磁共振介导,清晰、安全、效果好——川北医学院附属医院成功开展西南地区首例磁共振(MR)引导下肝肿瘤微波消融术
磁共振介入(Interventional Magnetic Resonance)是近年发展起来的新技术,是指在磁共振引导下进行介入手术,以达到诊断、治疗疾病的目的。作为新型介入引导工具,磁共振具有其它影像设备无法比拟的优势:扫描无辐射;软组织成像对比清晰;通过多平面扫描,可精确评估病灶与邻近大血管及重要脏器的解剖关系。在磁共振介入手术过程中,通过快速扫描序列,可实时显示介入器械位置,实现术者与患者的实时交互,大大地提高了治疗精准度及安全性。
自2020年7月川北医学院附属医院磁共振介入专用1.5T 70cm大孔径超导磁共振装备以来,在团队带头人杨汉丰教授的带领下,积极筹备开展磁共振介入手术,先后在磁共振引导下开展了肝脏病变穿刺活检、肝脏肿瘤微波消融治疗等微创介入手术。该新技术的成功开展,标志着我院介入体系的进一步完善与成熟,使我院成为了西南地区首家同时具备MRI介入、CT介入及DSA血管介入的高水平区域医疗中心医院,也为我院下一步建设西南地区首个融合3.0T磁共振、滑轨CT及DSA介入复合手术室系统奠定了基础。

病例介绍:
病例1:患者王某某,19岁,体检B超发现肝右前叶结节,行磁共振平扫+增强扫描,病灶在增强扫描动脉期强化明显,且延迟扫描有洗脱征象,良恶性难定,患者及家属十分担心。经与患者及家属充分沟通后,由我科李兵主治医师及张川主治医师在局麻下为患者行磁共振引导下肝穿刺活检,最终病理结果倾向良性病变,解除了患者及家属的担忧。

图示:磁共振T1WI(图A)、T2WI(图D)肝内未见明显病变,增强扫描动脉期(图B)病灶明显强化(红色粗箭),延迟期(图C)造影剂洗脱(红色粗箭);在磁共振引导下行穿刺活检(图E),穿刺针显示为低信号(红色细箭),无伪影;(图F)病理报告:穿刺组织倾向肝腺瘤。

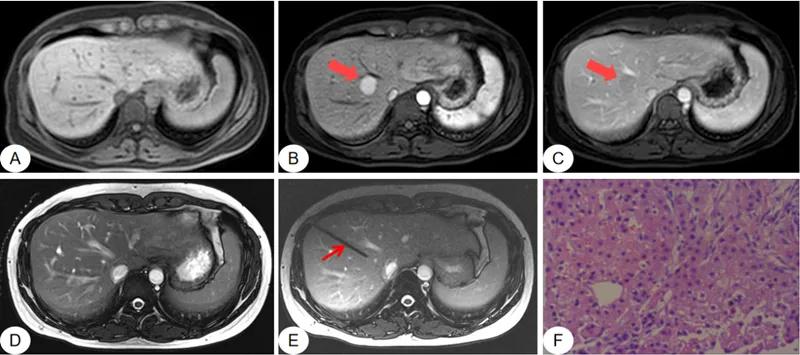
病例2:患者刘某某,68岁老年女性,因“直肠癌伴肝转移瘤术后、化疗后2+年”由下级医院转诊来我院,因肝转移瘤经化学治疗后效果欠佳,经我院肿瘤科、胃肠外科、老年科、病理科、介入室等多学科会诊(MDT)讨论后,决定对患者肝转移瘤行局部消融治疗。因病灶紧邻胃壁及主动脉,MRI可实时观测消融范围,安全性较高,决定行MR引导下微波消融。2021年1月6日,由杨汉丰教授主刀、李兵主治医生及张川主治医师协助,成功为患者实施了MR引导下肝肿瘤微波消融术,术中实时MR扫描可见消融范围完全覆盖肿瘤区域,周围脏器未见损伤。

图示:CT增强扫描显示肝左外叶转移瘤(图A,红箭),磁共振T2压脂图像上病灶以高信号为主(图B,红箭),DWI呈稍高信号(图C,红箭);在磁共振引导下行微波消融,可见消融针(黄箭)准确位于病灶中心(图C);消融过程中,磁共振T2压脂图像显示病灶信号逐渐由高变低(图D,红箭);术后复查DWI,病灶信号明显减低(图E,红箭)。

据杨汉丰教授介绍,磁共振介入具有无辐射、多方位/多模态成像、可实时评估治疗效果的特点,可为患者疾病的精确定位、诊断及治疗提供极大帮助,是未来介入发展的重要方向之一。我院CT介入手术室2005年创建,是省内较早开展CT介入治疗的单位之一,十余年来专注于肿瘤微创及疼痛介入治疗。科室自组建以来,始终以患者为中心、全心全意为人民健康服务为宗旨,不断引进新技术,开展新项目。
目前科室拥有介入专用磁共振扫描仪、16排螺旋CT扫描仪、冷冻/微波/射频肿瘤消融系统等高端设备。常规开展CT/MRI导向下穿刺活检术,CT/MRI引导下肿瘤冷冻/微波/射频消融术、恶性肿瘤组织间粒子植入术,以及CT引导下颈椎/腰椎间盘突出微创介入神经松解术+椎间盘消融术、三叉神经痛微创介入治疗术、带状疱疹后遗痛微创介入治疗等。微创、高效、安全的介入治疗让大量患者缓解了病痛,收到社会各界的广泛好评。
杨汉丰教授表示,我院CT/MR介入手术室目前已经积累了大量各类微创介入治疗经验,在此基础上,CT/MR介入手术室团队将继续锤炼本领、提升服务,为患者提供最佳的微创介入治疗方案。
作者:李兵 摄影:张川 审核:杨汉丰 文章来源:放射科