
随着外科技术的进步,直肠癌术后复发率由既往的20%~30%降到目前的6%~10%,在专业化直肠癌治疗中心复发率甚至可低至4%。不过一旦复发,这些患者依然是医生需要面对的棘手难题,该如何继续为这些患者提供合理的治疗,仍有很长的路要走,现分享一例直肠癌术后复发通过挽救性同步放化疗获得良的的局部控制率。
一、患者基本信息
患者女,1980年出生,已婚 。
2019-06诊断:直肠恶性肿瘤。
2019-6-19在全麻下行腹腔镜下腹会阴联合直肠癌根治+阴道后壁切除术。术后病理示:溃疡型中分化腺癌,癌组织累及周围结缔组织;脉管及神经侵犯;上、下切缘及环周切缘阴性;检出肠系膜淋巴结(4/7枚)见癌转移,临床另送“主淋巴结”镜下为纤维结缔组织,未见淋巴结结构;阴道后壁查见癌累及。基因检测:不存在错配修复功能缺陷(dMMR)。KRAS、NRAS、BRAF基因V600E:均未见突变。
AJCC分期: T3N2aM0。
患者拒绝术后放化疗。

术前MRI(2019.6)

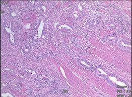
术后病理(2019.6)
治疗经过
2020-12患者出现腹痛进行性加重伴阴道不规则出血。
2021-01 盆腔MRI示:直肠术区软组织占位,考虑肿瘤复发并累及阴道后壁;周围未见明显肿大淋巴结。余ECT、胸部CT、腹部彩超未见转移。
2021-1高姑息放疗:骶前复发病灶放疗。靶区GTV为骶前直肠术后复发病灶,剂量66GY/33F/6w+,盆腔淋巴结引流区(CTV)剂量50.4Gy/28F/5w+。
同步化疗:伊立替康 200mg d1 + 亚叶酸钙 150mg d1 + 希罗达 2#bid,Q21d,共两周期,
疗效评价PR。
2021-04至06辅助化疗:伊立替康 200mg d1 + 亚叶酸钙 150mg d1 + 卡培他滨片2#bid,Q21d,共 2周期。疗效评价PR。

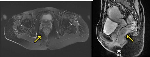
术后复发MRI(2021.1):骶前区肿瘤复发并累及阴道

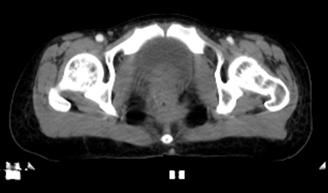
放疗前定位CT

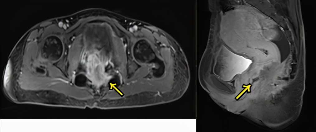
治疗结束后随访MRI(2021.5):肿瘤基本消退,阴道形态恢复正常
病例小结
1.术前新辅助同步放化疗是低位直肠癌的推荐: NCCN指南推荐局部进展期直肠癌都(T分期T3或者T3以上,或者N分期有淋巴结阳性),临床分期Ⅱ期或者Ⅲ期的病人都需要术前新辅助放化疗。而ESMO指南进行更加详细的个体化推荐。低位直肠癌,特别是距肛门5cm以下直肠癌,可能有些是前壁的,直肠后方到了腹膜返折以下以后,基本上系膜是在后方,在直肠前壁是没有系膜或者系膜非常小,这个时候肿瘤一旦穿透基层很快就会影响到隔壁的脏器,比如说前列腺或阴道后壁。所以在ESMO2013年的指南里面就提出来,对于很低位的直肠癌,尤其是前壁的,有时候哪怕是T2,比较深的T2都有可能要做放化疗。本例患者低位直肠癌,并且已经累及阴道后壁,按指南推荐,建议行新辅助放化疗,即使未行新辅助放化疗,术后仍需进行辅助放化疗及长期辅助化疗,但串者因各种原因没有进行相关治疗,在短时间就出现复发就不可避免。
2.直肠癌术后局部复发的高危因素有哪些: 直肠癌局部复发灶在吻合口、系膜、直肠旁组织、或会阴部为中心型复发,病灶向前可能累及泌尿生殖系统,病灶向后可能累及骶骨、或骶前筋膜,直肠两侧有盆腔软组织、输尿管等。一是肿瘤本身特征,肿瘤浸润肠管的深度、淋巴结转移多少决定分期,是影响术后复发转移最主要的因素。二是术前治疗不足,术前治疗不足常常发生于局部进展期直肠癌,TNM分期为Ⅱ、Ⅲ期的情况。直肠癌手术能切除的范围多要小一些,所以推荐局部进展期直肠癌术前放化疗,以提高术后治愈率,减少复发。三是术后治疗不够,Ⅱ期直肠癌、Ⅲ期结直肠癌术后均要考虑辅助化疗,遵照术后放化疗指征进行选择。四是手术操作影响。手术的因素也很关键,肿瘤切除的范围够不够?切缘的距离,系膜切除的程度,术中无瘤观念等,这些均需有经验的外科进行规范的手术操作。
3.挽救性同步放化疗是直肠癌局部复发的有效手段: 局部复发直肠癌(LRRC)多伴有严重的临床症状,盆腔脏器切除术(PE)是治疗LRRC主要的手术方式,但术前评估LRRC患者能否达到R0切除,对于准确判断患者的预后进而个体化治疗LRRC具有极其重要的意义。而无法达到R0切除的患者,再次手术的疗效不佳。对于未行放疗的复发患者,同步放化疗是LRRC的有效治疗手段,有文献报道,其3年无进展生存率可达30%。当然由于相关临床资料太少,对于放疗剂量、同步化疗方案仍需进一步优化。本例患者尽管为局部复发,但因之前未行相关放化疗,我们仍参考按标准一线治疗,给予同步放化疗,而且化疗方案选择目前刚公布有明显获益的伊立替康联合卡培他滨的两药方案,取得较好的临床疗效。是否能最终转化为生存率的获益仍需进一步观察。此外,患者KRAS为野生型,是否加用西妥昔单抗等靶向药仍不清楚,需要结合患者进行多学科会诊与评估。
