提起牙洞,很多人的第一反应是龋齿发展到后期形成的龋洞,尤其是在大牙这里。因为大牙会有不规则的勾缝,这里的牙菌斑不易清除,极易形成龋齿,进而引发龋洞。

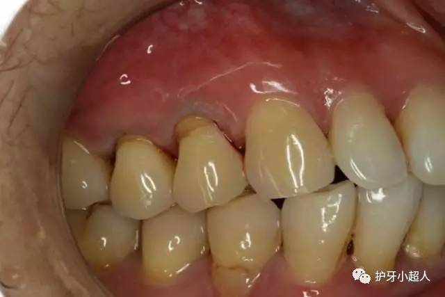
不过除了龋齿会造成牙洞,牙齿根部的楔形缺损也会导致牙洞发生。牙齿楔形受损,就是在牙齿颈部、根部位置产生缺损,形成楔子形状的缺口,以其形状而称之为牙齿楔形缺损。

造成牙齿根部楔形受损的原因主要有以下两个方面的原因:一是牙刷刷毛过硬,对牙齿的损害力强,日积月累,就会出现牙齿楔形受损;第二则是因为刷牙的方式,大部分人刷牙的方式都是横向的,而且刷牙的力度特别大,在用一部位向同一个方向持续作用力,造成牙齿楔形受损。一般来说,牙齿楔形受损是在牙齿的颈部和根部,因为这两个部位的牙釉质相对稀薄,更易受到损害。
一旦形成牙齿楔形受损,脆弱的牙根暴露,极易成为牙菌斑欺负的对象。长此以往,食物残渣在此堵塞,类似于蛀牙牙洞,刷牙很难去除,进而变质变酸,腐蚀牙齿;腐蚀从牙齿颈部开始,在此将牙齿腐蚀断裂,缺损变为整个牙冠,形成牙洞。

那么平常生活中,怎样避免牙齿根部的楔形受损呢?首先,选择牙刷的时候,要考虑的是刷毛的软硬度和磨圆度。刷毛硬的不一定清洁能力就更好,有的反而更差;经过磨圆的刷毛,与牙齿的接触面为钝面,更能保护牙齿。一般来说经过磨圆的菱形刷毛深入缝隙的清洁能力会更好,不过这要借助显微镜才能够观察出。

其次是注意刷牙方式,用力横着刷的话肯定是错的。在这里建议使用“巴氏刷牙法”,具体的巴氏刷牙法可以自行搜索,同时在刷牙的时候借助巧力而不是蛮力。还有一点需要注意的是,注意选择好牙膏。牙膏里的摩擦剂作为清洁牙齿的重要部分,但注意不要选摩擦剂太粗的牙膏。
护牙小超人 资讯栏目
保护口腔健康,正在进行时