新发现
上海仁济医院肿瘤介入科池嘉昌医生提出肺玻璃磨结节(GGO)消融后活检的新模式。即首先对GGO进行微波消融凝固病灶,然后在进行穿刺活检,可大大提高病理结果准确性和安全性,诊断治疗一次完成,可与外科切除相媲美。
什么是GGO
GGO(Ground grass opacity)是磨玻璃样改变的简称。在肺部CT影像上表现为密度轻微增加,增加程度小于实性改变,呈模糊的云雾状,并可见其内血管和支气管纹理。
随着胸部薄层CT的广泛应用使得GGO的检出率明显增高,绝大部分的GGO与早期肺癌密切相关。
大部分GGO需要长期随访,但长期随访会造成病人极大的心理负担同时也可能导致病灶失去根治的机会。而GGO多发的趋势也越来越明显。

作为一致公认的唯一有效的肿瘤“根治”方法,外科切除确实显著延长了患者的生存期,但是它对人体全身状况及重要脏器功能的较高要求、相对巨大的创伤和治疗风险以及较差的可重复性等严重限制了外科切除的应用群体。
而很多患者因为GGO位置较深或者紧贴大的血管或支气管,一旦手术需要切除多个肺段甚至整个肺叶,患者长期处于随访直到病灶进展而不得不手术。

(经典的胸腔镜手术)
GGO目前活检现状
GGO的病理诊断至关重要,经皮肺穿刺活检是用来判断GGO良恶性的有效方法之一。
但目前细针抽吸活检很难保证阳性率,粗针活检的有效性和安全性虽然已经得到了公认,
但任不能达到手术病理的标准,同时GGO的粗针活检仍存在很多技术性和风险,
因此手术获取病理仍是目前的首选方式。
GGO目前活检的技术问题
- 病灶因其特性,易出血
- 病灶普遍较小
- 活检取得标本量有限,穿刺活检标本与手术标本具有差异性
- 穿刺道贯通正常肺组织和肿瘤组织,存在潜在的针道种植和空气栓塞的风险
GGO消融后活检新模式的发现
面对上述难题,上海仁济医院肿瘤介入科池嘉昌医生提出GGO消融后活检的新模式。即首先对GGO进行微波消融凝固病灶,然后在进行穿刺活检,可大大提高穿刺成功率和安全性,把诊断和治疗整合在一次手术内完成。
那么如何保证消融和活检取样的安全性,又如何保证消融后取得病理组织的有效性呢
该方法将特制的微波针无损的穿入GGO病灶内,使用低功率低温微波凝固技术,将GGO病灶用微波的热量进行凝固,凝固后的GGO病灶会逐步缩小为一个实性的小结节
然后采用同轴套管技术对凝固后的GGO病灶进行精确的活检,由于微波热量的作用,原先GGO病灶内大量的细小血管因热量的作用而凝固


因此凝固后活检与常规活检进行对比,不仅穿刺活检造成的出血大大减少,同时由于病灶皱缩变成实性病灶,活检的取样量明显增加,而低功率的微波凝固方法不会影响病理诊断和相关基因检测的结果。

(并发症)

(病理结果阳性率)

(常规活检) (消融后活检 更多更致密的标本) (常规活检) (消融后活检 更多更致密的标本)
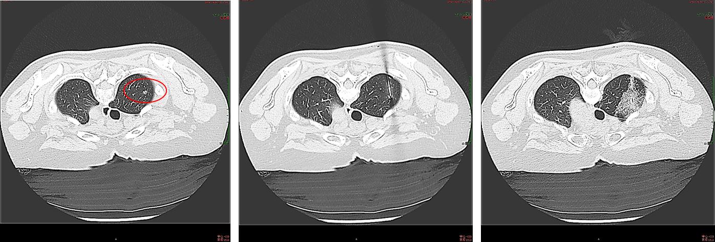
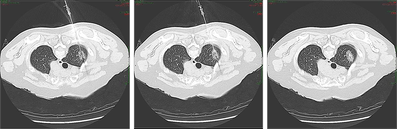
GGO消融后活检病例展示
女性患者,56岁,肺部原位腺癌切除史,随访过程中发现GGO在增大

术前活检出血量多

低功率微波消融后出血量明显减少
术前活检取出的组织量少

低功率微波消融后活检取出的组织量明显增多,紧密

术前活检病理结果为阴性,低功率微波消融后病理结果为阳性

GGO病灶消融后活检这个新模式的潜在优势
根治性的手段+病理诊断,可能成为GGO治疗上可以与外科切除相媲美的一种新方法。
创伤、医疗费用、住院时间优于外科手术,仅需要局部麻醉,病人具有更高的耐受性
最大限度的保留肺组织,一般患者第二天即可出院
目前临床上GGO病变已是较为常见的事,GGO消融后活检的新模式使得消融和外科手术一样成为一种根治性诊断治疗的手术,而大大减少了常规活检的风险和潜在的肿瘤播散可能。