有一位患者咨询牙疼的问题,她说我的牙齿没有蛀牙,而且我每天都刷牙,牙齿怎么会这么疼痛啊,而且在吃冷热的食物时也会引起疼,说年龄大了全口的牙都不行了,疼起来的时候不知道哪里疼,自己感觉所有的牙都疼,由于这段时间特殊时期,患者一直没有来医院就诊,之前家里有点备用的药,吃了也不管用,这段时间疫情好转了,大爷实在是也无法再坚持了,就来医院检查一下看看,经过检查发现大爷的牙齿楔状缺损引起的牙髓炎,而且好几个牙齿楔状缺损挺严重,哪么什么是楔状缺损呢?为什么会把牙齿破坏得这么厉害。#健康科普排位赛#

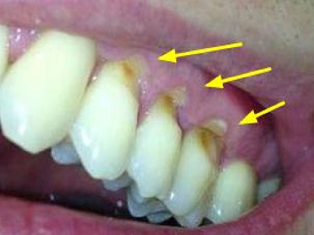
什么是楔状缺损呢?
楔状缺损是我们牙齿的外面靠近嘴唇和脸颊的一侧,牙齿颈部的硬组织发生比较缓慢的消耗,从而形成形状似“V”状的楔形缺损,一般主要发生在我们的前磨牙和尖牙的唇面颈部位置,主要以中老年人最为常见。

楔状缺损是如何形成的?
1、不正确的刷牙方式
我们在早上或晚上刷牙时,如果长期的用不正确的刷牙方式会导致我们的牙齿颈部磨损,有很多的人刷牙都是左右来回的刷,而且为了能把牙齿刷干净,使得力气更大,这部分人往往坏得更快,假设如果我们拿个牙刷在一块铁板上刷个几十年,铁板也能刷出一道沟来,何况我们的牙齿呢?所以刷牙的方式不正确也是对我们的牙齿一种慢性破坏。

2、牙齿的结构的因素
我们的牙齿结构也是有一些关键的因素,楔状缺损发生在牙颈部,而我们牙齿的牙颈部是个发育薄弱的部位,在这个部位牙齿最硬的组织牙釉质覆盖的比较少,再加上咬力应力较集中,所以硬度差从而导致耐磨性也差。

3、唾液酸性因素
在我们的口腔内分泌的唾液分泌酸性物质增多,加上有胃炎和胃反酸的患者常常也容易发生楔状缺损。

生活中我们如何预防和治疗楔状缺损呢?
1、首先我们要改掉错误的刷牙方式,正确的选用牙膏牙刷,在刷牙的时候可以用热水烫一下牙刷,使刷毛变软。
2、如果有的人牙尖比较高耸,边缘比较锐利,可以去口腔科进行调整咬合,修复咬合关系,另外要戒除不良的习惯比如经常咬一些硬物和别的异物等不良的生活习惯。

3、我们的牙齿假如已经有楔状缺损了,我们该怎么应对呢?如果没有症状我们不需要特别的处理,只要改正刷牙的方式即可,对进食冷热比较敏感的建议去医院进行脱敏充填治疗。
生活中我们养成正确的刷牙方式,尽量少吃过酸、过硬的食物,要定期进行口腔检查,做的早发现早治疗得原则。#健康科普排位赛#
如果你有任何口腔问题,欢迎关注后在评论留言!我来帮你免费问诊!