扳机指是一个急需重视的手部问题,“扳机指”又叫弹响指,医学上称为“手指屈肌腱鞘炎”。扳机指是由于掌骨远端压迫指浅屈肌腱而产生炎症和肿胀所致。此区域的籽骨也可压迫肌腱造成创伤。

肌腱常因经过这些骨性突起时反复运动或受到压迫而受损。如果炎症、肿胀迁延为慢性,腱鞘可能增厚而缩窄。
由于这时患者手指的动作好像扣手枪扳机,所以又叫扳机指。这种病多发生于需过度使用手指的人群,如敲锤子、抓握方向盘或者玩手机电脑过久。以拇指、食指、中指多见。

症状
扳机指的疼痛位于手掌远端,通常可触及有压痛的结节。疼痛持续存在,手指的主动抓握动作可加重疼痛。
屈曲手指时有明显僵硬感,常伴睡眠障碍,且患者常在睡醒后发现手指被锁定在屈曲的位置。
查体可见肌腱有压痛和肿胀,最明显的压痛点位于掌骨的远端。屈曲和伸展手指可有弹响。手指活动度可因疼痛而下降,且可能出现扳机现象。

让患者紧握患手30秒,然后放松,但不要张开手,可能会诱发肌腱嵌顿征。接着将患者的受累手指被动伸直,如果患者察觉到肌腱有锁定、弹响或“卡住感”,则为肌腱嵌顿征阳性。

鉴别与检查
所有诊断考虑扳机指的患者需行X线检查,以排除隐匿的骨性病变。根据患者的临床表现,可能需要额外的检查,包括血液常规检测、血尿酸浓度、红细胞沉降率和抗核抗体。

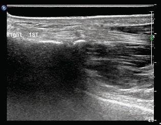
右手拇指运动,长轴切面掌指关节水平,可见拇长屈肌腱伸展时受限、停滞,A1滑车近端屈肌腱肿胀,在经历一小段时间停滞后,突然向指尖方向弹射。
如果怀疑有关节不不稳或存在畸形。则需行手部MRI检查。
要注意掌骨关节或指间关节的关节炎或痛风可能与扳机指同时存在,从而加重疼痛。隐匿的骨折有时也会混淆临床表现。
扳机指的治疗
扳机指的家庭管理
1.从重复的任务中休息一下
在大多数情况下,扳机指是由反复握紧手部,或是拇指或食指弯曲引起的。那些农民、电脑办公或手机办公人员、工业工人或音乐家特别容易受到影响,因为他们经常重复某些手指和拇指的动作。即使是吸烟者也会因为反复使用打火机而患上扳机指。因此,如果可以的话,停止(或限制)使手指发炎的重复动作,也许手指的疼痛和挛缩会自行解决。

- 向你的老板说明原因,也许他们会给你不同的工作任务。
- 因为扳机指经常是由过度使用引起的,所以需要限制打字、发短信、搬运、做饭和打扫卫生等事情时使用手指的数量。每次它发生,都会变得更加恼火。
- 扳机指更常见于女性。
2.用冰敷在手指上
冰敷是治疗包括扳机指在内的所有轻微肌肉骨骼损伤的有效治疗方法。对于发炎的肌腱(手指下部或手心通常看起来像是一个小肿块或结节,摸起来会很嫩),应该对发炎的肌腱进行冷疗法(用薄薄的毛巾或冷冻的凝胶包上冰块),以减轻肿胀和疼痛。应该每小时敷10-15分钟,然后随着疼痛和肿胀的消退而减少频率。

- 用绷带或弹性支撑物将冰块压在手指/手上也有助于控制炎症,但不要太紧,因为完全限制血液流动可能会对手指造成更大的伤害。
3.服用非甾体抗炎药
非甾体抗炎药(NSAIDs)如布洛芬、阿司匹林可以是短期的解决方案,可以帮助处理任何手指上的疼痛或炎症。不过需要注意,这些药物可能会对胃、肾和肝脏产生影响,因此最好不要连续使用超过2周。过量使用非甾体抗炎药会导致胃炎或溃疡。

- 扳机手指的症状和体征通常包括:僵硬(尤其是在早晨)、手指移动时有咔嗒声的感觉、受影响手指根部的嫩结节和手指伸直困难。
4.试着伸展收缩的肌腱
伸展受影响的手指可能会扭转这种状况,特别是在早期阶段解决了这个问题。将受影响的手掌放在桌子上,通过在桌子上放更多的重量来慢慢伸展手腕——保持30秒,每天重复3-5次。或者,抓住你受影响的手指,慢慢伸展,同时轻轻按压并按摩发炎的结节(如果可以目视到)。

- 在伸展前,将手浸在温热的盐浴中10-15分钟,可以帮助缓解受影响肌腱的紧张和疼痛。
- 你也可以试着将受影响的手指伸直,然后另一只手在第一个关节处挡住你的指关节。然后,从手指的两个关节处向下弯曲手指。
扳机指治疗
1.戴上手指夹板
医生会让你晚上戴上一个手指夹板,在睡觉的时候让受影响的手指保持伸展的姿势,这有助于伸展手指。夹板的使用可能需要长达6周。夹板还有助于防止睡觉时将手指卷曲成拳头,这种加剧扳机手指的症状的姿势。

- 白天,定期取下夹板进行手指伸展或轻按摩。
- 或者,你可以自己做一个铝手指夹板,并附上防水医用胶带。
2.注射皮质类固醇
在腱鞘附近或腱鞘内注射类固醇药物可以迅速减轻炎症,并允许手指再次正常、不受限制地活动。皮质类固醇注射被认为是扳机指的首选治疗方法。

- 通常需要两次注射(间隔3-4周),对90%的扳机指患者有效。最常用的制剂是泼尼松龙、地塞米松和曲安奈德。
- 皮质类固醇注射的潜在并发症包括感染、出血、肌腱减弱、局部肌肉萎缩和神经刺激/损伤。
- 如果皮质类固醇注射不能提供足够的分辨率,那么就应该考虑手术。
3.给手指动手术
手术修复扳机指的主要指征是如果它对任何家庭治疗或夹板和/或类固醇注射没有反应的最终方案,或者如果手指严重弯曲并无法恢复地锁定。手术主要有两种类型:开放式扳机指松解术和经皮扳机指松解术。开放手术包括在患指根部附近做一个小切口,切开收缩的腱鞘。经皮松解术包括将一根针插入受影响肌腱周围的组织中,并四处移动,以分离收缩。

- 手指手术通常作为门诊手术,使用局部麻醉。
- 手术可能的并发症包括局部感染、麻醉过敏反应、神经损伤和慢性肿胀/疼痛。
- 复发率只有百分之三左右,其中糖尿病患者手术可能不太成功。