
容貌"变丑",间断晕厥,两者看似无关,实则另有隐情。
病史
50岁男性,因"间断晕厥1月余,加重伴气短1周"入院。
1月余前,患者于活动后出现黑矇、晕厥,持续1~2秒后意识恢复,无抽搐、无尿便*禁失**,未在意,未系统诊治。此后上述症状偶有发作。
1周前,患者上述症状再次发作,遂就诊于我院门诊,行24小时动态心电图检查提示频发室早、室速,门诊以"心律失常"收入院。
患者既往高血压病5年,血压最高达180/110 mmHg,目前口服曲克芦丁,血压波动于150~160/90~100 mmHg。无糖尿病病史。
体格检查
血压140/80 mmHg;头围增大,下颌增大前突,唇肥厚,手脚粗大、肥厚,手指变粗(图1);双肺呼吸音清,未闻及干湿啰音;心尖搏动最远点位于左锁骨中线第5肋间外侧0.5 cm,心率85次/分,第一心音正常,节律不规整,可闻及早搏(5~7次/分),各瓣膜听诊区未闻及杂音及额外心音;腹软,肝、脾肋下未触及;双下肢无水肿。

图1
实验室检查
血、尿常规、肝肾功能、血脂及甲功三项未见明显异常。
血清激素水平
生长激素(GH)40.00 ng/ml,雌二醇(E2)34 ng/L;催乳素(PRL)32.63 ng/L,促黄体生成素(LH)9.01 U/ml,促卵泡生成素(FSH)24.59 U/ml。
辅助检查
胸片
肺纹理增强,主动脉结突出。
超声心动图
LA 47.4 mm,LV 71.8 mm,RV 21.9 mm,EF 45%,FS 23%,IVS 17.7 mm,LVPW 19.0 mm;左心增大,室间隔与左室壁对称性增厚,运动不协调,运动幅度弥漫性减低,主动脉瓣中度反流,二尖瓣轻度反流。
24小时动态心电图
多发室早、短阵室速(图2)。

图2
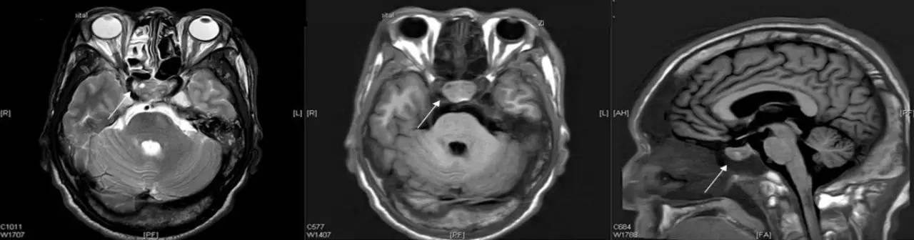
头颅MR
垂体增大,其内信号不均,可见斑片状长T1长T2信号影,边界清楚(图3)。

图3
PET-CT
18F-FDG PET-CT体部扫描未见恶性肿瘤代谢影像,垂体占位,局部葡萄糖代谢未见增高,考虑垂体瘤;左心室心腔明显扩大,心肌FDG药物摄取分布大致均匀。
冠状动脉造影
未见明显异常。
电生理检查
心室S1S1 400 ms诱发出室速,形态同室早形态。
诊断
垂体瘤
肢端肥大症
肢端肥大症性心脏病
心律失常
频发室早
短阵室速
心功能II级
诊疗经过
行ICD植入术后,患者转入神经外科接受脑垂体瘤切除术。
多次随访未见晕厥、黑矇等症状,ICD工作正常,无恶性事件记录。
讨论
该患者入院后,仔细查体发现肢端肥大体征明显,血清激素水平检测、头颅MR及PET-CT证实垂体瘤、肢端肥大症的诊断。根据美国肢端肥大症性心脏病的诊断标准:①确诊为肢端肥大症。②心脏有以下表现:心脏增大;高血压;心力衰竭;心电图和超声心动图呈左心室肥大。据此,该患者肢端肥大症性心脏病的诊断也可明确。
肢端肥大症的心血管病变可能与GH过多分泌和病程漫长有关。长期大量的GH过多分泌,可引起心脏病变,如本例患者,肢端肥大症并发心律失常。GH直接或间接通过胰岛素样生长因子(IGF-I)作用于心肌细胞上的GH和IGF-I受体,心肌细胞蛋白合成增加,细胞增大,间质胶原沉积,间质纤维化,从而影响心脏的结构和功能。病理上发现有心肌细胞肥大,心肌纤维排列紊乱,间质纤维化,胶原纤维含量增加,间质细胞浸润,小血管病变等。其对心脏的影响包括:水钠潴留,左心室向心性重塑,左心室质量增加,心排血量增加,外周阻力减低。临床表现为心脏扩大、左心功能减退、心律失常等。若病变累及窦房结、房室结等传导系统可发生恶性心律失常事件,导致猝死。
肢端肥大症以病因治疗为主,针对垂体瘤所致的血清GH过多分泌者,需降低血清GH水平,阻断心肌进一步肥大。血清GH水平高者可口服溴隐亭药物治疗,小剂量溴隐亭能抑制GH和PRL的分泌,阻断GH对心脏的不良反应。溴隐亭无效或有视神经或局部压迫症状者,可考虑手术或放射治疗。有报道称垂体瘤治疗成功后,部分早期心脏病变可恢复,说明本病早期属可逆性,但对于晚期的心脏改变是否可逆目前尚未明确。
肢端肥大症症状隐匿且进展较缓慢,多数患者常以各种并发症为首发症状就诊,特别是未表现出明显体征的肢端肥大症患者,易造成误诊而延误治疗。而肢端肥大症患者往往死于心血管并发症,因此认为对肢端肥大症患者,临床上出现不易用其他原因解释的劳累后心悸、呼吸困难、心律失常及进行性心力衰竭,特别是无高血压、冠心病、糖尿病病史患者,应考虑肢端肥大症性心脏病的可能,应早期治疗,以治疗原发病为主,预防其心血管并发病。
病例提供:吉林大学中日联谊医院 安喆 杨萍
病例征稿啦!
攻克疑难患者,您是否想传授经验、分享喜悦?遇到罕见病例,您是否想找“高手”指点,听取多方见解?那么,机会来了! “心在线”现面向全国征集心血管疾病相关病例啦!我们将为您提供传授经验、切磋技艺的平台,您不仅可以拓宽思路、丰富视角,还可获得丰厚稿酬!
投稿邮箱:content@cardiounion.cn
心在线 专业平台专家打造
编辑 刘倩┆美编 柴明霞┆制版 田新芳