纽扣大小的“输液港”可以把长期、频繁的静脉输液变为简单的皮下穿刺------介入科手术室植入的优势
1.什么是“输液港”?广东省第二人民医院介入科为您解答
静脉输液港(纽扣大小)又称植入式给药装置,是通过皮下植入的药盒连接导管而建立的中心静脉通道,可以把长期且频繁的静脉输液、中心静脉注射及药物输注变为简单的皮下穿刺。它的使用期限可为终身,病患可再也不用忍受反复扎针找血管之苦。更重要的是,患者体外没有外露导管,不影响患者肢体活动,可正常洗澡、泡澡、蒸桑拿和游泳(但应该避免剧烈活动),保护患者隐私,最大限度地提高了患者的生活质量。从医疗角度救治患者,还从人文的角度时刻了解患者的需求,从心理上让患者更能积极面对疾病,达到内外兼治的效果。 在不影响患者肢体活动,保护患者隐私的同时,提高医疗服务的效率,逐步取代PICC(经外周静脉置入中心静脉导管)作为中长期输液患者的首选。


2.“输液港”的植入又是如何进行的呢?
完善术前准备后,患者取仰卧位,体表标志、B超或者DSA定位锁骨下静脉或颈内静脉穿刺位置,消毒铺巾建立无菌区,局部麻醉穿刺锁骨下静脉或颈内静脉并置入导管,在锁骨下窝位置(根据病人可做调整)做皮肤切口制作囊袋,建立隧道至囊袋,埋入港体并与导管相连,最后缝合皮肤切口即可。静脉输液港置入体内后,即可以通过其进行静脉输液治疗。

3.“输液港”在介入科手术室植入的优势
介入科手术室无菌要求达标,超声引导穿刺不受解剖体表标志的限制,可一针到位,避免反复多次穿刺损伤(如穿刺失败、误穿动脉、出血、血肿,气胸、血胸等),术中DSA透视能即刻精准定位。

A.超声引导穿刺可一针到位

B.穿刺送入导丝后透视,可及时的发现误入右颈内静脉的导丝,并可在透视下及时准确的将导丝送入上腔静脉内,可防止术后才发现输液港导管误入颈内静脉或对侧锁骨下静脉内(盲穿送管,时有发生异位)。
将误入右颈内静脉的导丝精确调至上腔静脉内的视频
视频加载中...

C.建好皮下隧道时,可透视调整导管远端在下腔静脉内的深度(常为T5~T7之间)

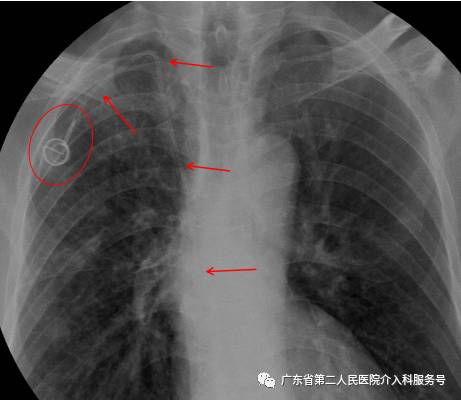
D.埋好输液港(红圈内)后,可透视了解和捋顺导管,防止导管打折,以及导管远端在下腔静脉内的深度(常为T5~T7之间)

E.右侧乳腺癌或右锁骨下静脉因各种原因不能穿刺者,可以在超声引导下穿刺左锁骨下静脉行输液港植入

F.双侧锁骨下静脉因各种原因不能穿刺者,可以在超声引导下穿刺低位右颈内静脉行输液港植入

G.严重脊柱侧弯与胸廓畸形的患者,在超声引导下顺利穿刺右锁骨下静脉行输液港植入
4.“输液港”植入术后有哪些注意事项?
静脉输液港植入体内后,即可以通过其进行静脉输液治疗。输液时,必须使用蝶翼无损伤针,每次治疗时一根蝶翼无损伤针可以使用7天,但要注意保护和固定,防止针脱出或受到污染。治疗间歇期,每四周请医护人员冲洗整个系统。
输液港植入后会留有2厘米横行切口,我科用可吸收线皮内缝合,7~10天即可愈合,无需拆线。术后如有发热、创口出血、局部肿胀或疼痛显著不适情况,请及时来院处理。
参考文献:
完全植入式输液港上海专家共识(介入放射学杂志 2015 年 12 月第 24 卷第 12 期)