剖宫产疤痕妊娠
定义
妊娠胚胎种植于前次剖宫产瘢痕缺陷处,也是一种异位妊娠
1.孕囊向子宫腔和子宫峡部生长,可为活产
2.可致子宫穿孔、破裂,大出血
3.子宫下段切口疤痕部妊娠的位置相当于子宫峡部
4.剖宫产远期并发症


(示意图)
超声分型
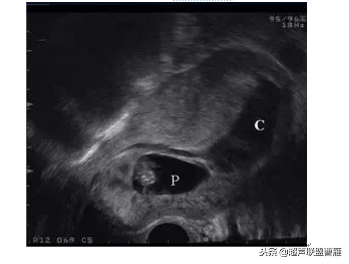
I型胚胎存活型
1.子宫下段见完整妊娠囊,见胎心搏动,见扩张血管及多量血池
2.孕囊周围局部肌层血流信号丰富,可记录到类滋养层周围血流频谱


(I型胚胎存活型)
Ⅱ型孕囊胚胎停育型
1.子宫下段见变形妊娠囊,无胎心搏动,见扩张血管及多量血池
2.孕囊周围局部肌层血流信号丰富,可记录到类滋养层周围血流频谱

(Ⅱ型孕囊胚胎停育型)
Ⅲ型类滋养细胞疾病型
1.子宫下段见梭形增大,回声杂乱不均,间有不规则液性暗区,与局部肌层分界不清
2.不均回声区内血流信号丰富,可记录到类滋养层周围血流频谱

(Ⅲ型类滋养细胞疾病型)
Ⅳ型绒毛退变型
1. 子宫下段见回声杂乱不均,范围较小,与局部肌层分界较清
2. 杂乱回声区内未见明显血流信号,无类滋养层周围血流频谱

(Ⅳ型绒毛退变型)
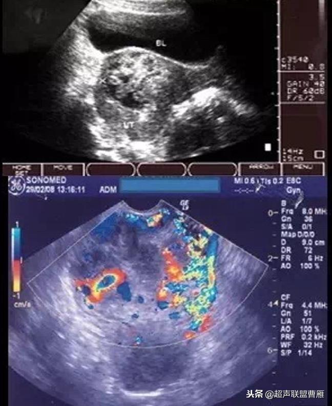
阴道超声检查诊断CSP
1.子宫空虚——宫内无妊娠囊
2.宫颈管空虚——宫颈管内无妊娠囊
3.子宫峡部前壁内见孕囊或不均质团块
4.孕囊与膀胱间的子宫肌层有缺陷,变的极薄或不连续
5.彩色多普勒血流显像显示孕囊或不均质团块周围有血流,流速增加
B超检查是确定CSP诊断的可靠且简便的检查手段,三维能量多普勒超声提高了准确率。
经阴道超声更利于观察孕囊与子宫剖宫产切口瘢痕的位置关系;
经腹部超声则利于了解孕囊或团块与膀胱的关系,测量局部肌层的厚度。