从事肿瘤诊治工作10余年,遇到的病患几乎99%是“转移”了的癌症,尽管积极学习借鉴现代医学的精准诊疗方法并且读古书勤求古方,精益求精,努力的结果仅仅少数病人能够治愈,大多数病友只能是延长生存时间。癌症发病率逐年提升,然而真正的可怕之处在于复发转移进而给人带来致命的结局。癌症是怎么转移的?又有哪些常见转移部位呢?癌细胞的增值速度很快,迅速集聚的癌细胞不但可以通过邻近浸润扩散方式侵犯别的脏器,而且还可以通过血液系统、淋巴循环系统进行扩散转移,如乳腺癌容易并发腋窝淋巴结转移、也容易发生肺转移、肝转移。也有不少癌症,原发灶很小,甚至肉眼尚看不见原发灶,但已经有远处转移,不少肿瘤患者是因为这些转移医学行为才被进一步确诊癌症的。

癌细胞
癌症最常见的7种转移部位,你知道吗?
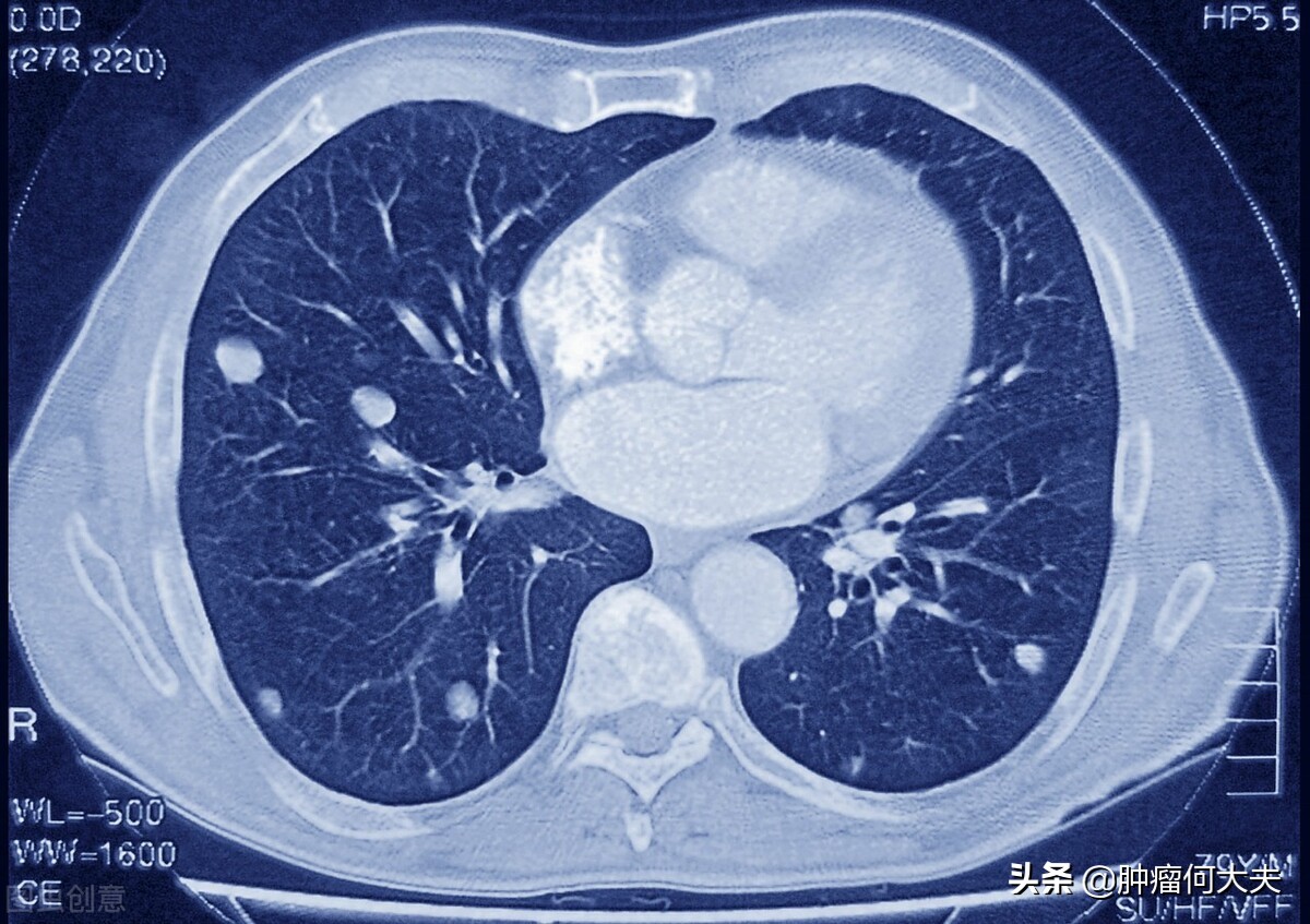
第一,肺转移。临床上肺癌本身,乳腺癌、卵巢癌、食管癌、胃癌、结直肠癌、肝癌、骨肉瘤以及甲状腺癌等比较容易发生肺转移。出现肺转移会怎么样?孤立单个的肺转移,特殊肿瘤出现了肺转移,合理治疗也能够获得治愈的机会。所以并不是一旦肺转移,人就注定没救了,继而放弃所有治疗;

肺转移
第二,肝转移。肝脏血运丰富,是癌细胞理想的栖息地,有很多癌症都容易发生肝转移。肺癌、胃癌、胰腺癌、食管癌、结直肠癌、乳腺癌以及妇科肿瘤都容易发生肝脏转移。诚然,肝转移出现了,就算作晚期癌症,但和肺转移一样,有一些已经“肝转移”了的癌症仍然有治愈的机会。

肝转移
第三,骨转移。临床上骨转移较为常见,不少肿瘤特别容易发生骨转移,比如前列腺癌、乳腺癌,还有肺癌、食管癌、鼻咽癌、肝癌等等。骨转移会出现骨折瘫痪以及疼痛等常见情况,会严重影响患者的生活质量和寿命。
第四,脑转移。大脑是人的指挥官,出现脑转移的确预后要差很多,临床上如小细胞肺癌,肾癌,乳腺癌,结直肠癌,食管癌等等都比较容易发生脑转移。一些积极的综合性治疗,能够缓解和控制脑部肿瘤,延缓患者的生存时间,提高患者的生活质量。

脑转移
第五,浆膜腔转移。大家常常听到这样的说法,某某某的癌症已经出现“肺积水”“腹水”等等,这些都算作是浆膜腔转移,很多癌症转移了都会出现胸腔积液腹腔积液。
第六,淋巴结转移。在上述转移描述中,淋巴结转移最多最常见,预后也最乐观,如头颈部消化道和肺部肿瘤容易出现颈部淋巴结转移,乳腺癌和食管癌肺癌容易发生锁骨上淋巴结转移,乳腺癌还容易发生腋窝淋巴结转移,胸部肿瘤容易发生纵隔淋巴结转移,腹部肿瘤容易发生腹膜后淋巴结转移,肛门肿瘤、直肠肿瘤、前列腺肿瘤、女性肿瘤容易发生腹股沟淋巴结转移。
第七,皮肤转移。乳腺癌、肺肿瘤(特别是小细胞肺癌)及食管等胃肠道肿瘤都可以见到皮肤转移。
综上所述,转移的癌症固然难治,并非不可治愈。很多已经确认淋巴结转移了的癌症都有很大的治愈概率。也有不少重要脏器已经转移了的癌症,也有治愈可能。正确认识、积极合理的治疗是应对转移癌的最佳方法。

癌症诊疗