点击蓝字,观看医生讲解先天性髋内翻视频:先天性髋内翻_腾讯视频

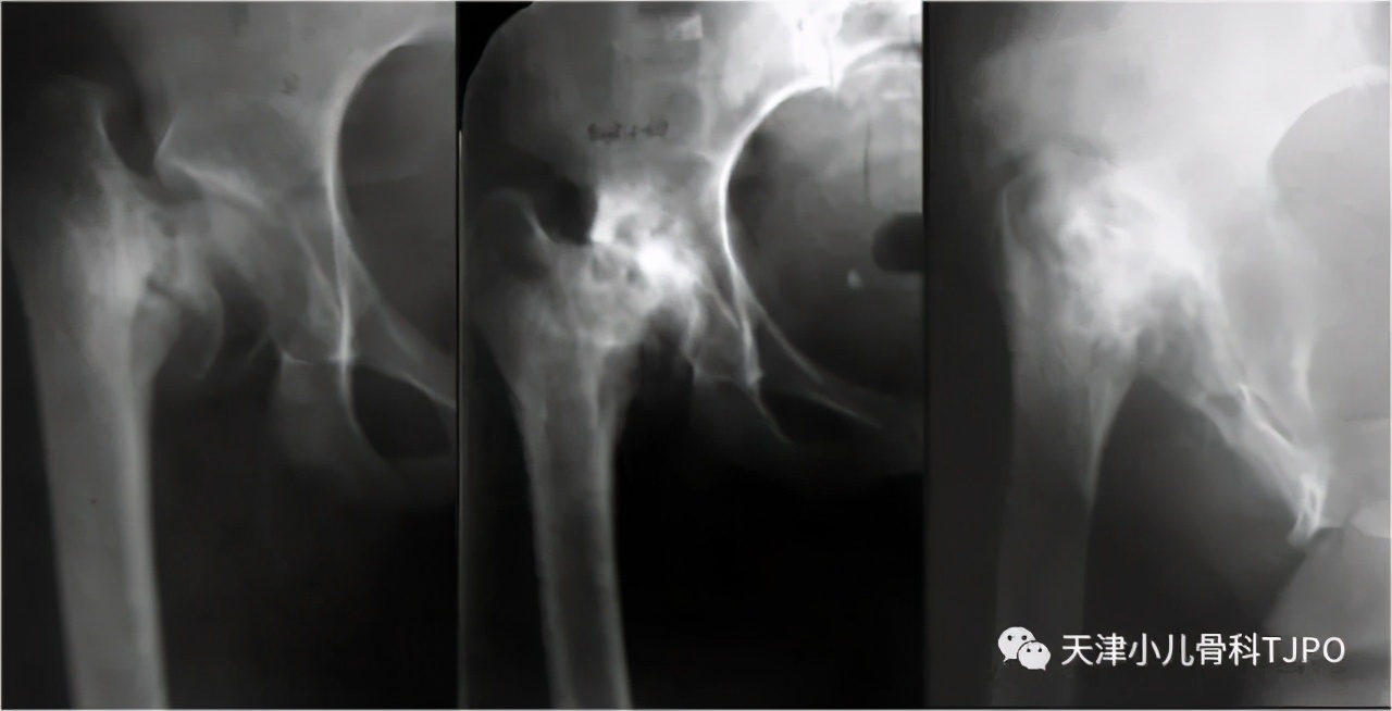
男孩,5岁,就诊前半年家长发现孩子走路“摇摆”,但是不痛。“骨盆正位X线片”显示:双侧股骨颈干角减小,干骺端与股骨头骺间增宽、碎裂的透亮带,股骨颈内下方不规则骨化。经验不多的医生可能会误诊为股骨颈骨折不愈合或慢性股骨头骺滑脱。
这是什么病?
这其实是一例发育性髋内翻(也称为先天性髋内翻)的病例。在1岁的X线片中已经可看到左侧股骨颈内侧形态有异常。股骨颈与头骺间增宽的透亮带其实就是增宽的骺板线,容易被误认为骨折线,股骨颈内下方的骨化不规则三角形区域是部分病例的特征性表现。
发育性髋内翻是一种以原发性软骨缺陷为特征的发育性疾患,发病率约为1/25000。X线片表现为股骨颈干角减小、股骨颈变短、大转子相对上移及患侧下肢短缩(图1),畸形在出生时通常不明显,多在站立行走后才逐渐出现。具体病因不明,可能是由于股骨颈内侧软骨钙化的原发性缺陷,而这一缺陷使股骨颈内侧支撑减弱,在肌力和体重的压力下,机械软弱的股骨颈会出现进行性内翻成角,而股骨头骺会经股骨颈的薄弱区向下滑移。称之为发育性髋内翻,正是基于畸形随儿童生长发育逐渐进展的特征。

图1
这病怎么鉴别诊断?
髋内翻主要可以分为三大类:
1、获得性髋内翻,继发于创伤、感染或骨病的股骨近端内翻变形,如股骨头坏死、股骨颈骨折等,此外还有成骨不全症、骨纤维异常增殖症、代谢性骨病、石骨症等一些原因导致的髋内翻;
2、先天性股骨缺陷型髋内翻,合并先天性股骨短缩或缺损;
3、发育性或先天性髋内翻,多合并骨软骨发育不良(锁颅骨发育不全、干骺端发育不良、椎体骨骺发育不良等),不合并明显骨软骨发育不良的也可称之为特发性发育性髋内翻。
发育性髋内翻主要需与获得性髋内翻进行鉴别。如果患儿身材矮小或家族史阳性,应高度怀疑其存在骨发育不良,特征性表现包括锁颅骨发育不全的锁骨和耻骨支内侧部分缺损,干骺端发育不全导致的广泛骺板增宽及成角畸形。另外就是根据典型的影像表现来判断。
这病会遗传么?
如上所述,发育性或先天性髋内翻多合并骨软骨发育不良,其根本原因是股骨近端内侧钙化异常导致的塌陷及继发的系列改变,而导致髋内翻的骨软骨发育不良疾病包括锁颅骨发育不全、干骺端发育不良、椎体骨骺发育不良,这三种疾病都存在基因缺陷,因此是具有遗传相关性的。也有些家族中可能从来没有亲属发生这种情况,基因异常是从患儿这一代才开始出现,因此患儿父母的基因是正常的,而患儿的后代是有可能遗传的。
这病需要治疗么?
一种疾病是否需要治疗,往往是根据其自然转归(natural history)来判断。对于发育性髋内翻来说,由于股骨颈内侧软骨钙化的原发性缺陷,导致股骨颈内侧支撑减弱,在肌力和体重压力下,机械软弱的股骨颈会出现进行性内翻成角畸形,而股骨头骺会经股骨颈的薄弱区向下滑移。如果这种过程持续进展,最终会导致股骨近端严重畸形,髋关节严重不匹配,导致髋关节退行性改变早发骨性关节炎(图2),病人甚至需要接受人工髋关节置换术。因此,发育性髋内翻治疗目标就在于阻止持续的内翻、滑脱进展。根据生物力学的分析,重点在于改变异常的骺板线方向,消除剪应力。

图2
根据Pauwels提出的髋关节生物力学理论,正常髋关节受到的压力R垂直经过髋关节中心(图3A),并且与骺板方向垂直。股骨颈内侧受到压应力D,而外侧受到张应力Z,S表示剪切力。在髋内翻时,压力R与骺板方向不再垂直(图3B)。经过骺板的剪切力S逐渐增加,股骨头骺开始倾斜并向内侧移位,并且随着内翻加重这种效应会更加明显。此外,生物力学改变也一定程度上抑制内侧生长,从而髋内翻逐渐进展。

图3
这病该怎么治?
需要强调的是,手术治疗是发育性髋内翻唯一有效的治疗手段。决定是否需要手术主要是根据HE角(图4),HE角超过60°推荐使用外翻截骨术治疗,HE角在45~59°时需要观察,如果畸形进展或出现明显症状时需要治疗。治疗方式主要是各种外翻截骨术,其中比较经典有三种,分别是Pauwels截骨、Wagner外翻截骨及Borden截骨术(图5)。截骨矫正的角度主要参照术前骨盆正位X线片测量的HE角,正位为0~25°,平均16°,那么需要矫正的理想角度就是测量的HE角减去16°。

图4

图5
天津医院小儿骨科(TJPO)的治疗
我们通过对这例X线片的测量,确定HE角,拟矫正至16°,即双侧外翻矫正55~60度(图6)。术前测量右侧HE角为71.5°,矫正目标为16°,需外翻矫正55°。外翻矫正模拟效果后,可见有两种截骨端对合方式,即目前常用的小儿髋锁定板140°和150°钢板的对合方式(图7),可见140°钢板固定后截骨断端实现“髓腔对皮质”的端-侧对合,而150°钢板固定后外侧皮质接触,截骨远端相对内移,如此会影响下肢整体力线(会引起下肢力线外移-膝外翻)。因此,采用小儿髋140°锁定钢板来进行股骨近端外翻截骨后的固定,更加符合下肢力线的重建,尽管是髓腔对皮质的接触,但稳定的固定有利于截骨端顺利愈合(图8)。

图6

图7

图8
根据目前的研究,Carroll的病例提示HE角降低至38°以下,95%的患者没有复发;Cordes则发现HE角减少到40°以下,随访11年无一例复发;Desai和Johnson对一组病例平均随访20年,发现HE角减少至35°以下和头干角增加到130°以上能获得满意结果。
治疗结束的病例展示
通过外翻截骨术调整骺板方向,消除其受到的异常剪切力,避免了股骨头骺进一步滑脱。在颈干角获得矫正的同时,股骨近端内侧剪应力明显降低,再辅以内固定支持,能够获得薄弱区的愈合及硬化。我们取出内固定的指征是股骨近端内侧薄弱区完全愈合/融合,且呈现正常的骨质结构。

图9
女孩,7岁时因步态异常就诊我院,拍片诊断为双侧发育性髋内翻,分期行双侧股骨近端外翻截骨术;术后2年,双侧截骨端愈合良好,股骨近端内侧骨质形态恢复正常,取出内固定。
术前外观见大腿外侧近端向外隆起,腰椎明显前凸;矫正后双髋外侧隆起、腰椎前凸明显改善。

图10
失败病例的翻修展示
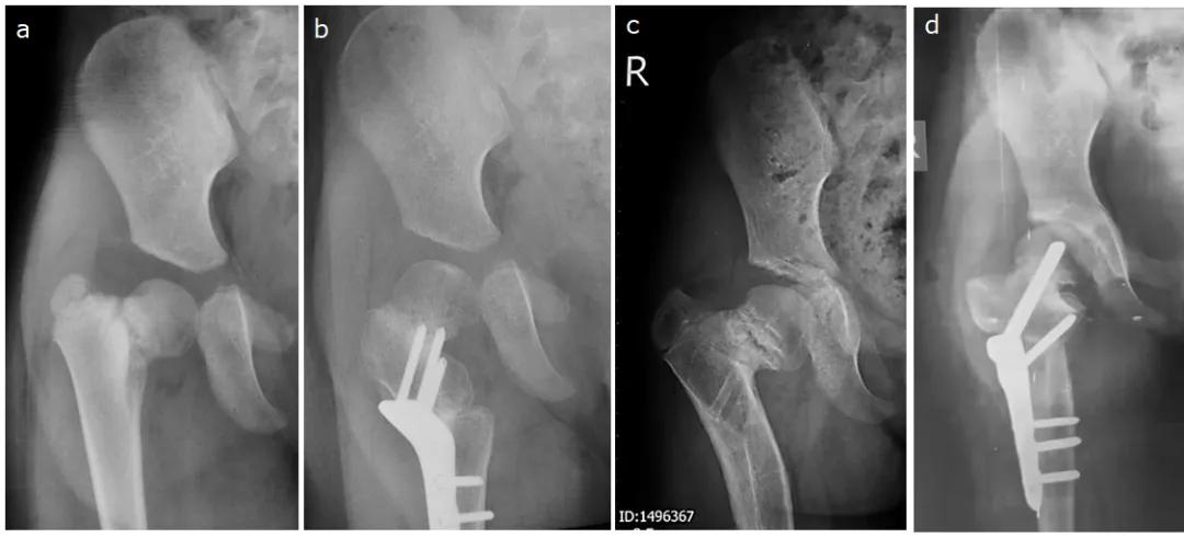
女孩,7岁时当地医院检查发现右侧先天性髋内翻畸形,测量HE角64°(图11a),行股骨近端外翻截骨术,采用150°钢板固定,术后截骨远端内移(图11b)。术后2年髋内翻复发(图11c)。行股骨近端外翻截骨翻修术,以140°php固定,截骨端为端-侧对合,固定后股骨近端形态更接近正常生物力学结构(图11d)。

图11