我院率先在安徽省开设冷刀宫腔镜诊疗中心,该中心高级职称医师五名,拥有最先进的冷刀宫腔镜设备系统,最纤细诊疗一体的Campo宫腔镜,灵宝一体镜以及8MM的大冷刀治疗镜等。本中心成立对广大有生育要求的患者在生育力保护方面是不言而喻的。我科在冷刀宫腔镜治疗宫腔粘连方面目前省内处于领先地位,术后妊娠率较传统宫腔镜明显提高,给不孕不育患者带来了福音。对于无生育要求的患者采用冷刀宫腔镜治疗子宫内膜息肉,子宫粘膜下肌瘤,子宫纵隔等有着非常突出的优势,冷刀宫腔镜具有手术时间短,恢复快,精准去除病灶,避免电热损伤,能更好的保护子宫内膜减少并发症发生等优点。
什么是冷刀宫腔镜?从广义来讲,它属于非能量器械,而从狭义上理解就是宫腔镜下使用的手术剪刀,操作钳均不带电,冷刀是相对传统使用电能并且产生热能的电极而言的。
冷刀宫腔镜适应症:1子宫内膜息肉2.子宫粘膜下肌瘤3.子宫纵隔4.异常子宫出血5.节育环嵌顿6.*女幼**阴道异物7.剖宫产瘢痕憩室8.输卵管插管通液
冷刀宫腔镜禁忌症:1心.肝.肾衰竭的急性期2.生殖道感染的急性期
冷刀宫腔镜有什么作用?
一.宫腔镜可用于不孕患者以及子宫内有病变患者的诊治与随访。
众所周知子宫是孕育宝宝的摇篮,宫腔损坏了,无法孕育胎儿,其中宫腔粘连是目前不孕不育患者最常见原因之一。什么原因造成宫腔粘连呢?通常由于:无痛人流、药流、诊刮以及部分妇科手术造成宫腔损伤,子宫内膜基底层破坏,导致宫壁粘连,形成疤痕,内膜变薄.宫腔粘连如何诊断呢?可以根据临床症状判断:月经量少,痛经、不孕等。辅助检查:三维超声、MRI、其中宫腔镜检查是诊断的金标准。治疗方面:1.近年来冷刀宫腔镜技术为首选,冷刀宫腔镜优势:没有电热损伤,能够更好的保护子宫内膜生长,其次随着冷刀宫腔镜器械的微型化,精细化,无需传统的术前宫颈准备 ,无需扩宫,生理盐水膨宫大大减少了手术并发症,让手术更加安全!
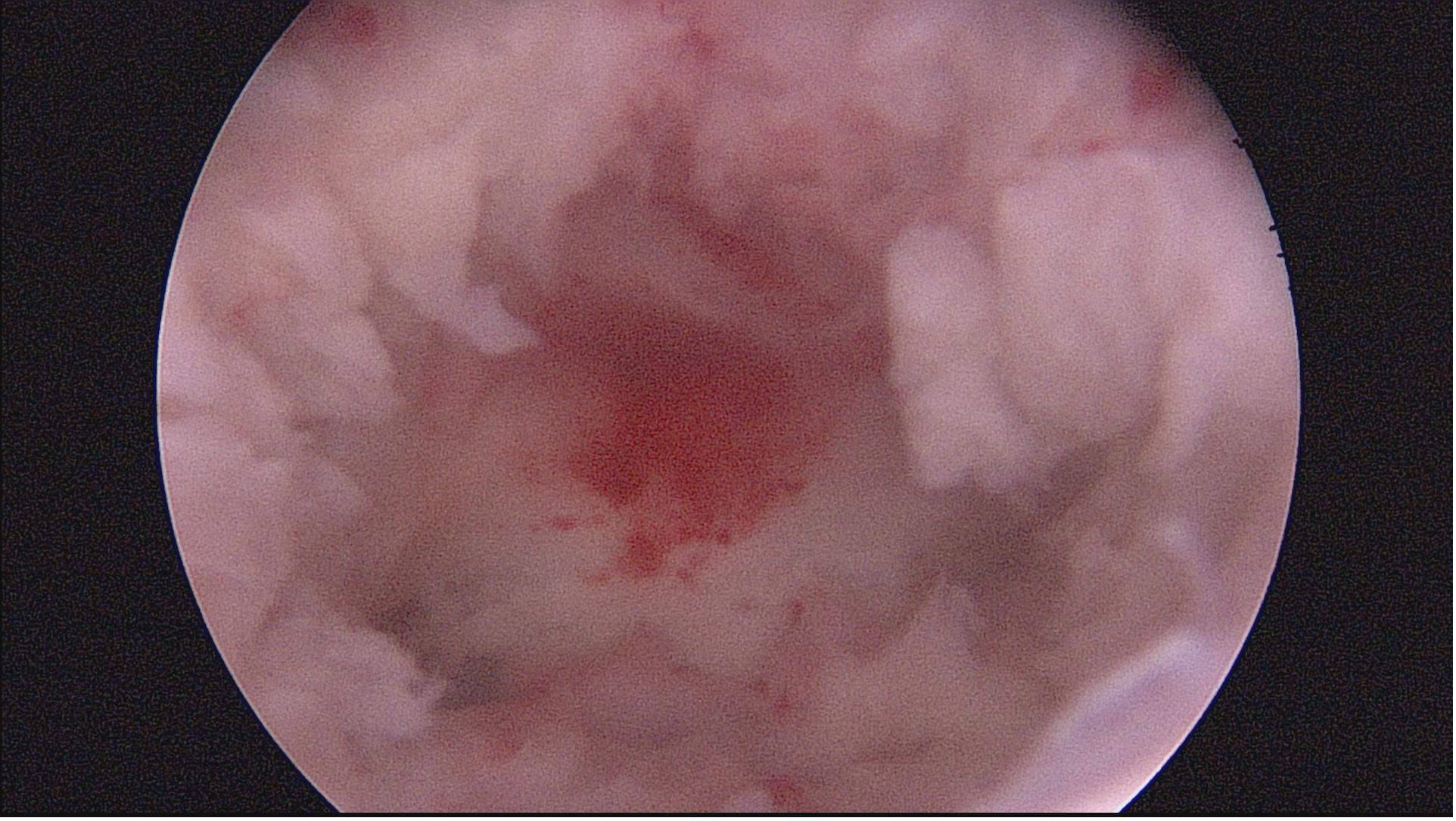
重度宫腔粘连术前图片

图一:宫腔疤痕

图二:整复好的宫腔

图三:宫形环支撑
注:宫腔粘连手术是关键,术后还要综合治疗,宫腔放置球囊和宫形环支撑宫腔。配合防黏连的凝胶以及雌激素药物让子宫内膜更好的生长。
宫腔镜下可以了解输卵管通畅吗?

注:输卵管插管美兰通液,可以根据推注美兰液有无阻力及液体是否逆流了解输卵管是否通畅,当输卵管阻塞时,由于亚甲蓝的返流,膨宫液会呈现蓝色。

子宫内膜息肉术前图片 (一)

术后图片(二)
注:息肉摘除之后需要药物治疗

妊娠物残留术前图片 (一)

术后图片(二)
注:有生育要求的人流及药流术后残留患者,推荐冷刀宫腔镜保护子宫内膜

子宫内膜癌宫腔图片
注:月经异常的广大 妇女及时 就诊!!!
宫腔镜手术术前需要哪些准备呢?
1.时间选择:完善检查一般月经干净即可, 宫腔镜输卵管通液一般在月经干净5天之内
特殊情况下根据病情需专科医生指导进行
2.宫腔镜术前需要哪些注意事项?术前三天禁同房,术前禁食水6小时
3.宫腔镜手术痛吗?手术需要多长时间?诊断性宫腔镜是无需麻醉,当宫腔镜诊断与治疗同时进行时需要静脉麻醉,无痛。手术时间一般十分钟到半小时不等
4.宫腔镜手术需要家属陪同吗?如需麻醉,要求直系亲属陪同一人
冷刀宫腔镜诊疗中心地址: 1.安徽省第二人民医院位于合肥市北二环砀山路1868号
2.安徽省第二人民医院冷刀宫腔镜诊疗中心门诊:A楼2楼
3.安徽省第二人民医院冷刀宫腔镜诊疗中心病房:C楼23楼
4.联系方式:周静主任电话:13856478398(微信同号)
苏玲主任电话:139650848985