正常情况下,我们的肘关节应该屈曲达到140~150度左右,而伸直应该达到零度,有一些韧带相对比较松弛的朋友,尤其是女性,伸直可能会有一定的过伸,会超过3~5度左右。如果肘关节的旋转和正常屈、伸都有明显的受限,最常见的问题往往是肘关节的骨关节炎。

我们很多人都认为骨关节炎可能发生在膝关节、髋关节或者是手指比较多,但是确实有一部分人会发生在肘关节,而且一旦发生在肘关节问题还比较严重,因为肘关节骨关节炎会导致肘关节的骨质增生,关节会发生变形,会严重影响肘关节的旋转以及屈伸功能,而且在肘关节内侧有一个非常重要的神经,叫做尺神经,很多肘关节骨关节炎的患者伤及神经以后会出现手部功能的障碍,严重影响日常生活,甚至吃饭用筷子都不可以,今天我们就来聊一聊肘关节的问题。

肘关节骨关节炎
在门诊遇到因为肘关节的问题影响伸直和旋转功能以及神经功能来看病的病人,往往都是重体力工作者。在谢医生这边,因为是矿区,有很多的矿上的工人,需要长时间的使用肘关节做重体力工作,在长时间的劳动过程当中磨损了肘关节的软骨,导致了骨关节炎的发生。因为当关节软骨磨损以后,骨头与骨头之间的压力将会明显改变我们的身体,为了尽量减少磨损,增加接触面积,就慢慢的会形成骨质增生,但是当骨质增生形成的越来越多越来越大,就会影响关节的屈伸和旋转功能。

但是肘关节骨关节炎往往有一个特点,那就是患者疼痛往往并不是特别的明显,在患者屈伸过程当中,很多患者已经感受到了某一侧关节已经出现了屈伸的受限,但是不太影响日常的工作和日常的生活,所以往往不在意,大多数都是因为严重的骨质增生损害了神经,出现了症状才来医院看病。
为什么肘关节的骨关节炎会伤到神经呢?这就要谈到在肘关节内侧非常重要的一个结构→肘管!在我们肘关节的肱骨内上髁与尺骨鹰嘴之间有一个弧形的比较窄、而且深的骨沟,这个骨沟内走行的就是尺神经,有非常致密的深筋膜覆盖在这个沟的上表面,当筋膜过紧或者是骨头增生得比较明显,压缩了肘管的空间以后就会伤到尺神经。

当尺神经出现问题的时候,患者表现出来的往往是小指和无名指一侧略微的麻木感或者是无力感,但是症状往往不是特别的严重,但随着症状时间的延长,慢慢的患者就会感觉到手部的无力,有一些患者拿筷子吃饭都做不到,如果不给予进行控制,会慢慢的表现出整个手的肌肉萎缩,慢的会表现成非常严重的神经损害症状→爪形手,也就是一个患者的手变成爪子一样的形态。

这是严重的肘关节骨关节炎带来的非常严重的损害,一旦发展到爪形手这个状态,神经损害非常严重,即使经过了手术治疗,缓解了尺神经所受到的压迫状态,也很难再恢复如常,所以如果出现肘关节的屈伸受限,旋转受限,还没有出现尺神经的症状,或者是略微有小指、无名指的麻木,就应该及时的就诊。
如何确定存在肘关节骨关节炎呢?
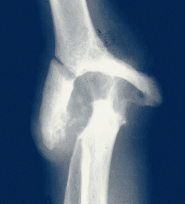
如果患者存在了症状,到医院就诊的时候,医生会给患者进行肘关节的x线检查,明确是否有大量的骨质增生,影响了患者的旋转或者是屈伸功能,另外如果患者出现了手部的麻木或者是手指的肌肉萎缩,要给予进行肌电图检查,明确肌肉的神经传导是否存在问题,到底是在神经控制的哪一个节段出现了问题。

如何治疗肘关节骨关节炎呢?
这里必须要说句实话,由于很多患者肘关节已经出现严重的关节功能受限以后再来就诊,关节内已经形成了非常多的骨质增生,很多骨质增生已经生长在整个肘关节骨结构的周围,严重影响了骨关节的活动,往往要进行外科手术干预,但是很多肘关节有问题的患者已经适应了这种生活状态,往往都是采取保守治疗。
保守治疗措施可以口服或者是外用非甾体抗炎镇痛药,帮助患者控制疼痛,也可以口服一些控制骨质增生的中药或者是中成药。同时可以辅助进行一些物理治疗,比如超声波治疗、微波治疗或者是经皮神经电刺激治疗。针灸治疗也能帮助患者缓解一定的症状。
而如果经过系统的保守治疗,患者的关节功能还是不能得到一定的缓解,那么可能要采用手术治疗,现在的手术技术已经不再像以前那样必须要开大刀才能解决患者的问题了,而且因为肘关节通常比较细小,肘关节后方往往都是骨头,相对来讲进行切开手术比较安全,但是肘关节的前方走行着非常重要的血管神经,一不小心就容易在开放手术当中受伤,所以现在手术往往都建议进行肘关节镜手术治疗,在腔镜下,通过这种微创的技术,将增生的骨赘切除掉,尽量恢复关节的旋转以及屈伸功能。


而如果患者因为严重的肘关节骨质增生已经出现了神经方面的问题,患者已经表现出来了小指麻木或者是不能正常使用筷子等症状,可以考虑进行尺神经转位,也就是说打开覆盖肘管的那一层致密的筋膜组织,将已经严重受压的尺神经解放出来,放到一个相对来讲比较宽松的位置,之后可以采用营养神经治疗以及康复锻炼,促进神经的功能恢复。如果肘关节功能虽然受到一定程度的限制,但是患者能接受,可以不给予处理肘关节的骨关节炎。

当然现在也有微创的手术来解决肘关节尺神经卡压的问题。

尺神经损伤康复锻炼
当尺神经出现了一定症状以后,应该学会进行一些松解紧张尺神经的康复锻炼动作以下每个动作不用做的太多,每次做3~10次为一组,每天做2~3次就可以。
●肘部屈曲和腕部的伸展康复锻炼。
做这个动作的时候,我们应该做正,将患侧的手臂伸到一边,与肩膀齐平,手朝向地板,之后慢慢弯曲手臂,将手放在肩膀上,但是要注意做这个动作的过程当中,手掌慢慢要朝向天花板!

●头部倾斜。做这个动作的目的就是为了拉伸紧张的神经,其实很简单,手臂一定要抬高与肩膀齐平,而且手掌转向天花板,之后慢慢的倾斜颈部,同时要感受到整个上肢,承受了一定的拉力。

●OK动作!这个动作比较复杂,做这个动作的时候,要将手臂与肩膀齐平,手掌转向天花板,将拇指与第1根手指触碰,形似OK,之后慢慢的弯曲肘部,将手朝向脸部,将其他的手指放在在耳朵和下巴上,将拇指和无名指像面具一样放在眼睛上,这个动作说起来简单,做起来挺复杂,建议大家重复尝试,以后就会明白怎么做了。

●肘关节屈曲训练。做这个动作的时候,两手向前伸直,与肩膀齐平,手掌一定要伸开五指要指向地面。之后慢慢的屈曲肘关节,手腕冲向脸部,五指依然要尽量紧张伸开,才可以拉伸神经。

总结
肘关节的骨关节炎是导致患者出现肘关节的旋转以及屈伸关节功能障碍常见的原因,具体应该怎么办?已经在文章给大家有了一些的介绍,具体还是要到医院寻求专业骨关节科医生或者是运动医学科医生的帮助,才能更好的明确诊断与确定治疗方式。
其实还有很多种疾病可能导致肘关节出现类似的问题,比如肘关节的结核,肘关节的骨肿瘤,或者是一种非常少见的疾病,肘关节的夏科氏关节,这种问题会让患者在潜移默化当中慢慢的出现整个骨关节的改变,但是患者却没有任何的症状,而一旦患者出现了问题,就将是非常难处理的这种状况,整个骨关节将变得乱马七糟,只有通过关节置换才能帮助患者解决一定的问题。


建议有肘关节问题的患者,尽量不要延误自己的病情,尤其是右侧肘关节。一旦右利手的患者出现右侧肘关节的问题,将会严重影响关节的功能。如果您还有其他的疑惑,可以在下方留言,大家共同探讨。
我是坚持用简单语言解释复杂疾病知识的谢新辉,码字不易,如果您赞同我的观点,请帮忙点个关注或点个赞吧,如果您或者是您的家人朋友也有肘关节这方面的困扰,请把这篇文章转发给需要的他们吧,谢谢了!

#生命召集令超能团# @*今条头日**青云计划 @头条健康 @头条辟谣 @生命召集令 @头条健康情报局