——我院通州院区CCU成功救治急性广泛前壁心肌梗死合并心源性猝死患者1例
2021年2月,北京中医药大学东直门医院通州院区CCU急诊介入团队成功救治一例急性广泛前壁心肌梗死、急性心力衰竭、心源性休克、心源性猝死高龄患者,展现了我院心脏危急重症救治水平。
生死时速
患者为75岁男性,因“突发胸痛2小时”,以急性广泛前壁心肌梗死由急诊入院。症状、体征、心电图动态演变、心肌标记物结果提示患者心脏前壁大面积梗死,导致合并心源性休克、急性心力衰竭,其死亡率高达40%-60%[1],病情异常凶险。通过急诊绿色通道,患者迅速被推入导管室。此时患者意识突然丧失,心电监护呈现室颤;团队医护迅速进行电除颤、持续胸外按压等抢救措施,成功复苏,患者恢复自主心律及呼吸,然而心肌在持续缺血坏死,心律失常电风暴仍在继续,抢救刻不容缓!
急诊PCI
复苏成功后,为最大程度提高患者生存率,紧急穿刺右股动脉,于患者主动脉内置入了主动脉内球囊反搏(Intra Aortic Balloon Pump,IABP)装置,并经右股静脉穿刺建立中心静脉抢救通道;
在IABP及血管活*药性**物(多巴胺、去甲肾上腺素等)的支持下,我科介入医生紧急进行冠脉造影,发现前降支(LAD)开口以远完全闭塞,未见供应LAD侧支循环。时间就是生命、时间就是心肌,我科介入医生迅速进行介入抢救,指引导管到位、导丝置入、血栓抽吸、球囊扩张开通血管一气呵成,从进入急诊室至球囊扩张的时间(Door to Balloon,D to B)为42分钟,从进入导管室至开通血管时间为17分钟。最终通过前降支直接PCI手术成功开通罪犯血管。期间险象频发,室性再灌注心律失常、血压测不出、无复流接踵而至,而其中无复流的发生是最灾难性的并发症,因为远端心肌并未得到血流灌注,梗死仍在继续!
此时手术介入医生的每一个决策都决定了患者生死,我科介入术者采取最快捷、安全的方法,刺破预扩张球囊改造为靶向注射导管,经冠脉远段注射硝普钠,成功挽救了前降支罪犯血管血流,达到急诊手术要求的TIMI血流3级;最后,患者在全导管室医护人员的共同努力下,在IABP、持续血管活*药性**物支持下,顺利完成手术,并紧急转运至CCU进一步抢救诊治。
|
|
|
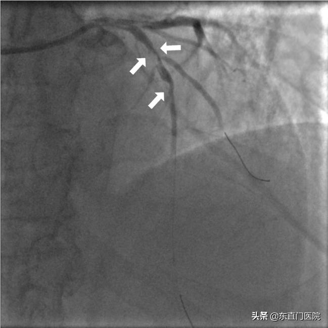
术前冠脉造影:前降支从开口近段以远完全闭塞,仅残端(白色箭头)显影 |
PTCA后:闭塞段开通,见多发血栓影(白色箭头)伴重度狭窄 |
|
|
|
p-PCI后,罪犯血管前降支血运重建,再灌注治疗成功 |
通过血栓抽吸,成功吸出部分血栓碎片 |
|
|
|
患者接受IABP治疗 |
IABP影像 |
险象环生
急性心肌梗死的凶险不仅是急剧的心脏衰竭、急诊再灌注手术中的心源性猝死以及心脏破裂等,还在于血管开通后可能出现的各类致死性并发症[2]。术后患者返回CCU进行持续监护治疗;患者术后频发短阵室速,至心梗后24小时心电监护突然显示心脏停搏;CCU医护人员第一时间发现异常,在高级生命支持下,通过持续的胸外按压、辅助正压通气、血管活*药性**物等抢救措施,约5分钟后患者意识恢复;针对缓慢性心律失常,CCU医师采取床旁置入临时起搏器的积极策略,多次挽救患者生命以及急性心肌梗死后并发的高度房室传导阻滞。
康复出院
经过CCU医护精心照护,IABP及临时起搏器的生命支持,规范的中西医结合药物治疗、营养支持及在患者家属积极配合,成功挽救患者生命,逆转了高龄患者急性广泛前壁心肌梗死所并发的心源性休克、急性心力衰竭、心源性猝死,“生死时速”中挽救了患者的生命。最终,患者经过积极有效的治疗,生命体征转平稳,成功康复出院。
|
|
术前心电图 |
|
|
术后心电图 |
|
|
高度房室传导阻滞(心室率31bpm) 在急性心肌梗死围术期并发症中,缓慢性心律失常较为常见。缓慢性心律失常多见于下壁心肌梗死,亦可见于前壁心肌梗死,心电图表现为严重窦性心动过缓、窦性停搏、高度房室传导阻滞等;发生前可无任何征兆,直接导致患者心源性猝死。 |
|
|
患者善后基本方——郭士魁益气活血方 |
在急性心肌梗死的抢救中,再灌注时间的管理是重中之重。D to B时间是指从进入急诊室到球囊扩张开通罪犯血管的时间,如D to B时间控制在90分钟以内,最佳在60分钟内将显著提升患者的生存率[3],因此目前国际胸痛中心认证也以此作为认证标准。能否最大程度缩短D to B时间,是挽救患者生命,改善患者预后的关键所在。该病例的成功抢救,首先得益于一线医护与医院各级管理后勤部门的通力合作。在此次抢救中,急性心肌梗死“绿色通道”的设立确保患者一经确诊可直接进入导管室,得以在第一时间得到救治;其次,心血管科二病区/CCU介入团队在实施手术过程中对于再灌注治疗的精准、规范的把控,使得患者罪犯血管能够以最快速度开通,从而挽救心肌。以上两者是最大程度压缩D to B时间的关键。在后续的治疗中,IABP、临时起搏器的植入保障了抢救的成功率;而最为重要的是CCU充分发挥其职能,医护密切配合,规范、高效的诊疗、护理措施,才能够一次又一次纠正致死性并发症,使患者转危为安,康复出院。因此该病例的成功抢救,是我院心脏危急重症的抢救中,管理、医疗、护理、应急体系水平的一次集中体现。
参考文献
[1]REYENTOVICH A, BARGHASH M H, HOCHMAN J S. Management of refractory cardiogenic shock[J]. Nat Rev Cardiol, 2016, 13(8): 481-492.
[2]BANSAL K, GORE M, NALABOTHU P: Anterior Myocardial Infarction, StatPearls, Treasure Island (FL): StatPearls Publishing
Copyright © 2021, StatPearls Publishing LLC., 2021.
[3]MATHIAS P F. Door-to-balloon time and mortality[J]. N Engl J Med, 2014, 370(2): 181.
撰稿:王达洋 彭文华
审稿:潘国忠 李文杰
审阅:林谦 龚燕冰









