
影像资料

女 40岁 ,10年前做个剖腹产术。之后到现在一直感觉肚子疼,去很多医院做检查 诊断肠结核,经过反复抗结核治疗。病人10年瘦了几十斤。
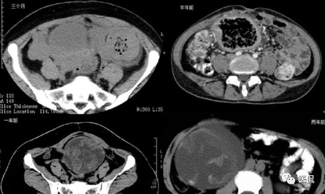
左右滑动查看▼

每天的病例都需要您的思考才会有更多的收获,同时朋友圈和自己的小伙伴们多交流交流!病理结果就在下边,但请记住:多一份思考,多一份收获!
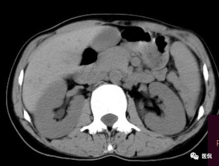
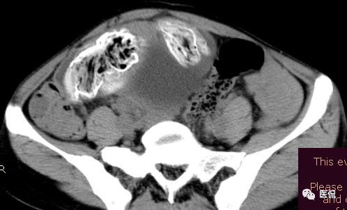
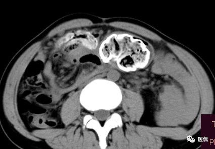
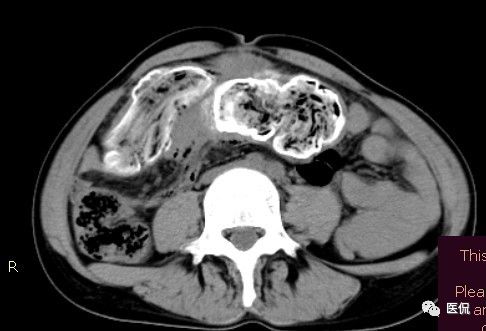
影像特点
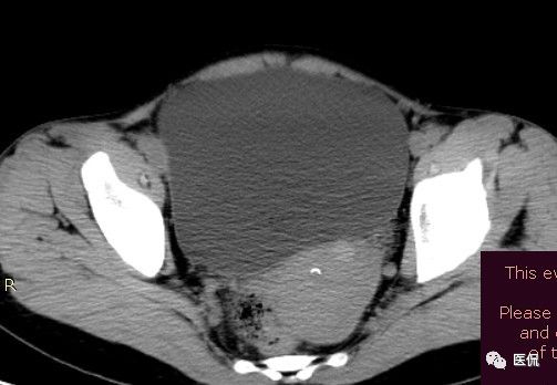
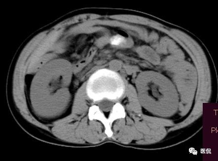
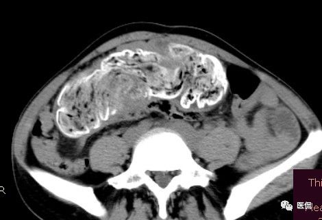
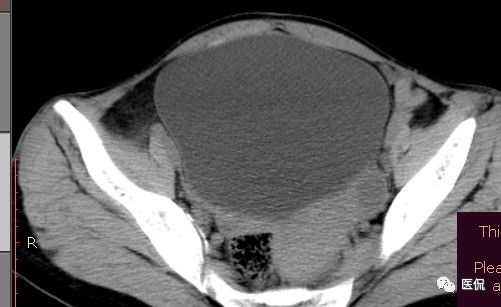
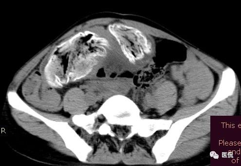
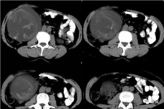
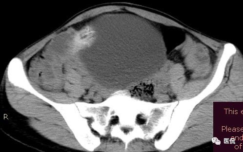
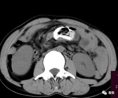
腹腔内残留的纱布在人体内引起渗出或液化坏死并纤维包裹形成异物性脓肿(纱布瘤)。纱布瘤的影像特点:圆形或卵圆形肿块,较大,有完整包膜,薄壁,较少的情况下为厚壁,边界较完整,增强后薄膜可以持续强化。不同时期的纱布瘤可以有不同表现:早期(10个月或半年内)多表现为蜂窝状;2~5年内一般表现为囊性飘带状;10~20年之后则为实性软组织密度,包膜钙化呈钙化网状结构。手术过程中残留在人体内的医用纱布所形成的肿瘤样病变。
相关病例补充

手术所见:腹腔内无腹水,肿块位于右上腹,约15x10x8cm大小 ,周围网膜包裹粘连,向胆囊三角处延续,呈囊性,与周围结构无明显浸润,仔细分离粘连,逐步游离暴露肿块,见肿块与右肾及结肠、十二指肠无明显关系,初步确定为肿大的胆囊,继续向肝门部游离,见肿块与胃窦粘连,因分离困难,决定切开肿块。穿刺肿块有黄色脓液抽出,考虑胆囊脓肿,切开囊壁,吸出大量黄色混浊脓液约1200ml,探查囊腔,见粘膜层为胆囊粘膜,腔内有一异物残留,经证实为医用盐水纱布,取出纱布约15x15cm大小,封存。继续游离胆囊至完整切除,检查囊壁无明显占位病变。
病理诊断:胆囊异物残留,胆囊化脓性炎、胆囊脓肿。
讨论
纱布团遗留腹腔后,首先由大网膜及邻近肠管将其紧密粘连并包裹,自肠管与纱布团粘连处开始逐渐向周围扩展产生纤维结缔组织包膜直至完全包住纱布团,该包膜血管丰富,充血明显,随时间延长逐渐向纱布团网眼内生长,使包膜逐渐增厚。机体还通过在包膜内产生大量异物巨细胞来围歼异物纱线,使包膜内侧形成脓肿。当包膜完全形成后,肠管与纱布团的粘连变的疏松,此时纱布团具有了一定的活动度。
腹腔内遗留纱布团的影像学表现,以B超较具特征性,其主要表现为:腹腔或盆腔内特殊率减的黑色包块,后方伴有扇形衰减的声影,上窄下宽,好似一“黑色大布”,早期包块内含有不规则光团或光点,随时间延长有缩小或消失,为纱布团内气体。CT的优势在于早期常表现为软组织密度的肿块,其内可见多少不等的气泡,随时间的延长气泡逐渐被吸收减少至消失,增强扫描可见包膜不同程度强化而内容物无强化。熟悉其影像学表现,可在术前作出明确诊断。