【答疑】
每天都刷牙,为什么还要洗牙?
咱的口腔可是一个超级庞大的细菌“仓库”,这些细菌不断地在牙面堆积形成“牙菌斑”,它不能通过漱口漱掉,只能用牙刷、牙线、牙缝刷这样的“机械清除”方式去掉,当我们刷干净牙后的几分钟,细菌又开始不断堆积,所以我们需要不断地清除它,尽可能地防止细菌队伍壮大。
为什么每天最少要刷牙两次?就是因为大概12小时左右,堆积在牙面上的菌斑数量就相当多了,而且它的逐渐“成熟”就意味着要开始危害咱们的牙齿,所以早、晚刷牙是最起码的。
另外说一句,即使你不吃东西,牙菌斑照样形成。
由于谁也做不到每隔几分钟就刷牙,时间一长,牙菌斑还是会相对越堆积越多,而且会像水壶里的水垢一样,菌斑会钙化形成牙结石,任何刷子都刷不掉,只有找牙科医生“洗牙”来清除。
口腔卫生越好,牙石当然越少,但是人人都有,所以人人都要定期“洗牙”。

牙面上紫红色的,是用菌斑染色剂显示出来的“牙菌斑”
【洗牙的频率】
“多久洗一次?”
其实答案并不是唯一的。请耐心看完,定会受益良多。
1、如果你足够重视全家人的牙龈健康问题,建议:
- 小宝宝、学龄前儿童就要开始,像我前面那篇文章里提到的,在每半年去牙医那儿复查时,如果牙面不清洁,定期洗牙就好了(方式是有别于成人的,请家长仔细阅读“洗牙”要从娃娃开始的文章)
- 家里的孩子要从青少年时期就开始终生的定期洗牙,每年至少1-2次。直至永远。
- 若已是成年人,从你第一次知道要洗牙这件事开始,每年至少1-2次。直至永远永远!
每次去看牙医洗牙的过程中,都会详细检查你口腔里现有的问题,如果牙龈一切状况稳定,可以维持现有的频率来洗牙即可。
如果医生发现:按照目前时间间隔,牙石每次都很多,那么会立即纠正你不正确的口腔清洁方式,并缩短洗牙间隔(也就意味着可能比六个月短很多呢)。
举例:你近几年一直是每半年定期洗牙,可是最近牙医发现每次洗牙时牙石都很多,牙龈炎症不轻,他会立即建议你:下次4个月左右来!如果下次复诊情况尚可,就维持每4个月洗牙即可。
反之,你近期一直是每半年定期洗牙,可是牙医觉得近几次复诊时牙石很少,牙龈几乎没有炎症,你又工作比较繁忙。他也可建议你:下次8-9个月左右来试试!
如果你身边有不少长期在国外生活的朋友,多聊聊你会发现,他们很多都是三、四个月左右就去洗牙一次,绝不超过半年。
总之,洗牙间隔多久是在满足牙龈状况健康的前提下,灵活决定的,而不是终生一成不变。
2、当然,目前更多的朋友早已迈出青少年的行列了,按照我前面的科普文章提到的牙周病的常见症状(牙龈出血、牙缝变大、牙龈退缩、牙齿松动或移位)对号入座即可,只要有一条中标,建议您尽快去治疗。
在医生完成了所有的控制炎症的牙周系统治疗步骤后,如果告诉你定期来维护,一般最初会建议你每3-6个月复诊。
比如你4个月后来复诊了,而牙周医生依然发现牙石不少,那么可能缩短到3个月必须来,同时密切纠正你不良的口腔卫生习惯,终究会把你的口腔清洁不佳的顽疾扳过来,如果你真的能够做到每天刷的超干净,坚持用牙线、牙缝刷,最后你会发现医生可能会把你洗牙的间隔延长到7-8个月甚至一年也没准儿呢。
还是应了那句话:洗牙间隔多久是在满足牙龈状况健康的前提下,灵活决定的,而不是终生一成不变。
这需要你每天在保持口腔卫生方面的几分钟的付出!
我们要始终把炎症扼杀在萌芽状态,而不能等到每次都是牙石很多、牙龈红肿明显的时候才来。所以每年洗牙1-2次其实仅是科普时常常提到的频率,而不是对每个人千篇一律适用的刻板要求。比如临床上不少患者由于无法维持良好的口腔卫生,常常3个月就到访牙周科医生这里做一次洁牙,以免病情复发。
【释疑】
平心而论,任何个体在具体事物面前,不可能没有个体差异,包括牙石形成的速度。举例:A和B两位,也许A刷的更认真,但是同样半年时间内,也许A的牙石真心比B还多、牙龈炎症还重呢,千万别埋怨上天对你不公,你只能每天更认真地去清洁,最重要的是,你得比B洗牙间隔短的多才行哪。
健康是无法交换的财富,
从某种意义上说,
牙齿的健康往往只有一次!
所以从现在开始,定期洗牙吧!

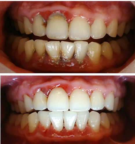
你愿意嘴里像上面那样?想象一下那味道。。。还是洗干净像下面这样?