跟骨对人体直立和行走有着重要作用,跟骨骨折类型复杂多样,不恰当及时的治疗,易导致足部出现严重的功能障碍,致残率可高达30%,严重影响患者生活。
传统的"L"形外侧切口手术治疗一直被视为治疗移位跟骨骨折的首选方法,但这一方法常会发生切口皮肤坏死、感染、内植物外露等并发症,极大的影响了跟骨骨折的手术疗效。

L形外侧切口 | 术前

L形外侧切口 | 术后
传统的"L"形长切口,易出现皮肤坏死等并发症
近年来随着微创技术和理念的不断发展,各种复杂跟骨骨折通过微创手术治疗取得良好效果。罗湖区中医院创伤骨科与足踝外科高彦军主任为"平乐郭氏正骨传承人",带领其团队目前已开展跟骨骨折微创手术500例以上。
案例1

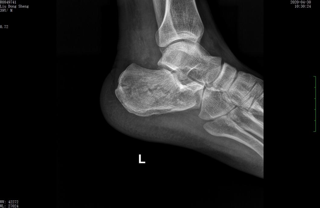
案例1影像

案例1影像
术前X线示跟骨高度丢失,关节面塌陷

案例1影像

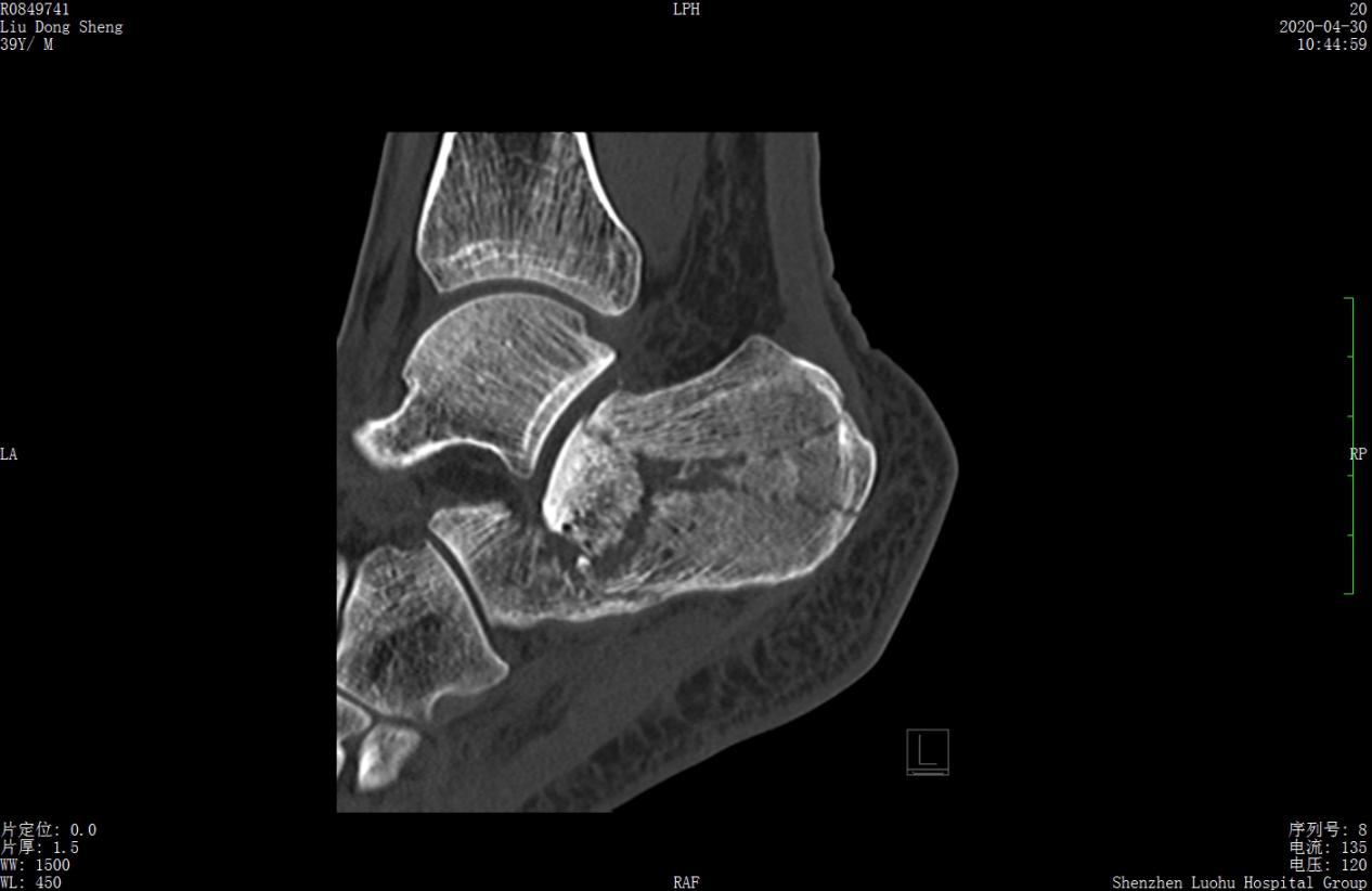
案例1影像
术前CT示跟骨严重粉碎骨折,移位明显

案例1影像

案例1影像
行微创手术治疗后,跟骨高度恢复,关节面平整

案例1 | 术后伤口
4cm长的手术切口,避免了切口并发症
案例2

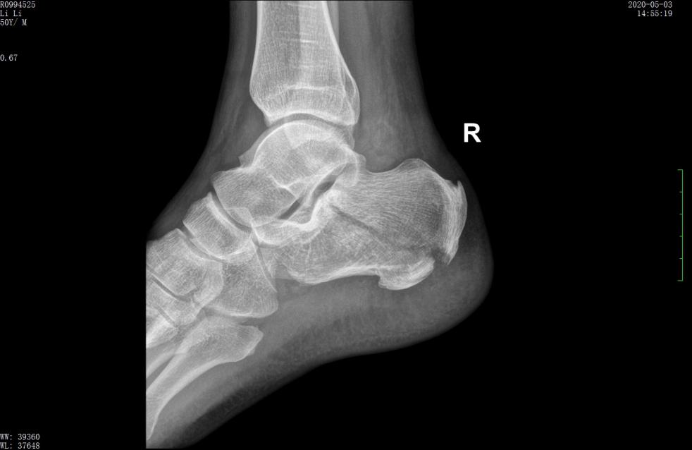
案例2影像

案例2影像
术前X线示骨折分离移位

案例2影像

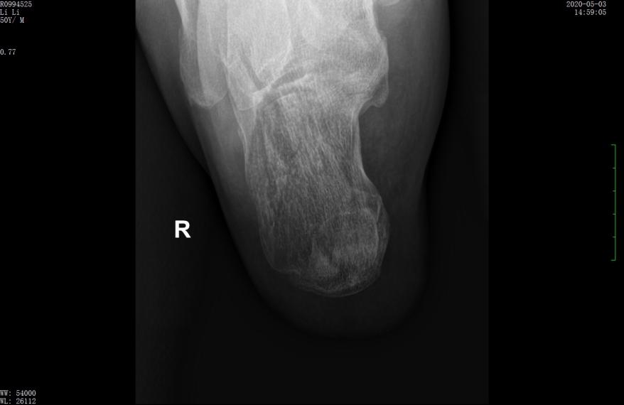
案例2影像
术前CT示跟骨粉碎骨折

案例2影像

案例2影像
术后X线示骨折复位良好

案例2 | 术后伤口
术后切口快速愈合
罗湖区中医院创伤骨科与足踝外科秉承平乐正骨微创治疗理念,并不断结合国际先进技术。科室主要开展骨盆髋臼骨折、四肢及关节周围骨折、全身多发骨折、骨折后遗症、足踝疾病、糖尿病足及慢性创面等手术治疗。骨折微创治疗技术与国际接轨,达到深圳领先水平。罗湖区中医院创伤骨科与足踝外科以精湛的技术、优质的服务,为广大群众的骨健康保驾护航。