43岁的刘女士,在29岁那年体检的时候,发现肝脏有一个血管瘤,大小是5厘米。因为也没有什么不舒服,这个大小是没有必要手术的,于是医生告诉她说,暂时不用治疗,定期复查即可。

后面,就开始每年做一次检查,彩超观察大小变化。虽然每年大小都在逐渐增大,不过变化的并不快,医生也说继续观察就可以了,所以她也没太放在心上,继续每年复查彩超。
等到第七年的时候,血管瘤已经长大到10厘米了,算是比较大了,虽然刘女士仍然没有任何症状,但是医生却建议刘女士手术切除血管瘤。虽然以后血管瘤也不会癌变,但是根据血管瘤的变化趋势,血管瘤肯定会进一步增大,到时候手术难度会进一步增加,手术风险也会增加。但是,刘女士拒绝了手术治疗,说想再观察看看。

其实她并不是不想手术,只是她知道手术有风险,她的儿子刚刚读初中,她不想在这个时候冒风险。她想着等到儿子考上大学,她就没啥心事了,就可以放心的手术,即便是手术出现了意外,她也没有遗憾了。因此就这样又拖了几年。
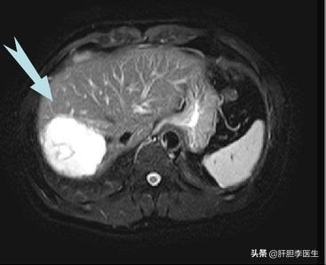
这次来复查的时候,直接做了肝脏的增强核磁,虽然知道血管瘤会增大,但是没想到看到片子的时候还是有点出乎意料,血管瘤的最大直径已经达到了17cm,几乎右边的肝脏都是血管瘤了,只剩下左边半个肝脏在维持正常工作了。当然手术的风险并不止这一点,而是血管瘤紧紧地贴在下腔静脉上,手术切除血管瘤就要把血管瘤从下腔静脉上一点一点地扒下来,在这个过程中随时有可能出现大出血的情况,而且下腔静脉的出血非常凶险,可能会有生命危险。

但是她表现得非常淡定,她说没关系的,即便是出了意外我也能接受。如果手术顺利,我能活着醒来,我会很高兴;如果手术出现了意外,我没有醒过来,我也不会难过。
我很赞赏她豁达的心态,更佩服她看待生死的勇气。
于是,她就办理了住院,准备手术切除这个跟了她很多年的血管瘤。
幸运的是,她苏醒了过来,手术很顺利,并没有发生意外情况,血管瘤被完整的切除。她醒了以后,看到我们第一个反应就是一个淡淡的微笑,并说了一句:谢谢医生!
她的血管瘤,14年从5cm长大到17cm。当然速度并不快,而且只要每年定期复查,一般都能够在长到10cm的时候处理掉。其实,大多数人的血管瘤增长速度远远小于这个速度,甚至很多人的血管瘤很多年都不会出现变化。所以,对于肝血管瘤不必过分担心,定期复查,如果发现肝血管瘤已经比较大,大小超过8cm,或者增长速度比较快,及时手术治疗就可以了。
(此处已添加医疗卡片,请到*今条头日**客户端查看)