一、真实的例子
这是一个发生在美国的真实例子。一个喜欢玩激光手电的小年轻,网购了一只,功率一瓦,能发出蓝色激光。他喜欢挥舞着手电,在大雾中制造一种光幕的效果,结果不小心,手电掉地上了。在手电下落的过程中,激光束扫到了他的左眼,也就是一瞬间的事情,在视网膜上烧出了一个黑斑。

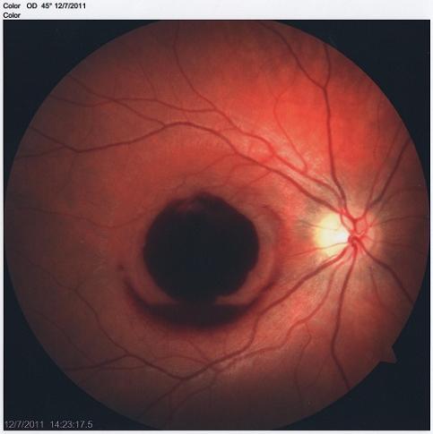
中央是激光束烧出的黑斑
当时左眼就看不清了,他用另一只眼睛看路,开着车赶到医院急诊室。医生检查后说,是视网膜充血导致了暂时的失明,大概一个月后才会完全恢复。
第二天能够看清一些东西了,但是视野中某个部位是模糊的橙色覆盖的。

视野中有模糊橙色区域
八天后做了手术,又过了两天,他说视力进一步恢复了,视野中模糊的部位减少了,但仍然有一小片圆形的模糊。医生告诉他,人的大脑会自动弥补模糊的画面,将来会适应的。
他痛定思痛,总结了几条警告写在了博客里:
- 如果没有佩戴激光防护镜,不要接触大于5毫瓦的激光。
- 不要把激光笔放在不稳定的地方,以免光束乱指。
- 如果眼睛被激光照射到了,马上去权威的眼科医院治疗。
二、激光手电的潜在危害
做PPT演讲时,我们常用激光笔在投影屏幕上指示关键点,吸引听众的注意力。

PPT使用的激光笔
晚上举办一些广场活动或者户外旅行,激光手电是一个不错的玩具。你可以用它在夜空中投出一条笔直明亮的光柱。

各种颜色的激光手电
切换不同的套头,可以在夜空中投出各种绚丽的图案。

满天星的效果
激光笔的功率小,一般在5毫瓦以下。相对的,那种能在夜空中投出几公里光柱的激光手电,功率都在1瓦以上。但是,它们对眼睛都有可能造成伤害。
在普通的手电筒上,无论安装的是传统的白炽灯泡,还是LED灯泡,我们从来不担心几瓦的功率能造成什么危害。即使眼睛直盯着手电的出射光看一会儿,你可能暂时眼前发黑,但不会永久失明或留下后遗症。
但激光则不同。激光的危害,在于它的功率密度,即,在单位面积上投射的功率。因为激光束非常窄,它的功率密度则超出我们的想象。在金属表面刻字的激光也只有10瓦,因为功率密度高,能够瞬间在极小的局部造成烧蚀。
在网络上购买的激光手电和激光笔往往是三无产品,为了让用户满意,生产厂家往往调高它的输出功率,因此它的实际功率会远高于它的标称功率。
一位美国小哥叫Drake Anthony,是位激光应用的工程师。他网购了一款普通的激光手电,做了测试后在Youtube上发了一段视频,介绍了自己的担忧。
这只手电实测功率1.536瓦,远超安全值。

测试激光功率,严重超标
照射短短几秒钟,就可以在人工视网膜上留下烧痕,点燃火柴。因此,如果野外生存的话,激光手电是不错的取火工具。

人工视网膜上烧出黑点

轻松点燃火柴

一秒钟引爆气球
看了这些,你还敢让激光照进眼睛吗?
三、激光的防护
如果不得不和激光打交道,激光防护镜是必备的安全工具。要根据激光频率选择合适的眼镜。

激光防护镜
四、警告
无论是激光笔还是激光手电,都不要给孩子玩,你无法预料他们会玩出什么花样。
激光手电不要照人、动物、车辆、飞机;也不要向镜子里照射激光束,你无法预料到光束会反射到哪里。

段崇智校长被人用激光照射
(原创不易,未经许可,请不要转载)