐带帆状附着(图1),发生率分别为7%和1%,但在双胎妊娠中脐带帆状附着的发生率可达12%,并有9%的脐带帆状附着合并单脐动脉。已经发现在早产的病例中,边缘附着的发生率相对较高。脐带的偏心附着多无临床意义,但帆状附着时由于脐带血管远离开胎盘边缘而仅被羊膜包绕,缺少华通胶的保护,经过子宫颈内口时可以形成血管前置,并且容易发生血管破裂,致使胎儿血液外流,严重时危及胎儿生命。多胎妊娠时帆状附着的发生率明显增高,胎儿异常及畸形的发生率似乎也有所增加。

图1脐带异常附着示意图
超声显像检查及彩色多普勒血流显像检查均可能对脐带边缘附着和脐带帆状附着做出诊断。
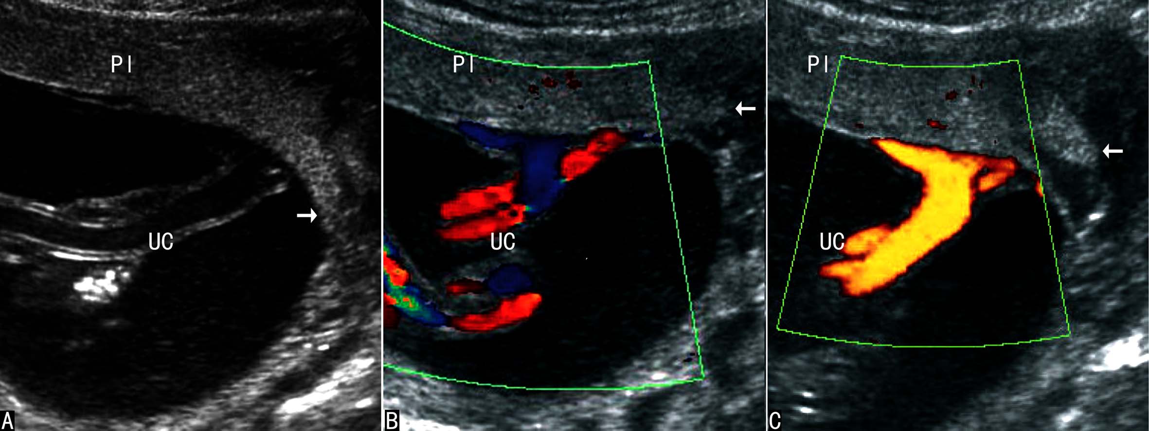
脐带边缘附着时超声显像检查可以发现脐带附着于胎盘边缘,一般以距边缘≤2cm为诊断标准;脐带进入胎盘前脐带血管维持正常的绞合状态,脐带结构和血流多不受影响(图2)。当脐带血管进入胎盘以前已经失去正常的绞合状态则形成脐带帆状附着,脐带血管分离后其周围无胎盘组织显示。彩色多普勒血流显像及三维超声显像检查可以显示脐带附着处的血流及其空间结构,更有利于显示脐带血管与胎盘的关系,有利于显示脐带帆状附着(图3)。
在晚期妊娠过程中,由于羊水量相对减少,胎体在羊膜腔内占据的空间比较大,常常影响脐带根部的显示和胎盘的完整显示;在中期妊娠过程中,羊水量相对较多,尤其是能够通过孕妇体位的改变将胎体和胎盘子体面分开,在羊水无回声区内多可清晰地显示胎盘回声,显示脐带根部与胎盘的关系即可明确脐带的附着部位,观察脐带根部的血管回声状况可以辨别脐带边缘附着(图2)和脐带帆状附着(图3)。彩色多普勒血流显像可以明确地显示脐带血管及血管与胎盘的关系,多普勒能量图显示不受血流方向和速度的影响,对脐带血管和胎盘血管的显示更有利,对边缘附着和帆状附着的诊断会更有意义。

图2脐带边缘附着

图3脐带帆状附着
对于晚期妊娠阴道流血合并胎心异常的孕妇,如果发现阴道出血与胎心的改变不一致,明显的胎心改变非阴道流血所能解释时,应高度怀疑脐带血管帆状附着、血管前置破裂的可能。如果能在分娩前、血管未破裂时明确诊断并进行及时的处理,可明显地改善胎儿的存活率和生存情况。在超声显像检查和超声多普勒检查不能明确本病时,阴道流血血型鉴定、羊膜镜检查和红细胞碱耐力试验以及流出血液的镜检对鉴别胎血和母血均有重要的价值,借此明确帆状附着、前置血管破裂的诊断。
三、脐带打结
脐带打结和脐带的发育异常有关。脐动脉和脐静脉长度不相称或脐带血管长于脐带被膜,较长的脐带血管在脐带内迂曲、扭曲,形成脐带假结;如果脐带过长,绕体后胎儿穿过脐带环则可形成脐带真结。在单胎妊娠中,真结的发生率约1%,单绒毛膜单羊膜双胎妊娠时其发生率可能更高些。脐带假结一般无临床意义,较松弛的脐带真结也不会影响胎儿发育,一旦拉紧则引起不可逆的胎儿缺血、缺氧,引起胎儿死亡。
单纯超声显像检查不能明确脐带打结的诊断,利用超声多普勒血流显像检查显示迂曲的血流及其较高的流速对脐带打结的诊断会有一定的帮助,实时三维超声显像检查有可能显示脐带打结。频谱多普勒检查显示脐动脉血流有受压的表现,S/D增高。胎儿缺氧而超声显像检查及临床资料不能发现明确原因时应注意对脐带的追踪扫查,发现聚集的脐带后以三维成像有时可以发现脐带打结。
四、脐带螺旋异常
正常脐带静脉和脐带动脉呈螺旋状,形成脐带螺旋的确切原因还不清楚。但正常的脐带螺旋状态对维持胎儿运动时正常血液循环、承受一定的拉力有重要的意义。脐带螺旋可以是左旋或右旋,一般认为左旋比右旋常见,有统计左旋是右旋的7倍。可以使用每厘米长度的脐带螺旋数目——脐带螺旋指数评价脐带螺旋的程度(图4)。但不同的研究获得的螺旋指数参考值差异较大。Strong等报道的正常UCI均值为(0.21±0.07)(SD)/cm;Degani等报道为(0.44± 0.11/)cm;而van Diik等获得的UCI均值为(0.17±0.009)/cm;Coetzee AJ等对双胎妊娠进行了观察,60例单绒毛膜的UCI是0.55/cm,148例双绒毛膜双胎的UCI是0.49 /cm。

图4脐带螺旋指数计算
超声显像检查可通过测量脐带纵轴切面上两个螺旋之间的距离来计算螺旋指数,评价脐带螺旋稀少或脐带螺旋过度(图5)。超声多普勒血流显像检查时脐带过度螺旋显示血管绞合明显,脐带血管内径缩小、血流加速;螺旋稀少时显示脐带血管平直,绞合稀少。频谱多普勒检查可以对脐带动脉的血流进行评价。

图5脐带螺旋异常
目前还不清楚脐带螺旋异常是某些异常的病因或结果或互为因果。已经发现脐带螺旋异常与小于胎龄儿和出生时胎儿状况异常的发生率增加相关。脐带螺旋稀少与胎儿死亡、分娩时胎心减速、剖宫产时胎儿呼吸窘迫、胎儿结构和染色体异常、绒毛膜羊膜炎等相关。脐带过度螺旋与胎儿发育迟缓、分娩时胎心减速、血管栓塞和血管狭窄发生率增加相关。但可以确定的是脐带螺旋异常是缓慢状态,可能引起胎儿慢性(发育迟缓)和急性(胎儿不能耐受分娩或和胎儿死亡)病变。
脐带过度螺旋需要与脐静脉曲张鉴别。脐静脉曲张可发生在腹腔内或胎儿体外的脐静脉部分(图6)。胎儿外的脐静脉曲张可能继发于栓塞的血管异常。有报道称胎儿腹腔内脐静脉曲张与胎儿畸形和死亡有一定的关系,但这个观点仍未得到认同。

图6脐带静脉曲张
五、脐带肿瘤
脐带肿瘤罕见,至今文献报道不多。已经发现的有脐带囊肿、血管瘤、脐带肉瘤、畸胎瘤、黏液瘤等。脐动脉瘤可发生破裂,或发生夹层、栓子等,导致胎儿血供异常。
超声显像检查时脐带肿瘤显示为脐带的局限性异常回声,瘤体的性质不同其回声可有较大的差异,以瘤体内部回声可以确定其实性病变或囊性病变,并且可以根据瘤体的形态、内部回声等区分其性质。脐带血管瘤显示为高回声或囊状回声,单发或多发,常位于靠近胎盘的脐带根部,局部脐带血管没有明显变化或显示受压、移位征象,严重时可有脐带血流的异常。检查时需要注意有时脐带肿瘤可以诱发脐带扭转。
常规超声显像检查显示脐带占位性病变的超声回声特点以及脐带血管的血流情况可能帮助评价脐带局部病变并指导临床处理。中晚孕期间脐带囊肿与胎儿异常和畸形的常有一定的相关性,但也有可能是脐尿管的残迹,需要注意仔细检查脐带根部及胎儿腹腔,或可发现或排除胃肠道或泌尿生殖道畸形。有时脐带的局部华通胶缺失或退行性变可以形成假性脐带囊肿,超声显像检查无法做出明确诊断;脐带打结或扭转时可诱发脐静脉出血,局限性后与血管瘤难以鉴别。
六、持续性右脐静脉
胚胎4周末右脐静脉开始闭锁,第7周时消失,形成正常的左脐静脉循环(图7A)。如右脐静脉不闭锁退化而左脐静脉闭锁,右脐静脉经过肝脏与静脉导管相连进入静脉导管,或绕过肝脏直接与下腔静脉或右心房相连(图7B),形成持续性右脐静脉7。在Hill等1994年进行的回顾性分析中,在15237例产科超声检查中发现了33例PRUV,产前超声检查显示率为0.21%(1:476);其中有18.2%(6/33)的伴有严重的先天性发育异常;在另一篇研究报道中,研究者在低风险胎儿中发现PRUV为1:526,其中17例胎儿合并其他部位的畸形,包括无脑儿、复杂性心脏畸形、双侧唇裂、孤立肾、单脐动脉等。

图7 持续性右脐静脉示意图
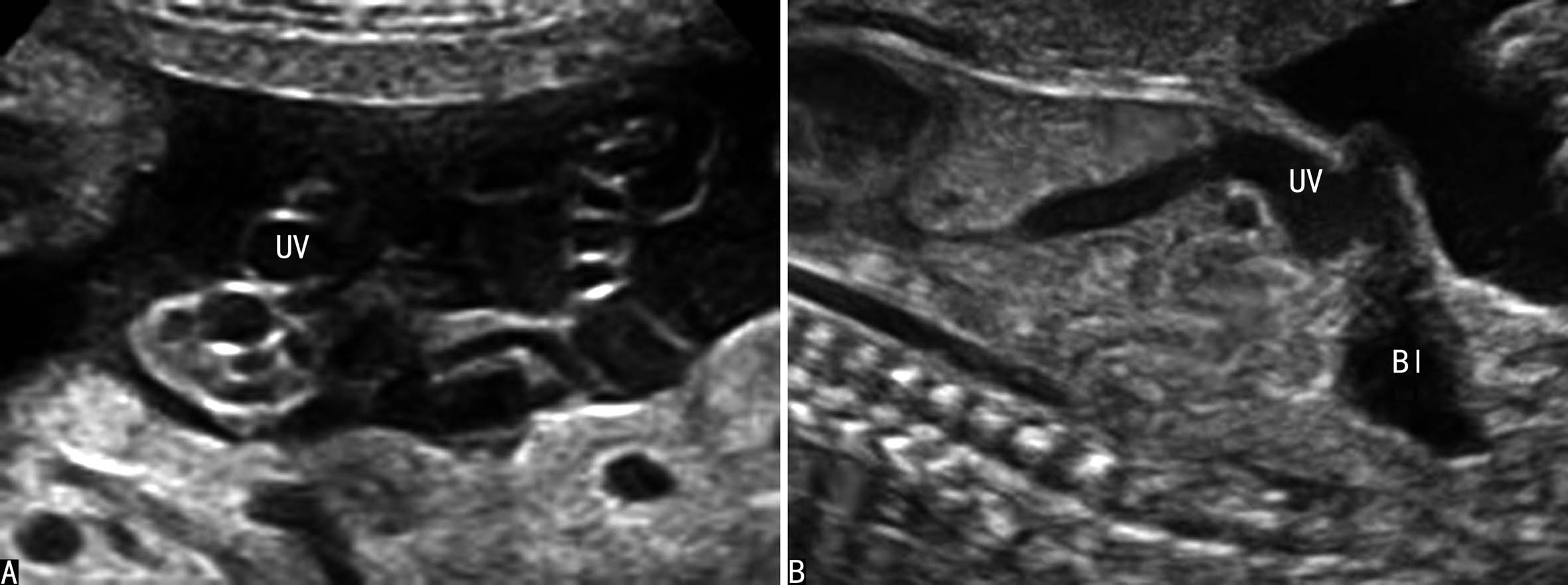
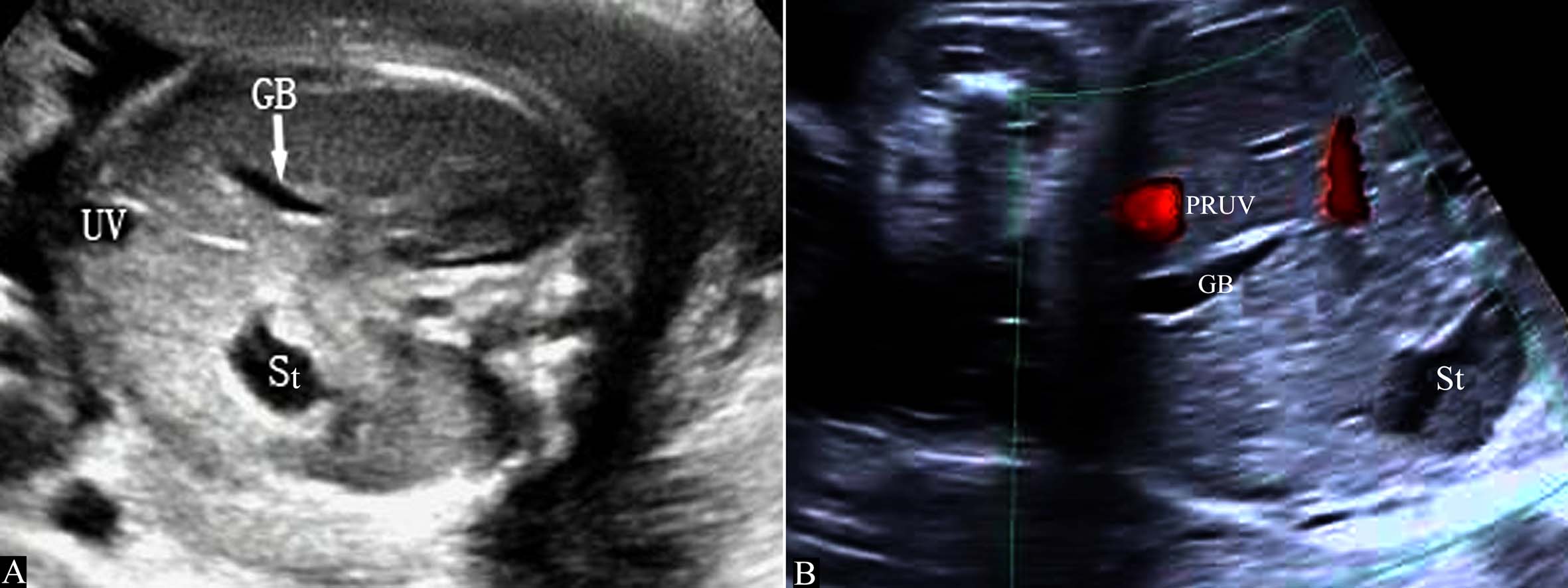
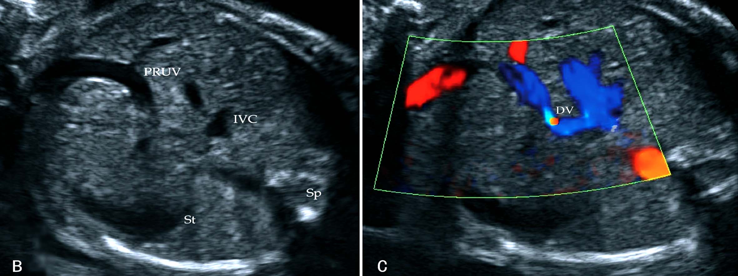
胎儿腹部横切面显示胃泡和脐静脉以后观察胆囊的位置可以确定脐静脉走行。正常脐静脉穿过脐轮后走行于胆囊的左侧,在胆囊与胃腔之间可以显示脐静脉的回声(图8A);如果在胆囊右侧显示脐静脉回声即可明确右脐静脉的诊断((图8B));肝内型持续性右脐静脉进入肝脏后PRUV需要转向左侧与静脉导管连接(图9)。连续追踪扫查如果显示脐静脉周围或一侧无肝脏实质,则提示为肝外型持续性右脐静脉。一般认为,后者常合并其他部位的发育异常,并可以合并染色体异常。

图8 正常脐静脉与持续性右脐静脉声像图比较

图11-54 持续性右脐静脉声像图