眩晕往往困扰着很多患者,去过很多医院,拜访过很多名医,也用过很多良方,可是也仅仅只能缓解症状,下次继续复发。
眩晕也时常困扰着很多医生,给患者做了很多检查,最后也不能查明真相。

眩晕
王女士今年50岁,患有眩晕症很长时间,最近实在受不了去就医。在医院做了脑部、颈椎等很多检查,最后诊断为交感神经型颈椎病。
王女士很苦恼,心想着既然查明真相,那么,就做手术把颈椎病治好。
可是医生也犯难了,因为通常认为,交感神经型颈椎病引起眩晕的机制是颈椎周围的交感神经受刺激后椎动脉收缩,导致小脑供血不足所导致。在这样的机制下,并没有一种手术可以完全做完能保证做完手术交感神经不再受刺激。而且,动物实验证实这种机制的理论并不十分成熟。
况且,王女士刚刚50岁,万一这眩晕是更年期综合症,那手术做完也是不会有效果的。所以,对于医生来说,往往这么尴尬的年龄,这么尴尬的症状是不会给予患者手术治疗的。
王女士痛苦万分,怎么办呢?
终于,专家们发现了一个颈椎病眩晕的最新机制,介绍如下:

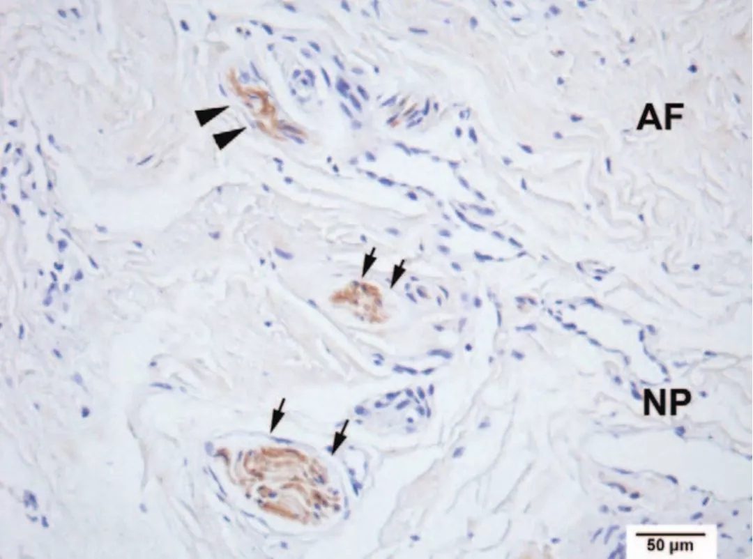
鲁菲尼小体
权威脊柱外科杂志《SPIINE》报道,有专家发现,在颈椎病眩晕患者的椎间盘内,有一种特殊的物质,叫鲁菲尼小体。它在正常的椎间盘中是没有的或者仅仅在椎间盘最外层有少量分布。那么,颈椎病眩晕是否和鲁菲尼小体有关呢?

颈椎病眩晕
中国*警武**总医院的专家展开了更深度的研究,它们招募了145例颈椎病眩晕的患者,其中116例把患者的椎间盘髓核摘除并进行融合,有29例进行保守治疗。最后,髓核摘除的优良率为93%,而保守治疗的优良率仅为38%。所以,他们证实,椎间盘髓核摘除是可以明显缓解患者的眩晕症状的,而且,进一步证实鲁菲尼小体的存在。

鲁菲尼小体
鲁菲尼小体为什么会引起眩晕呢?
专家们认为,鲁菲尼小体是一种慢适应性机械感受器,它们能够监控位置、速率和运动觉。它可以将本体感觉信息传入小脑和更高级中枢。
当出现颈椎病,存在椎间盘病变时,椎间盘内的鲁菲尼小体便会异常增生或长入。这样,鲁菲尼小体在椎间盘内由于炎症的刺激发生“敏化”,最后它传出的信号是异常的本体感受信号,会产生感觉错配,出现眩晕。
总结:
专家们证实,颈椎病眩晕是因为椎间盘中鲁菲尼小体发出的异常信号所导致。
那么,在临床上,我们只需要将椎间盘摘除,便能够很有信心的根治颈椎病眩晕。
像王女士这种情况医生就不存在不敢手术的情况,彻底解决患者的痛苦!
【参考文献】
1. Yang L, Spine(Phila Pa 1976).2017;42(8):540-6.
2. Peng B. World Neurosurg.2018;109:347-50.
3. Peng. Bone Joint J 2018;100-B:81-7.
