患者男性,57岁,
第一次就诊时间:2021年6月16日,
第二次就诊时间:2021年6月23日,
主诉:左下肢冰凉麻木感2年。
现病史:当地私人诊所小针刀治疗左侧坐骨神经后,出现右大腿肌肉肿胀感,僵硬,夜间双手肿胀,手掌烧灼感,颈部不适,皮肤红疹(已消失)。不能久行,但可续行2km
查体: 跟行,跖行,起跳,下蹲,弯腰活动无受限。
自带影像学检查提示腰5椎体前滑脱,腰5峡部裂,椎管狭窄不严重。
诊断:腰5峡部裂,腰5椎体前滑脱1度,骨质疏松症。
建议住院手术。

图1. 20210623我的门诊病历
患者自述如下:
两年前左腿麻木冰凉,在当地民营医院(被庸医忽悠),行小针刀治疗,扎针部位:左腿及左侧屁股,腰根部位及左侧背部及颈部
出现左侧屁股疼,左侧背部僵硬,右腿僵硬肌肉牵纠感明显,双腿及盆骨部位麻、困、胀,双腿走路无力,不能久站久坐,走路需间断休息后方可续行。颈部不适,左臂有时无力,双手不时有肿胀,手掌有烧灼感。去年在甘肃省人民医院疼痛科治疗,效果不大,神经科、骨科查体也未查出啥病症。

图2. 患者自述

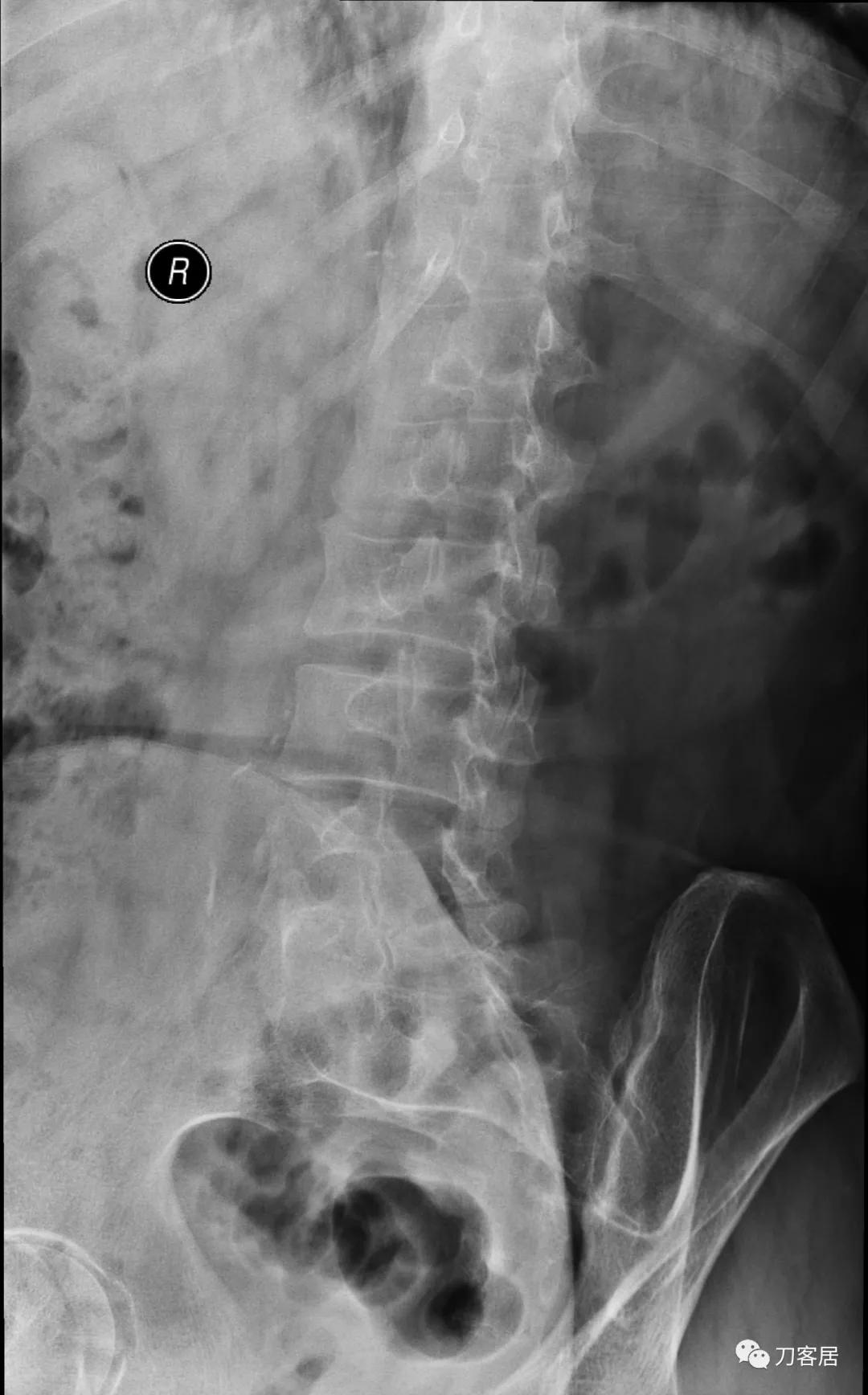
图3. 20210616术前腰椎正位X线片

图4. 20210616术前腰椎侧位X线片

图5. 20210616术前腰椎过伸位X线片

图6. 20210616术前腰椎过屈位X线片

图7. 20210616术前腰椎右斜位X线片

图8. 20210616术前腰椎左斜位X线片

图9. 20210616骨密度, 提示骨质疏松,T值-3.1。
患者为我高中同学的姑舅,已经看病看的疑神疑鬼了,总怀疑自己的坐骨神经被小针刀扎断了。所以,我接诊后完善检查后,明确给他说,虽然我反对小针刀治疗腰椎滑脱,但人家小针刀真的没有把他的坐骨神经扎断, 我也不敢积极劝其马上接受手术。万一手术后效果不好,那岂不是也得怪我在人家的坐骨神经上拿刀子又切割割断了呢。让其自己回家后想想,想清楚是否愿意做手术。
最后他自己想明白了,决定来我院住院做手术。
住院时间:2021年6月24日,
入院后予以腰椎CT及MRI检查,未见明显之椎间盘突出及椎管狭窄。

图10. 20210624术前腰椎CT

图11. 20210626术前腰椎MRIT2相1

图12. 20210626术前腰椎MRIT2相2

图13. 20210626术前腰椎MRIT1相1

图14. 20210626术前腰椎MRIT1相2
手术日期:2021年6月29日
手术名称:可扩张通道辅助下径腰椎肌间隙(Wiltse)入路腰5骶1椎板切除减压,椎间盘切除,腰5滑脱复位,植骨融合内固定术。

图15. 20210701术后腰椎正侧位X线片

图16. 20210701术后腰椎正位X线片

图17. 20210701术后腰椎侧位X线片
手术后原有症状缓解。患者同时有骨质疏松症,骨密度-3.1, 住院期间同时予以抗骨质疏松症治疗。高中同学反馈,患者回家后症状明显缓解,心情也好转。
出院日期:2021年7月3日,

图18. 与高中同学对话记录1