本文系喵大夫原创,转载请注明!

众所周知,肝脏在不管是在人体内,还是在动物体内,都是最大的消化腺,同时在身体内也起着非常重要的作用,比如维持糖类、脂肪以及蛋白质等营养成分的合成与分解,同时还参与了体内维生素以及一些激素的合成与储存,除此之外,肝脏也是尿素合成和维持身体内新陈代谢的主要器官;所以,肝脏不管是在人体内,还是在动物体内,都是维持机体正常运转不可或缺的器官。
肝脏作为消化系统中的最大的消化腺,其也是可能会因为很多原因而病变的,比如肝炎、肝硬化等,而对于猫咪们来说,它们的肝脏在很多因素的影响下也是很容易发生病变的,经过兽医临床统计发现,猫咪肝脏最常见的病变就是脂肪聚集过多而导致的肝脂质沉积症,即猫脂肪肝,其次就是肝脏的炎症性疾病,即猫肝炎。
所以,本文分享的主要内容就是猫肝炎,为了便于宠主们在遇到猫咪患了肝炎的时候能够及时采取正确的处理措施,本文将从以下几个方面对猫肝炎进行综合分析:
- 什么是猫肝炎?
- 猫肝炎的类型;
- 猫肝炎的病因有哪些?
- 猫肝炎的临床症状;
- 如何诊断猫肝炎?
- 如何治疗猫肝炎?

猫肝炎
猫肝炎是指当肝脏的实质细胞因为某种原因而受到损伤的时候,肝脏的正常细胞可能就会被炎性细胞浸润,从而导致逐渐肝脏细胞坏死的一种疾病。
当猫肝炎发展比较缓慢的时候,如果不及时发现和治疗,肝脏门静脉周围可能就会逐渐发生纤维化,从而就会导致疾病的恶化,可能就会给猫咪的健康造成不可逆转的伤害,因为当肝小叶逐渐出现结节化的时候,肝炎就会逐渐恶化成肝硬化。
猫肝炎的类型分析
就目前而言,通过肝脏炎症的不同病理变化,将猫肝炎分为了两类,即胆管肝炎和淋巴细胞性门静脉肝炎;胆管肝炎因其发展速度又可分为慢性胆管肝炎和急性胆管肝炎;虽然都是以肝脏炎症为主要病理变化,但是在治疗中会有一定差别。

1、胆管肝炎
胆管肝炎是猫肝炎中最常见的类型,这是一种以肝脏和胆管系统炎症为主要特征的疾病,在猫咪所有的肝脏疾病病例中,胆管肝炎和脂肪肝约占所有肝脏疾病的2/3。
1.1 急性胆管肝炎的特征在于大量嗜中性粒细胞会浸润到肝脏的门静脉区域和胆管中,当门静脉被破坏后,就会导致邻近门静脉区域的肝细胞逐渐坏死和中性粒细胞逐渐进入到肝小叶中;急性胆管肝炎可能以胆道内的上行细菌感染而开始,比如拟杆菌、放线菌、大肠杆菌以及α溶血性链球菌等;同时胆道系统的先天性或后天性异常(比如胆结石或解剖结构异常)也会导致胆管肝炎的发生。
1.2 慢性胆管肝炎可能就是急性胆管肝炎的后期阶段,其主要特征就在于门静脉区域会和由中性粒细胞、淋巴细胞与浆细胞的组合而发生胆管混合炎性浸润,它与急性胆管肝炎不同之处就在于胆管肥大和门静脉纤维化是比较突出的,且在最后阶段,慢性胆管肝炎还可能会发展为胆汁性肝硬化,也称为“硬化性胆管炎”。
经常与胆管肝炎相关的疾病包括炎症性肠病和胰腺炎,经过研究发现,80%患有胆管肝炎的猫咪在其十二指肠或空肠中会同时发生炎性浸润,50%会发生胰腺病变。
2、淋巴细胞性门静脉肝炎
淋巴细胞性门静脉肝炎也不同于急性或慢性胆管肝炎,其主要特征就在于淋巴细胞和浆细胞浸润到门静脉区域,而不是嗜中性粒细胞浸润到门静脉区域,也不会渗入到胆管中;它也存在可变程度的胆管肥大和门静脉区域纤维化。
然而,淋巴细胞性门静脉肝炎并不会发展为胆汁性肝硬化,也不会导致胆管炎的发生,所以,此种类型的肝炎也被认为是一种免疫介导性疾病。

红色部分为猫咪的肝脏
猫肝炎的病因分析
当猫患上疾病的时候,我们首先要找的就是病因,肝炎也不例外,肝脏作为猫消化系统内一个非常重要的器官,当其发生病变的时候,找到病因,然后对因治疗才是关键,一般来说,猫肝炎的发生主要有以下几点原因:
a、药物或化合物中毒:猫咪肝脏的解毒功能较其他哺乳动物肝脏的解毒功能较差,因为在猫咪的肝脏内缺少一种叫做“葡萄糖醛酸转移酶”的物质,所以这也就导致了猫咪对一些药物或化合物异常敏感,比如阿司匹林、对乙酰氨基酚、四氯化碳、黄曲霉素、防腐剂、灭鼠剂、鞣酸等;当猫咪不小心摄入这些药物或化合物的时候,由于不能快速转化或代谢,就会在短时间聚集在体内,从而就会导致猫咪中毒,同时也会对肝脏造成比较大的伤害。
b、病毒、细菌或寄生虫感染:当猫咪被传染性腹膜炎病毒、胃肠炎病毒、尿毒症、大肠杆菌、葡萄球菌、伪结核菌、华支睾吸虫以及弓形虫等病毒、细菌或寄生虫感染的时候,就会加重肝脏的负担,同时也会不断刺激肝脏,从而使肝细胞逐渐发生变性或坏死,这也就会导致猫肝炎的发生;特别是当猫咪被华支睾吸虫感染后,虫体就会寄生在猫肝脏的胆管内,同时华支睾吸虫还会在寄生部位逐渐释放出毒素,时而久之,不仅会严重伤害肝细胞,还会导致肝小叶结节化,即肝硬化。
c、心脏病:当猫咪患上某种类型心脏病不采取措施及时治疗的时候,随着时间的推移,心脏病可能就会逐渐恶化,从而就会导致猫咪出现心力衰竭,当猫咪出现心力衰竭后,肝门静脉就会出现循环障碍,肝脏就会逐渐发生淤血,淤血时间发生过长的时候,就会压迫到肝脏实质细胞,从而就会迫使肝细胞发生变性或坏死。
除此之外,当猫咪长期食用的食物中缺乏了胆碱或蛋氨酸的时候,也会导致肝细胞逐渐发生坏死,如果长期给猫咪食用自制猫粮的话可就要注意食物中是否缺乏这两种物质了,由营养元素缺乏所导致的肝炎由于发展比较缓慢,所以就需要宠主在生活中细心观察猫咪是否有异常情况的出现。

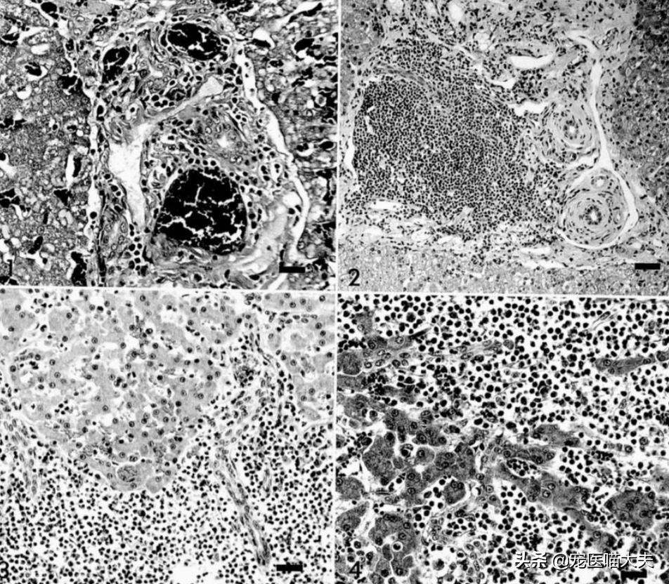
猫肝炎病理细胞
猫肝炎的临床症状分析
猫咪两种类型(胆管肝炎和淋巴细胞性门静脉肝炎)的肝炎在临床症状上并没有显著的差别,但是需要注意的是胆管肝炎容易导致患病猫咪发高烧以及并发炎症性肠病和胰腺炎;猫肝炎的常见临床症状主要包括以下几点:
- 消化机能紊乱,出现精神食欲下降,甚至食欲废绝;
- 慢性肝炎会表现为逐渐消瘦;
- 呕吐和腹泻;
- 皮肤以及粘膜变黄,即黄疸,如果是华支睾吸虫所导致的肝炎,皮肤和粘膜会出现极度黄染;
- 发烧(常见于胆管肝炎);
- 贫血;
- 嗜睡或昏迷;
- 因腹痛而出现拱背;
- 排便时会因疼痛而*吟呻**;
- 如果出现肝硬化,可能还会出现腹腔积液;
- 患有急性肝炎的时候尿液颜色可能会变黄。

猫肝炎的诊断措施分析
一般来说,可通过临床症状、病史分析以及基础检查对疾病做出初步诊断,但是需要确诊疾病和找出病因的话,还需要以下实验室诊断措施:
1、血常规检查(全血细胞计数检查):当猫咪患有急性胆管肝炎的时候,就会出现中性粒细胞增多症,有时候可能还会出现核左移。
2、血液生化检测:当猫咪患有肝炎的时候,血液生化检测就会显示出血清胆红素和血清碱性磷酸酶(SAP)正常或轻微升高,而丙氨酸氨基转移酶(ALT)就会显著呈升高的趋势;通过生化检测可以用于区分急性胆管肝炎和慢性胆管肝炎、肝脂质沉积症以及肝脏肿瘤,比如慢性胆管肝炎的典型血液生化变化就是血清胆红素、SAP和ALT呈显著升高趋势;肝炎生化检测的其他变化可能就会显示出非再生性贫血、高球蛋白血症以及高血糖症。
当猫咪患上淋巴细胞性门静脉肝炎时,血液生化检测可能会显示出血清胆红素、ALT和SAP呈正常状态或呈可变的增加状态;当将所有类型的肝炎与肝脏脂肪变性进行比较的时候,肝脂质沉积病例会倾向于高浓度的总胆红素以及更高浓度的ALT和SAP(会增加10倍以上),而γ谷氨酰转移酶(GGT)没有相应的增加,在猫咪其他形式的肝脏疾病病例中,GGT的增加会更加倾向于SAP的平行增加。
3、肝脏超声检查:腹部超声检查有助于评估和胆管肝炎相关的肝外疾病;超声不仅可以检查肝脏疾病,而且还可检查胆管肝炎并发的胰腺炎;肝炎的典型超声变化就是胆囊、胆总管和肝内胆管呈扩张趋势、胆汁淤积、胆囊炎以及胆石症。
4、通过病理组织活检可以有效区分两种不同类型的肝炎;除此之外,胆汁酸测试、凝血功能测试(在进行活检之前进行)、寄生虫检测(弓形虫和华支睾吸虫)以及X射线检查(可评估肝脏的大小是否正常)都对帮助确诊猫肝炎有着非常重要的作用。

如何治疗猫肝炎?
猫咪急性和慢性胆管肝炎的主要特异性疗法就是使用抗生素(阿莫西林、阿莫西林克拉维酸钾或氨苄青霉素)治疗,如果发现离散的胆囊或完全性胆道梗阻,可能就需要进行手术干预了;当确定了肝外胆管梗阻时,建议进行手术减压和胆-肠转移手术(即胆囊-十二指肠吻合术或胆囊吻合术)。
如果需要的话,还可用胆汁、活检标本或胆囊标本进行细菌培养和敏感性测试,以选择最佳的抗菌剂。
当患有慢性胆管肝炎的猫在2-3周内不能单独应用抗生素进行治疗的时候,通常会添加泼尼松龙作为经验性治疗,泼尼松龙的抗炎和免疫抑制特性可能有益于限制肝细胞损伤,此外,泼尼松龙还可以增强患者的食欲;最初使用泼尼松龙的剂量应该为2.2-4mg/kg q24h,然后剂量逐渐递减至1-2mg/kg q48h,还应该在每次剂量减少之前检测血液生化数值,如果患者临床表现和生化结果令人满意的话,可以将剂量降低至0.5mg/kg q48h;大多数猫咪可以很好的耐受长期皮质醇类固醇治疗,副作用通常很小。
熊去氧胆酸推荐用于治疗患有各种类型肝炎的猫咪,它主要的作用就是抗炎、免疫调节、抗纤维化特性以及增加胆汁分泌物的流动性,通常熊去氧胆酸的使用剂量为10-15mg/kg q24hq。
患有急性胆管肝炎的猫不仅需要特异性治疗,还需要积极的支持性治疗,可进行静脉输液以纠正电解质紊乱和维持酸碱平衡。

猫淋巴细胞性门静脉肝炎除了使用抗生素进行特异性治疗之外,还可使用强的松龙进行治疗,使用剂量一般为2.2mg/kg q24h,如果强的松龙对疾病没有效果的话,可使用甲氨蝶呤进行治疗,但是在治疗时要注意药物的使用剂量以及毒性。
不管是治疗哪一类型的肝炎,在治疗的过程中,不仅要找到病因,而且还应该持续监测患病猫咪对治疗的反应,以及时调整治疗方案。
预后:一般而言,猫肝炎的预后是不可预测的,如果在疾病早期被诊断出的话,给予患者抗生素治疗就有很好的效果,对于患有晚期肝炎的患者来说,治疗预后较差;特别是患有胆管肝炎的猫咪,如果处于晚期才发现的话,很容易因此发展为胆汁性肝硬化,从而给猫咪造成不可逆转的伤害,只有通过药物治疗在一定程度上延长猫咪的生命;与胆管肝炎相比,患有淋巴细胞性门静脉肝炎的猫咪似乎有更好的预后,但也是限于治疗早期。
(本文图片来源于网络,侵删)#萌宠小戏精#
作者:一个小兽医,致力于守护萌宠健康,保障动物福利,关注我,每天分享宠物那些事儿!